Suppr超能文献

热休克蛋白 60 通过激活 TLR4-NF-κB-MyD88 信号通路和破坏线粒体功能来调节尿酸单钠晶体诱导的炎症。

HSP60 Regulates Monosodium Urate Crystal-Induced Inflammation by Activating the TLR4-NF-B-MyD88 Signaling Pathway and Disrupting Mitochondrial Function.

机构信息

Institute of Rheumatology and Immunology, The Affiliated Hospital of North Sichuan Medical College, 63# Wenhua Road, Nanchong, 637000 Sichuan, Nanchong, China.

Preclinical School of North Sichuan Medical College, 234# Fujiang Road, Nanchong, 637000 Sichuan, Nanchong, China.

出版信息

Oxid Med Cell Longev. 2020 Dec 31;2020:8706898. doi: 10.1155/2020/8706898. eCollection 2020.

Abstract

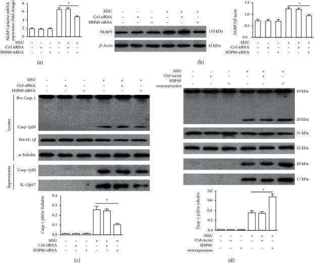
Acute gout is an inflammatory response induced by monosodium urate (MSU) crystals. HSP60 is a highly conserved stress protein that acts as a cellular "danger" signal for immune reactions. In this study, we aimed to investigate the role and molecular mechanism of HSP60 in gout. HSP60 expression was detected in peripheral blood mononuclear cells (PBMCs) and plasma of gout patients. The effect and molecular mechanism of HSP60 in gout were studied in MSU crystals treatment macrophages and C57BL/6 mice. JC-1 probe and MitoSOX Red were used to measure the mitochondrial membrane potential (MMP) and mitochondrial reactive oxygen species (mtROS). HSP60 expression was significantly upregulated in the PBMCs and sera of patients with acute gout (AG) compared to those with intercritical gout (IG) or healthy controls (HCs). MSU crystals induced the expression and secretion of HSP60 in the macrophages. HSP60 knockdown or overexpression affects TLR4 and MyD88 expression, IB degradation, and the nuclear localization of NF-B in MSU crystal-stimulated inflammation. Further, HSP60 facilitates MMP collapse and mtROS production and activates the NLRP3 inflammasome in MSU crystal-stimulated macrophages. In MSU crystal-induced arthritis mouse models pretreated with HSP60 vivo-morpholino, paw swelling, myeloperoxidase (MPO) activity, and inflammatory cell infiltration significantly decreased. Our study reveals that MSU crystal stimulates the expression of HSP60, which accelerates the TLR4-MyD88-NF-B signaling pathway and exacerbates mitochondrial dysfunction.

摘要

急性痛风是由单钠尿酸盐(MSU)晶体引起的炎症反应。HSP60 是一种高度保守的应激蛋白,作为免疫反应的细胞“危险”信号。在这项研究中,我们旨在研究 HSP60 在痛风中的作用和分子机制。检测了痛风患者外周血单核细胞(PBMC)和血浆中的 HSP60 表达。在 MSU 晶体处理的巨噬细胞和 C57BL/6 小鼠中研究了 HSP60 在痛风中的作用和分子机制。使用 JC-1 探针和 MitoSOX Red 测量线粒体膜电位(MMP)和线粒体活性氧(mtROS)。与间歇期痛风(IG)或健康对照(HC)相比,急性痛风(AG)患者的 PBMC 和血清中 HSP60 的表达明显上调。MSU 晶体诱导巨噬细胞中 HSP60 的表达和分泌。HSP60 敲低或过表达影响 TLR4 和 MyD88 的表达、IB 降解以及 NF-B 在 MSU 晶体刺激炎症中的核定位。此外,HSP60 促进 MMP 崩溃和 mtROS 的产生,并激活 MSU 晶体刺激的巨噬细胞中的 NLRP3 炎性体。在 HSP60 vivo-morpholino 预处理的 MSU 晶体诱导关节炎小鼠模型中,爪肿胀、髓过氧化物酶(MPO)活性和炎症细胞浸润显著减少。我们的研究表明,MSU 晶体刺激 HSP60 的表达,加速 TLR4-MyD88-NF-B 信号通路并加重线粒体功能障碍。

https://cdn.ncbi.nlm.nih.gov/pmc/blobs/dead/7791970/cf0bdbb52c4c/OMCL2020-8706898.001.jpg

文献AI研究员

20分钟写一篇综述,助力文献阅读效率提升50倍。

立即体验

用中文搜PubMed

大模型驱动的PubMed中文搜索引擎

马上搜索

文档翻译

学术文献翻译模型,支持多种主流文档格式。

立即体验