Suppr超能文献

利用软骨肉瘤三维模型选择有效疗法

Selection of Effective Therapies Using Three-Dimensional Modeling of Chondrosarcoma.

作者信息

Palubeckaitė Ieva, Venneker Sanne, Briaire-de Bruijn Inge H, van den Akker Brendy E, Krol Augustinus D, Gelderblom Hans, Bovée Judith V M G

机构信息

Department of Pathology, Leiden University Medical Center, Leiden, Netherlands.

Department of Radiation Oncology, Leiden University Medical Center, Leiden, Netherlands.

出版信息

Front Mol Biosci. 2020 Dec 21;7:566291. doi: 10.3389/fmolb.2020.566291. eCollection 2020.

Abstract

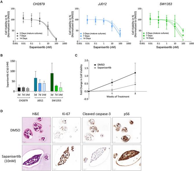
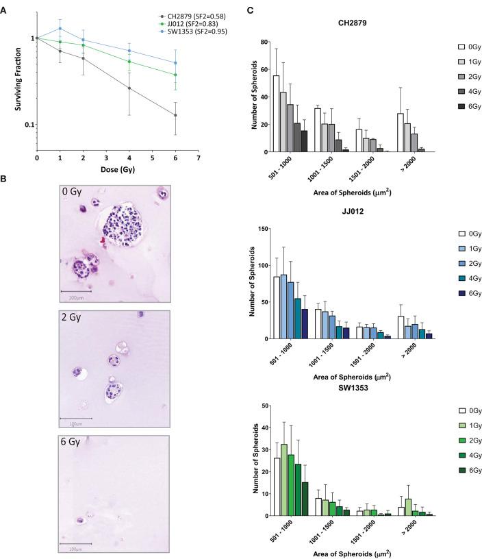
Chondrosarcomas are a group of cartilaginous malignant neoplasms characterized by the deposition of chondrogenic extracellular matrix. Surgical resection is currently the only curative treatment option, due to their high resistance to conventional chemotherapy and radiotherapy. Novel therapeutic treatment options may improve outcome. Predominantly used cell line monolayer models lack complexity, such as the presence of extracellular matrix, and differing oxygen access. Hence, we aimed to improve pre-clinical chondrosarcoma research by developing an alginate-based 3D cell culture model. An alginate scaffold was applied to generate spheroids of three chondrosarcoma cell lines (CH2879, JJ012, SW1353). Morphological, histological and immunohistochemical assessment of the spheroids were used to characterize the chondrosarcoma model. Presto blue assay, morphological and immunohistochemical assessment were applied to assess spheroid response to a panel of chemotherapeutics and targeted therapies, which was compared to conventional 2D monolayer models. Synergistic effect of doxorubicin and ABT-737 (Bcl-2 inhibitor) was compared between monolayer and spheroid models using excess over Bliss. A 3D colony formation assay was developed for assessment of radiotherapy response. Chondrosarcoma spheroids produced chondrogenic matrix and remained proliferative after 2 weeks of culture. When treated with chemotherapeutics, the spheroids were more resistant than their monolayer counterparts, in line with animal models and clinical data. Moreover, for sapanisertib (mTOR inhibitor) treatment, a recovery in chondrosarcoma growth, previously observed in mice models, was also observed using long-term treatment. Morphological assessment was useful in the case of YM-155 (survivin inhibitor) treatment where a fraction of the spheroids underwent cell death, however a large fraction remained proliferative and unaffected. Synergy was less pronounced in 3D compared to 2D. A 3D clonogenic assay confirmed increased resistance to radiotherapy in 3D chondrosarcoma spheroids. We demonstrate that the chondrosarcoma alginate spheroid model is more representative of chondrosarcoma and should be used instead of the monolayer model for therapy testing. Improved selection at stage of therapeutic testing will increase the amount of information available for experimental design of animal testing and later, clinical stages. This can potentially lead to increased likelihood of approval and success at clinical trials.

摘要

软骨肉瘤是一组以软骨细胞外基质沉积为特征的软骨恶性肿瘤。由于它们对传统化疗和放疗具有高度抗性,手术切除目前是唯一的治愈性治疗选择。新的治疗选择可能会改善治疗效果。主要使用的细胞系单层模型缺乏复杂性,例如细胞外基质的存在以及不同的氧气供应。因此,我们旨在通过开发基于藻酸盐的三维细胞培养模型来改进临床前软骨肉瘤研究。应用藻酸盐支架生成三种软骨肉瘤细胞系(CH2879、JJ012、SW1353)的球体。对球体进行形态学、组织学和免疫组织化学评估以表征软骨肉瘤模型。应用Presto blue检测、形态学和免疫组织化学评估来评估球体对一组化疗药物和靶向治疗的反应,并与传统的二维单层模型进行比较。使用超过 Bliss 加和法比较单层和球体模型中阿霉素和ABT-737(Bcl-2抑制剂)的协同作用。开发了一种三维集落形成试验来评估放疗反应。软骨肉瘤球体产生软骨基质并在培养2周后仍保持增殖。当用化疗药物治疗时,球体比其单层对应物更具抗性,这与动物模型和临床数据一致。此外,对于sapanisertib(mTOR抑制剂)治疗,在长期治疗中也观察到了先前在小鼠模型中观察到的软骨肉瘤生长恢复。在YM-155(生存素抑制剂)治疗的情况下,形态学评估很有用,其中一部分球体发生细胞死亡,但很大一部分仍保持增殖且未受影响。与二维相比,三维中的协同作用不太明显。三维克隆形成试验证实三维软骨肉瘤球体对放疗的抗性增加。我们证明软骨肉瘤藻酸盐球体模型更能代表软骨肉瘤,应使用它代替单层模型进行治疗测试。在治疗测试阶段改进选择将增加可用于动物测试及后续临床阶段实验设计的信息量。这可能会增加临床试验获批和成功的可能性。

https://cdn.ncbi.nlm.nih.gov/pmc/blobs/e219/7793672/0089e6d9fba7/fmolb-07-566291-g0001.jpg

文献AI研究员

20分钟写一篇综述,助力文献阅读效率提升50倍。

立即体验

用中文搜PubMed

大模型驱动的PubMed中文搜索引擎

马上搜索

文档翻译

学术文献翻译模型,支持多种主流文档格式。

立即体验