Suppr超能文献

富含Gb3的CD59/小窝蛋白质膜结构域调控铜绿假单胞菌对宿主细胞的侵袭。

The Gb3-enriched CD59/flotillin plasma membrane domain regulates host cell invasion by Pseudomonas aeruginosa.

作者信息

Brandel Annette, Aigal Sahaja, Lagies Simon, Schlimpert Manuel, Meléndez Ana Valeria, Xu Maokai, Lehmann Anika, Hummel Daniel, Fisch Daniel, Madl Josef, Eierhoff Thorsten, Kammerer Bernd, Römer Winfried

机构信息

Faculty of Biology, University of Freiburg, Schänzlestraße 1, 79104, Freiburg, Germany.

BIOSS, Centre for Biological Signalling Studies, University of Freiburg, Schänzlestraße 18, 79104, Freiburg, Germany.

出版信息

Cell Mol Life Sci. 2021 Apr;78(7):3637-3656. doi: 10.1007/s00018-021-03766-1. Epub 2021 Feb 8.

Abstract

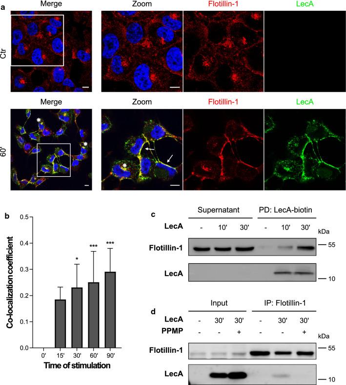
The opportunistic pathogen Pseudomonas aeruginosa has gained precedence over the years due to its ability to develop resistance to existing antibiotics, thereby necessitating alternative strategies to understand and combat the bacterium. Our previous work identified the interaction between the bacterial lectin LecA and its host cell glycosphingolipid receptor globotriaosylceramide (Gb3) as a crucial step for the engulfment of P. aeruginosa via the lipid zipper mechanism. In this study, we define the LecA-associated host cell membrane domain by pull-down and mass spectrometry analysis. We unraveled a predilection of LecA for binding to saturated, long fatty acyl chain-containing Gb3 species in the extracellular membrane leaflet and an induction of dynamic phosphatidylinositol (3,4,5)-trisphosphate (PIP) clusters at the intracellular leaflet co-localizing with sites of LecA binding. We found flotillins and the GPI-anchored protein CD59 not only to be an integral part of the LecA-interacting membrane domain, but also majorly influencing bacterial invasion as depletion of either of these host cell proteins resulted in about 50% reduced invasiveness of the P. aeruginosa strain PAO1. In summary, we report that the LecA-Gb3 interaction at the extracellular leaflet induces the formation of a plasma membrane domain enriched in saturated Gb3 species, CD59, PIP and flotillin thereby facilitating efficient uptake of PAO1.

摘要

多年来,机会致病菌铜绿假单胞菌因其对现有抗生素产生耐药性的能力而备受关注,因此需要采取替代策略来了解和对抗这种细菌。我们之前的研究发现,细菌凝集素LecA与其宿主细胞糖鞘脂受体球三糖神经酰胺(Gb3)之间的相互作用是通过脂质拉链机制吞噬铜绿假单胞菌的关键步骤。在本研究中,我们通过下拉和质谱分析确定了与LecA相关的宿主细胞膜结构域。我们发现LecA倾向于结合细胞外膜小叶中含有饱和长脂肪酰链的Gb3种类,并在细胞内小叶中诱导与LecA结合位点共定位的动态磷脂酰肌醇(3,4,5)-三磷酸(PIP)簇。我们发现flotillins和糖基磷脂酰肌醇锚定蛋白CD59不仅是与LecA相互作用的膜结构域的组成部分,而且对细菌入侵有重大影响,因为这些宿主细胞蛋白中的任何一种缺失都会导致铜绿假单胞菌PAO1菌株的侵袭性降低约50%。总之,我们报告细胞外小叶中的LecA-Gb3相互作用诱导了富含饱和Gb3种类、CD59、PIP和flotillin的质膜结构域的形成,从而促进了PAO1的有效摄取。

https://cdn.ncbi.nlm.nih.gov/pmc/blobs/073f/11072891/560f1b02b6a4/18_2021_3766_Fig1_HTML.jpg

文献AI研究员

20分钟写一篇综述,助力文献阅读效率提升50倍。

立即体验

用中文搜PubMed

大模型驱动的PubMed中文搜索引擎

马上搜索

文档翻译

学术文献翻译模型,支持多种主流文档格式。

立即体验