Suppr超能文献

脑腱黄瘤病:临床表现的多样性及鹅去氧胆酸治疗的优化

Cerebrotendinous Xanthomatosis: diversity of presentation and refining treatment with chenodeoxycholic acid.

作者信息

Islam Mahjabin, Hoggard Nigel, Hadjivassiliou Marios

机构信息

Academic department of Neurosciences, Sheffield Teaching Hospitals NHS Trust and University of Sheffield, Royal hallamshire Hospital, Glossop Road, Sheffield, UK.

Department of Infection, Immunity & Cardiovascular Disease, University of Sheffield / INSIGNEO, Sheffield, UK.

出版信息

Cerebellum Ataxias. 2021 Jan 28;8(1):5. doi: 10.1186/s40673-021-00128-2.

Abstract

BACKGROUND

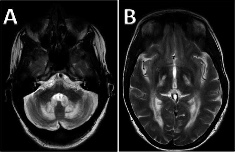
Cerebrotendinous xanthomatosis (CTX) is a rare but treatable neurometabolic disorder of lipid storage and bile acid synthesis. Whilst CTX is said to present with the classic triad of juvenile onset cataracts, tendon xanthomata and progressive ataxia, the diversity of presentation can be such that the diagnosis may be substantially delayed resulting in permanent neurological disability.

METHODS

A retrospective review of the clinical characteristics and imaging findings of 4 patients with CTX presenting to the Sheffield Ataxia Centre over a period of 25 years.

RESULTS

Although CTX-related symptoms were present from childhood, the median age at diagnosis was 39 years. Only 1 of the 4 cases had tendon xanthomata, only 2 cases had juvenile onset cataracts and 3 had progressive ataxia with one patient presenting with spastic paraparesis. Serum cholestanol was elevated in all 4 patients, proving to be a reliable diagnostic tool. In addition, cholestanol was raised in the CSF of 2 patients who underwent lumbar puncture. Despite treatment with chenodeoxycholic acid (CDCA) and normalization of serum cholestanol, CSF cholestanol remained high in one patient, necessitating increase in the dose of CDCA. Further adjustments to the dose of CDCA in the patient with raised CSF cholestanol resulted in slowing of progression. Two of the patients who have had the disease for the longest continued to progress, one subsequently dying from pneumonia.

CONCLUSION

A high index of suspicion for CTX, even in the absence of the classical triad is essential in reaching such diagnosis. The earlier the diagnosis and treatment, the better the outcome.

摘要

背景

脑腱黄瘤病(CTX)是一种罕见但可治疗的脂质储存和胆汁酸合成的神经代谢紊乱疾病。虽然据说CTX表现为青少年期白内障、肌腱黄瘤和进行性共济失调的经典三联征,但临床表现的多样性可能导致诊断大幅延迟,从而导致永久性神经残疾。

方法

对25年间在谢菲尔德共济失调中心就诊的4例CTX患者的临床特征和影像学检查结果进行回顾性分析。

结果

虽然CTX相关症状在儿童期就已出现,但诊断时的中位年龄为39岁。4例患者中只有1例有肌腱黄瘤,只有2例有青少年期白内障,3例有进行性共济失调,其中1例患者表现为痉挛性截瘫。所有4例患者的血清胆甾烷醇均升高,证明是一种可靠的诊断工具。此外,2例接受腰椎穿刺的患者脑脊液中的胆甾烷醇也升高。尽管使用鹅去氧胆酸(CDCA)治疗且血清胆甾烷醇恢复正常,但1例患者脑脊液中的胆甾烷醇仍居高不下,需要增加CDCA剂量。对脑脊液胆甾烷醇升高的患者进一步调整CDCA剂量导致病情进展放缓。病程最长的2例患者病情继续发展,其中1例随后死于肺炎。

结论

即使没有典型三联征,对CTX保持高度怀疑指数对于做出此类诊断至关重要。诊断和治疗越早,预后越好。

https://cdn.ncbi.nlm.nih.gov/pmc/blobs/1e9d/7844909/07f32b23645e/40673_2021_128_Fig1_HTML.jpg

文献AI研究员

20分钟写一篇综述,助力文献阅读效率提升50倍。

立即体验

用中文搜PubMed

大模型驱动的PubMed中文搜索引擎

马上搜索

文档翻译

学术文献翻译模型,支持多种主流文档格式。

立即体验