Suppr超能文献

葛根芩连汤增强结直肠癌患者肠道微生物群的免疫力并保护肠道屏障功能。

Gegen Qinlian decoction enhances immunity and protects intestinal barrier function in colorectal cancer patients gut microbiota.

作者信息

Li Yang, Li Zhong-Xin, Xie Chen-Yang, Fan Jing, Lv Ji, Xu Xin-Jian, Lv Jian, Kuai Wen-Tao, Jia Yi-Tao

机构信息

Department of Oncology, Hebei General Hospital, Shijiazhuang 050051, Hebei Province, China.

Second Department of Surgery, The Fourth Hospital of Hebei Medical University, Shijiazhuang 050000, Hebei Province, China.

出版信息

World J Gastroenterol. 2020 Dec 28;26(48):7633-7651. doi: 10.3748/wjg.v26.i48.7633.

Abstract

BACKGROUND

We previously showed, using the Traditional Chinese Medicine System Pharmacology Database, that Gegen Qinlian decoction (GQD) had a direct antitumor effect, and was combined with programmed cell death protein (PD)-1 inhibitors to treat microsatellite stable (MSS) tumor-bearing mice. However, the effect of GQD on patients with colorectal cancer (CRC) is not clear.

AIM

To determine the therapeutic mechanism of GQD in improving immune function, reducing inflammation and protecting intestinal barrier function.

METHODS

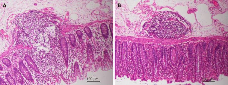
Seventy patients with CRC were included in this study: 37 in the control group and 33 in the treatment group. The proportions of CD4 T, CD8 T, natural killer (NK), NKT and T regulatory cells were measured by flow cytometry. Levels of the cytokines tumor necrosis factor (TNF)-α, interferon (IFN)-γ, interleukin (IL)-2, IL-6, IL-10 and serotonin (5-hydroxytryptamine; 5-HT) in serum were assessed by enzyme-linked immunosorbent assay (ELISA). The expression of zonula occludens (ZO)-1, occludin, nuclear factor (NF)-κB and TNF-α in tumor and normal tissues was measured by immunohistochemistry. The composition of gut microbiota from patients in the treatment group was assessed using 16S rDNA analysis.

RESULTS

There were no adverse events in the treatment group. The proportion of CD4 T cells and NKT cells in the post-treatment group was significantly higher than that in the pre-treatment and control groups ( < 0.05). The level of TNF-α in the post-treatment group was significantly lower than that in the pre-treatment and control groups ( < 0.05). The concentration of 5-HT in the post-treatment group was significantly lower than that in the pre-treatment group ( < 0.05). The expression of ZO-1 and occludin in tumor tissues in the treatment group was significantly higher than that in the control group ( < 0.05). The expression of ZO-1 in normal tissues of the treatment group was significantly higher than that in the control group ( = 0.010). Compared with the control group, expression of NF-κB and TNF-α in tumor tissues of the treatment group was significantly decreased ( < 0.05). Compared with the pre-treatment group, GQD decreased the relative abundance of and . In addition, GQD increased the relative abundance of , and .

CONCLUSION

GQD enhances immunity and protects intestinal barrier function in patients with CRC by regulating the composition of gut microbiota.

摘要

背景

我们之前使用中药系统药理学数据库表明,葛根芩连汤(GQD)具有直接抗肿瘤作用,并与程序性细胞死亡蛋白(PD)-1抑制剂联合用于治疗微卫星稳定(MSS)荷瘤小鼠。然而,GQD对结直肠癌(CRC)患者的疗效尚不清楚。

目的

确定GQD改善免疫功能、减轻炎症和保护肠道屏障功能的治疗机制。

方法

本研究纳入70例CRC患者:对照组37例,治疗组33例。采用流式细胞术检测CD4 T、CD8 T、自然杀伤(NK)、NKT和调节性T细胞的比例。采用酶联免疫吸附测定(ELISA)评估血清中细胞因子肿瘤坏死因子(TNF)-α、干扰素(IFN)-γ、白细胞介素(IL)-2、IL-6、IL-10和血清素(5-羟色胺;5-HT)的水平。采用免疫组织化学法检测肿瘤组织和正常组织中紧密连接蛋白(ZO)-1、闭合蛋白、核因子(NF)-κB和TNF-α的表达。使用16S rDNA分析评估治疗组患者肠道微生物群的组成。

结果

治疗组未发生不良事件。治疗后组CD4 T细胞和NKT细胞比例显著高于治疗前组和对照组(P<0.05)。治疗后组TNF-α水平显著低于治疗前组和对照组(P<0.05)。治疗后组5-HT浓度显著低于治疗前组(P<0.05)。治疗组肿瘤组织中ZO-1和闭合蛋白的表达显著高于对照组(P<0.05)。治疗组正常组织中ZO-1的表达显著高于对照组(P=0.010)。与对照组相比,治疗组肿瘤组织中NF-κB和TNF-α的表达显著降低(P<0.05)。与治疗前组相比,GQD降低了[具体菌属1]和[具体菌属2]的相对丰度。此外,GQD增加了[具体菌属3]、[具体菌属4]和[具体菌属5]的相对丰度。

结论

GQD通过调节肠道微生物群的组成增强CRC患者的免疫力并保护肠道屏障功能。

https://cdn.ncbi.nlm.nih.gov/pmc/blobs/8ee7/7789057/44d5c2cd043f/WJG-26-7633-g001.jpg

文献AI研究员

20分钟写一篇综述,助力文献阅读效率提升50倍。

立即体验

用中文搜PubMed

大模型驱动的PubMed中文搜索引擎

马上搜索

文档翻译

学术文献翻译模型,支持多种主流文档格式。

立即体验