Suppr超能文献

研究达克斯猎犬 b 在斑马鱼胰岛发育中的作用。

Investigating the role of dachshund b in the development of the pancreatic islet in zebrafish.

机构信息

Department of Medicine and Therapeutics, The Chinese University of Hong Kong, Prince of Wales Hospital, Shatin, Hong Kong.

Division of Life Science and State Key Laboratory of Molecular Neuroscience, The Hong Kong University of Science and Technology, Clear Water Bay, Hong Kong.

出版信息

J Diabetes Investig. 2021 May;12(5):710-727. doi: 10.1111/jdi.13503. Epub 2021 Feb 28.

Abstract

AIMS/INTRODUCTION: β-Cell dysfunction is a hallmark of type 2 diabetes. In a previous pilot study, we identified an association between genetic variants within the human DACH1 gene and young-onset type 2 diabetes. Here, we characterized the function of dachb, the only dach homologue to be expressed in the pancreas, in developing zebrafish embryos.

MATERIALS AND METHODS

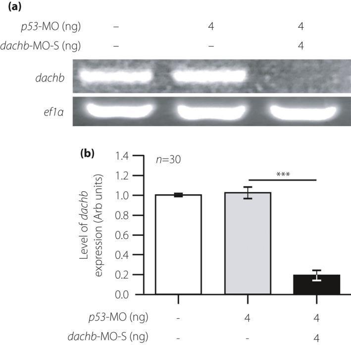
We injected one-cell stage embryos with a dachb-morpholino (MO) or with the dachb-MO and dachb messenger ribonucleic acid, and determined the effect on the development of the pancreatic islet. We also carried out quantitative polymerase chain reaction and ribonucleic acid sequencing on the dachb-MO group to determine the effect of dachb knockdown on gene expression.

RESULTS

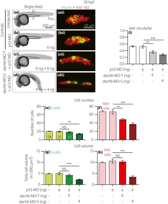
MO-mediated dachb knockdown resulted in impaired islet cell development, with a significant decrease in both the β-cell and islet cell numbers. This islet developmental defect was rescued when embryos were co-injected with dachb-MO and dachb messenger ribonucleic acid. Knockdown of dachb was associated with a significant downregulation of the β-cell specific marker gene, insa, and the somatostatin cell marker, sst2, as well as regulators of pancreas development, ptf1a, neuroD, pax6a and nkx6.1, and the cell cycle gene, insm1a. Furthermore, ribonucleic sequencing analysis showed an upregulation of genes enriched in the forkhead box O and mitogen-activated protein kinase signaling pathways in the dachb-MO group, when compared with the control groups.

CONCLUSIONS

Together, our results suggest the possible role of dachb in islet development in zebrafish.

摘要

目的/引言:β细胞功能障碍是 2 型糖尿病的标志。在之前的一项初步研究中,我们发现人类 DACH1 基因内的遗传变异与 2 型糖尿病的早发有关。在这里,我们描述了在发育中的斑马鱼胚胎中唯一表达的 DACH 同源物 dachb 的功能。

材料和方法

我们将 dachb-MO 或 dachb-MO 和 dachb 信使核糖核酸注射到单细胞期胚胎中,以确定其对胰岛发育的影响。我们还对 dachb-MO 组进行了定量聚合酶链反应和核糖核酸测序,以确定 dachb 敲低对基因表达的影响。

结果

MO 介导的 dachb 敲低导致胰岛细胞发育受损,β细胞和胰岛细胞数量均显著减少。当胚胎共注射 dachb-MO 和 dachb 信使核糖核酸时,这种胰岛发育缺陷得到了挽救。dachb 的敲低与β细胞特异性标记基因 insa 和生长抑素细胞标记基因 sst2 以及胰腺发育调节剂 ptf1a、神经 D、pax6a 和 nkx6.1 和细胞周期基因 insm1a 的显著下调有关。此外,与对照组相比,核糖核酸测序分析显示,dachb-MO 组中叉头框 O 和丝裂原激活蛋白激酶信号通路相关基因上调。

结论

总之,我们的研究结果表明 dachb 可能在斑马鱼胰岛发育中发挥作用。

https://cdn.ncbi.nlm.nih.gov/pmc/blobs/90e7/8089008/703b270b771e/JDI-12-710-g007.jpg

文献AI研究员

20分钟写一篇综述,助力文献阅读效率提升50倍。

立即体验

用中文搜PubMed

大模型驱动的PubMed中文搜索引擎

马上搜索

文档翻译

学术文献翻译模型,支持多种主流文档格式。

立即体验