Suppr超能文献

具有间质分化特征的伴 C11orf95-NCOA1/2 或 -RELA 融合的室管膜瘤样肿瘤:一种与室管膜瘤相关的尚未分类的肿瘤。

Ependymoma-like tumor with mesenchymal differentiation harboring C11orf95-NCOA1/2 or -RELA fusion: A hitherto unclassified tumor related to ependymoma.

机构信息

Department of Human Pathology, Gunma University Graduate School of Medicine, Maebashi, Japan.

Division of Cancer Genomics, National Cancer Center Research Institute, Tokyo, Japan.

出版信息

Brain Pathol. 2021 May;31(3):e12943. doi: 10.1111/bpa.12943. Epub 2021 Feb 12.

Abstract

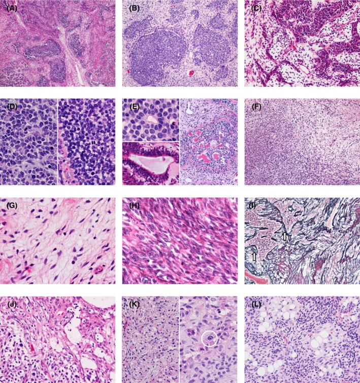
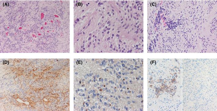
Recurrent fusion genes involving C11orf95, C11orf95-RELA, have been identified only in supratentorial ependymomas among primary CNS tumors. Here, we report hitherto histopathologically unclassifiable high-grade tumors, under the tentative label of "ependymoma-like tumors with mesenchymal differentiation (ELTMDs)," harboring C11orf95-NCOA1/2 or -RELA fusion. We examined the clinicopathological and molecular features in five cases of ELTMDs. Except for one adult case (50 years old), all cases were in children ranging from 1 to 2.5 years old. All patients presented with a mass lesion in the cerebral hemisphere. Histologically, all cases demonstrated a similar histology with a mixture of components. The major components were embryonal-appearing components forming well-delineated tumor cell nests composed of small uniform cells with high proliferative activity, and spindle-cell mesenchymal components with a low- to high-grade sarcoma-like appearance. The embryonal-appearing components exhibited minimal ependymal differentiation including a characteristic EMA positivity and tubular structures, but histologically did not fit with ependymoma because they lacked perivascular pseudorosettes, a histological hallmark of ependymoma, formed well-delineated nests, and had diffuse and strong staining for CAM5.2. Molecular analysis identified C11orf95-NCOA1, -NCOA2, and -RELA in two, one, and two cases, respectively. t-distributed stochastic neighbor embedding analysis of DNA methylation data from two cases with C11orf95-NCOA1 or -NCOA2 and a reference set of 380 CNS tumors revealed that these two cases were clustered together and were distinct from all subgroups of ependymomas. In conclusion, although ELTMDs exhibited morphological and genetic associations with supratentorial ependymoma with C11orf95-RELA, they cannot be regarded as ependymoma. Further analyses of more cases are needed to clarify their differences and similarities.

摘要

仅在原发性中枢神经系统肿瘤中的幕上室管膜瘤中发现涉及 C11orf95、C11orf95-RELA 的复发性融合基因。在这里,我们报告了迄今为止组织病理学上未分类的高级别肿瘤,暂定名为“具有间充质分化的室管膜瘤样肿瘤 (ELTMDs)”,这些肿瘤携带 C11orf95-NCOA1/2 或 -RELA 融合。我们检查了 5 例 ELTMDs 的临床病理和分子特征。除了一例成人病例(50 岁)外,所有病例均为 1 至 2.5 岁的儿童。所有患者均表现为大脑半球的肿块病变。组织学上,所有病例均表现出相似的组织学特征,存在多种成分混合。主要成分是胚胎样成分,形成界限清楚的肿瘤细胞巢,由小而均匀的具有高增殖活性的细胞组成,以及梭形细胞间充质成分,具有低至高等级肉瘤样外观。胚胎样成分表现出最小限度的室管膜分化,包括特征性 EMA 阳性和管状结构,但组织学上不符合室管膜瘤,因为它们缺乏血管周围假玫瑰花结,这是室管膜瘤的组织学特征,形成界限清楚的巢,并且对 CAM5.2 具有弥漫性和强染色。分子分析分别在 2 例、1 例和 2 例中鉴定出 C11orf95-NCOA1、-NCOA2 和 -RELA。对 2 例具有 C11orf95-NCOA1 或 -NCOA2 和 380 例 CNS 肿瘤参考集的 DNA 甲基化数据进行 t 分布随机邻域嵌入分析表明,这两例病例聚在一起,与所有室管膜瘤亚组明显不同。总之,尽管 ELTMDs 在形态学和遗传学上与具有 C11orf95-RELA 的幕上室管膜瘤相关,但它们不能被视为室管膜瘤。需要进一步分析更多病例以阐明它们的差异和相似之处。

https://cdn.ncbi.nlm.nih.gov/pmc/blobs/8673/8412126/515e0ad755c7/BPA-31-e12943-g005.jpg

文献AI研究员

20分钟写一篇综述,助力文献阅读效率提升50倍。

立即体验

用中文搜PubMed

大模型驱动的PubMed中文搜索引擎

马上搜索

文档翻译

学术文献翻译模型,支持多种主流文档格式。

立即体验