Suppr超能文献

基于深度学习的头颈部危及器官轮廓勾画的外部验证

External validation of deep learning-based contouring of head and neck organs at risk.

作者信息

Brunenberg Ellen J L, Steinseifer Isabell K, van den Bosch Sven, Kaanders Johannes H A M, Brouwer Charlotte L, Gooding Mark J, van Elmpt Wouter, Monshouwer René

机构信息

Department of Radiation Oncology, Radboud University Medical Center, Nijmegen, The Netherlands.

Department of Radiation Oncology, University of Groningen, University Medical Center Groningen, Groningen, The Netherlands.

出版信息

Phys Imaging Radiat Oncol. 2020 Jul 10;15:8-15. doi: 10.1016/j.phro.2020.06.006. eCollection 2020 Jul.

Abstract

BACKGROUND AND PURPOSE

Head and neck (HN) radiotherapy can benefit from automatic delineation of tumor and surrounding organs because of the complex anatomy and the regular need for adaptation. The aim of this study was to assess the performance of a commercially available deep learning contouring (DLC) model on an external validation set.

MATERIALS AND METHODS

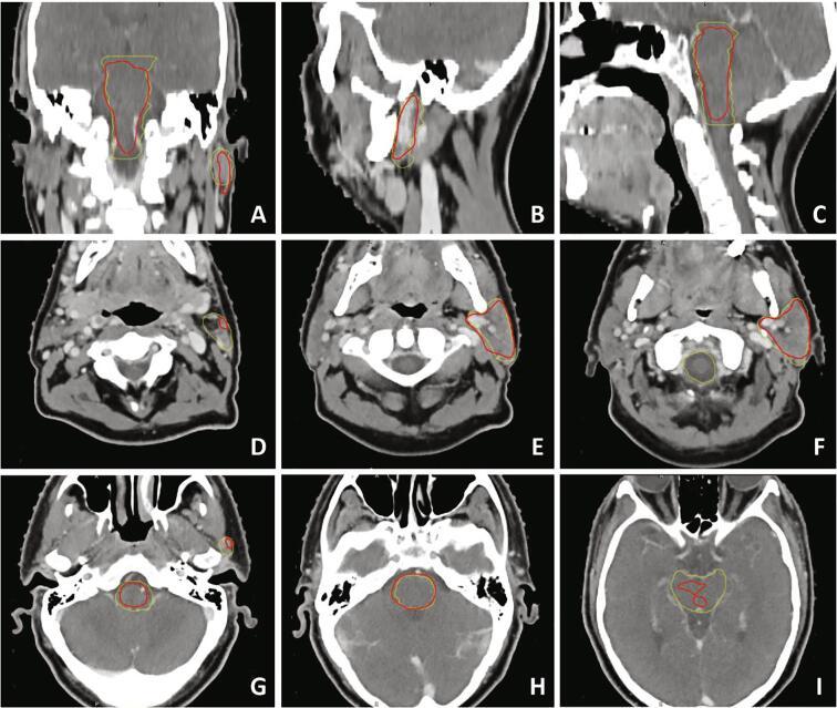
The CT-based DLC model, trained at the University Medical Center Groningen (UMCG), was applied to an independent set of 58 patients from the Radboud University Medical Center (RUMC). DLC results were compared to the RUMC manual reference using the Dice similarity coefficient (DSC) and 95th percentile of Hausdorff distance (HD95). Craniocaudal spatial information was added by calculating binned measures. In addition, a qualitative evaluation compared the acceptance of manual and DLC contours in both groups of observers.

RESULTS

Good correspondence was shown for the mandible (DSC 0.90; HD95 3.6 mm). Performance was reasonable for the glandular OARs, brainstem and oral cavity (DSC 0.78-0.85, HD95 3.7-7.3 mm). The other aerodigestive tract OARs showed only moderate agreement (DSC 0.53-0.65, HD95 around 9 mm). The binned measures displayed the largest deviations caudally and/or cranially.

CONCLUSIONS

This study demonstrates that the DLC model can provide a reasonable starting point for delineation when applied to an independent patient cohort. The qualitative evaluation did not reveal large differences in the interpretation of contouring guidelines between RUMC and UMCG observers.

摘要

背景与目的

由于头颈部(HN)解剖结构复杂且常需进行适应性调整,头颈部放疗可受益于肿瘤及周围器官的自动勾画。本研究旨在评估一种商用深度学习轮廓勾画(DLC)模型在外部验证集上的性能。

材料与方法

基于CT的DLC模型在格罗宁根大学医学中心(UMCG)进行训练,并应用于来自拉德堡德大学医学中心(RUMC)的58例独立患者。使用骰子相似系数(DSC)和95% Hausdorff距离(HD95)将DLC结果与RUMC的手动参考结果进行比较。通过计算分组测量值来添加头尾方向的空间信息。此外,进行了定性评估,比较两组观察者对手动和DLC轮廓的接受程度。

结果

下颌骨显示出良好的一致性(DSC 0.90;HD95 3.6 mm)。腺体危及器官、脑干和口腔的性能较为合理(DSC 0.78 - 0.85,HD95 3.7 - 7.3 mm)。其他消化道呼吸道危及器官仅显示出中等程度的一致性(DSC 0.53 - 0.65,HD95约为9 mm)。分组测量值在尾部和/或头部显示出最大偏差。

结论

本研究表明,当应用于独立患者队列时,DLC模型可为轮廓勾画提供合理的起点。定性评估未发现RUMC和UMCG观察者在轮廓勾画指南解释上的重大差异。

https://cdn.ncbi.nlm.nih.gov/pmc/blobs/142c/7807543/e9a050435f9d/gr1.jpg

文献AI研究员

20分钟写一篇综述,助力文献阅读效率提升50倍。

立即体验

用中文搜PubMed

大模型驱动的PubMed中文搜索引擎

马上搜索

文档翻译

学术文献翻译模型,支持多种主流文档格式。

立即体验