Suppr超能文献

蛋鸡在热中性和热应激条件下补充蛋氨酸对肠道、肝脏和子宫形态以及钙结合蛋白 D28k 和 TRPV6 上皮钙载体阳性表达的影响。

Methionine supplementing effects on intestine, liver and uterus morphology, and on positivity and expression of Calbindin-D28k and TRPV6 epithelial calcium carriers in laying quail in thermoneutral conditions and under thermal stress.

机构信息

Programa de Pós-Graduação em Ciência Animal, Universidade Federal da Paraíba, Areia, Paraíba, Brazil.

Departamento de Ciências Agrárias, Universidade Federal da Paraíba, Areia, Paraíba, Brazil.

出版信息

PLoS One. 2021 Jan 15;16(1):e0245615. doi: 10.1371/journal.pone.0245615. eCollection 2021.

Abstract

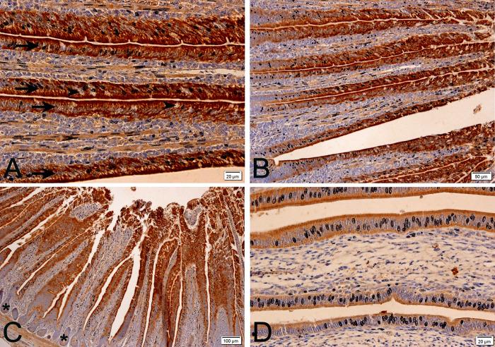
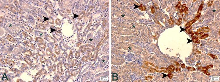
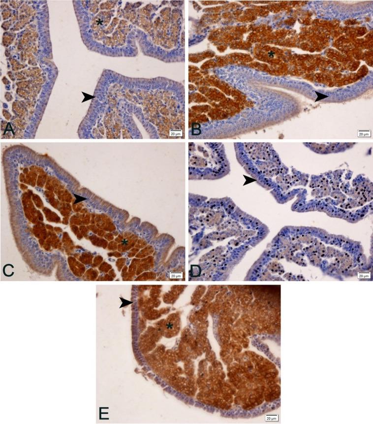
This study aimed to provide the performance, localization and expression of the epithelial calcium transporter channels Calbindin-D28k (Calb) and TRPV6, and of the morphology of the digestive and reproductive system of laying quail under heat stress (HS), and with methionine supplementation (MS). This study characterized the positivity (immunohistochemistry) and expression (real-time PCR) of calcium channels in the kidneys, intestine and uterus of 504 laying quails under different MS (100, 110 and 120%) and temperatures (20, 24, 28 and 32°C). The animals under HS (32°C) had lower villus height, villus:crypt ratio, and goblet cell index in the duodenum and jejunum, fewer secondary and tertiary uterine folds, smaller hepatic steatosis, and increased number of distal convoluted renal tubules (CT) positive to Calb, and increased positivity in proximal CTs. Deleterious effects of HS were minimized with MS for: duodenal crypts, number of goblet cells of the jejunum, number of uterine folds, decreased Calb positivity in intestines and kidney, increased positivity of Calb in the uterus and increased TRPV6 gene expression in the kidney (P≤0.05). Epithelial calcium transporters were altered due to less need for calcium absorption and reabsorption due to more calcium available with the MS, increasing egg production in HS and quality in termoneutrality (P≤0.05). MS further increased intestinal villus absorption area and height, increased steatosis, decreased Calb positivity in the intestine and kidney, increased uterine positivity of Calb, and increase Calb and TRPV6 expression in the kidney (P≤0.001) under thermoneutrality. It was concluded that the use of MS (120%) is justifiable in order to partially reverse the deleterious effects of HS on the production, in the epithelial calcium carriers, and in the digestory and reproductive morphology of laying quail.

摘要

本研究旨在提供热应激(HS)和蛋氨酸补充(MS)下产蛋鹌鹑的上皮钙转运通道钙结合蛋白-D28k(Calb)和 TRPV6 的性能、定位和表达,以及消化和生殖系统形态的特征。本研究描述了不同 MS(100、110 和 120%)和温度(20、24、28 和 32°C)下,504 只产蛋鹌鹑肾脏、肠道和子宫中钙通道的阳性率(免疫组织化学)和表达(实时 PCR)。HS(32°C)下的动物十二指肠和空肠的绒毛高度、绒毛:隐窝比和杯状细胞指数降低,次级和三级子宫褶皱减少,肝脂肪变性增加,远端卷曲状肾单位(CT)对 Calb 的阳性率增加,近端 CT 的阳性率增加。MS 对以下方面的 HS 有害影响最小:十二指肠隐窝、空肠的杯状细胞数量、子宫褶皱数量、肠道和肾脏中 Calb 的阳性率降低、子宫中 Calb 的阳性率增加以及肾脏中 TRPV6 基因表达增加(P≤0.05)。由于 MS 增加了钙的可用性,减少了钙吸收和重吸收的需求,因此上皮钙转运体发生了变化,从而增加了 HS 下的产蛋量和常温下的产蛋质量(P≤0.05)。MS 进一步增加了肠道绒毛的吸收面积和高度,增加了脂肪变性,降低了肠道和肾脏中 Calb 的阳性率,增加了子宫中 Calb 的阳性率,增加了肾脏中 Calb 和 TRPV6 的表达(P≤0.001)在常温下。总之,为了部分逆转 HS 对产蛋、上皮钙载体和产蛋鹌鹑消化和生殖形态的不利影响,使用 MS(120%)是合理的。

https://cdn.ncbi.nlm.nih.gov/pmc/blobs/2788/7810298/34b82399c8fb/pone.0245615.g001.jpg

文献AI研究员

20分钟写一篇综述,助力文献阅读效率提升50倍。

立即体验

用中文搜PubMed

大模型驱动的PubMed中文搜索引擎

马上搜索

文档翻译

学术文献翻译模型,支持多种主流文档格式。

立即体验