Suppr超能文献

间歇性θ波爆发刺激治疗精神分裂症阴性症状——一项双盲、假刺激对照的初步研究。

Intermittent theta burst stimulation for negative symptoms of schizophrenia-A double-blind, sham-controlled pilot study.

作者信息

Bation Rémy, Magnin Charline, Poulet Emmanuel, Mondino Marine, Brunelin Jérôme

机构信息

INSERM, U1028; CNRS, UMR5292; Lyon Neuroscience Research Center, PSYR2 Team, Lyon, France.

University Lyon 1, Villeurbanne, France.

出版信息

NPJ Schizophr. 2021 Feb 12;7(1):10. doi: 10.1038/s41537-021-00138-3.

Abstract

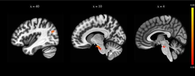
Optimal noninvasive brain stimulation parameters for the treatment of negative symptoms of schizophrenia remain unclear. Here, we aimed to investigate the clinical and biological effects of intermittent theta burst transcranial magnetic stimulation (iTBS) in patients with treatment-resistant negative symptoms of schizophrenia (NCT00875498). In a randomized sham-controlled 2-arm study, 22 patients with schizophrenia and treatment-resistant negative symptoms received 20 sessions of either active (n = 12) or sham (n = 10) iTBS. Sessions were delivered twice a day on 10 consecutive working days. Negative symptom severity was assessed 5 times using the Scale for the Assessment of Negative Symptoms (SANS): before iTBS, after iTBS, and 1, 3, and 6 months after iTBS. As a secondary objective, we explored the acute effects of iTBS on functional connectivity of the left dorsolateral prefrontal cortex (DLPFC) using seed-based resting-state functional connectivity MRI (rsFC fMRI) images acquired before and after iTBS. Active iTBS over the left DLPFC significantly decreased negative symptoms severity compared to sham iTBS (F = 3.321, p = 0.026). Post hoc analyses revealed that the difference between groups was significant 6 months after the end of stimulation sessions. Neuroimaging revealed an increase in rsFC between the left DLPFC and a brain region encompassing the right lateral occipital cortex and right angular gyrus and a right midbrain region that may encompass dopamine neuron cell bodies. Thus, iTBS over the left DLPFC can alleviate negative symptoms of schizophrenia. The effect might be driven by significant modulation of dopamine transmission.

摘要

用于治疗精神分裂症阴性症状的最佳非侵入性脑刺激参数仍不明确。在此,我们旨在研究间歇性theta爆发式经颅磁刺激(iTBS)对难治性精神分裂症阴性症状患者的临床和生物学效应(NCT00875498)。在一项随机假对照双臂研究中,22例患有难治性精神分裂症阴性症状的患者接受了20次主动iTBS(n = 12)或假iTBS(n = 10)治疗。在连续10个工作日内,每天进行两次治疗。使用阴性症状评估量表(SANS)在iTBS治疗前、治疗后以及治疗后1、3和6个月对阴性症状严重程度进行了5次评估。作为次要目标,我们使用iTBS治疗前后采集的基于种子点的静息态功能连接MRI(rsFC fMRI)图像,探索了iTBS对左侧背外侧前额叶皮质(DLPFC)功能连接的急性效应。与假iTBS相比,左侧DLPFC的主动iTBS显著降低了阴性症状严重程度(F = 3.321,p = 0.026)。事后分析显示,刺激疗程结束后6个月,两组之间的差异具有显著性。神经影像学显示,左侧DLPFC与一个包含右侧枕叶外侧皮质和右侧角回以及一个可能包含多巴胺神经元细胞体的右侧中脑区域之间的rsFC增加。因此,左侧DLPFC的iTBS可以缓解精神分裂症的阴性症状。这种效应可能是由多巴胺传递的显著调节驱动的。

https://cdn.ncbi.nlm.nih.gov/pmc/blobs/6fe4/7880987/9d6d6703bbbc/41537_2021_138_Fig1_HTML.jpg

文献AI研究员

20分钟写一篇综述,助力文献阅读效率提升50倍。

立即体验

用中文搜PubMed

大模型驱动的PubMed中文搜索引擎

马上搜索

文档翻译

学术文献翻译模型,支持多种主流文档格式。

立即体验