Suppr超能文献

调节性 T 淋巴细胞浸润转移性乳腺癌-独立的预后因素,其随着肿瘤进展而变化。

Regulatory T lymphocyte infiltration in metastatic breast cancer-an independent prognostic factor that changes with tumor progression.

机构信息

Division of Clinical Genetics, Department of Laboratory Medicine, Lund University, SE-221 85, Lund, Sweden.

Division of Oncology, Department of Clinical Sciences Lund, Lund University, SE-221 85, Lund, Sweden.

出版信息

Breast Cancer Res. 2021 Feb 18;23(1):27. doi: 10.1186/s13058-021-01403-0.

Abstract

BACKGROUND

Patients diagnosed with metastatic breast cancer have poor outcome with a median survival of approximately 2 years. While novel therapeutic options are urgently needed, the great majority of breast cancer research has focused on the primary tumor and less is known about metastatic breast cancer and the prognostic impact of the metastatic tumor microenvironment. Here we investigate the immune landscape in unique clinical material. We explore how the immune landscape changes with metastatic progression and elucidate the prognostic role of immune cells infiltrating primary tumors and corresponding lymph node and more importantly distant metastases.

METHODS

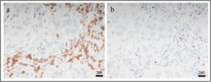
Immunohistochemical staining was performed on human breast cancer tissue microarrays from primary tumors (n = 231), lymph node metastases (n = 129), and distant metastases (n = 43). Infiltration levels of T lymphocytes (CD3), regulatory T lymphocytes (Tregs, FOXP3), macrophages (CD68), and neutrophils (NE) were assessed in primary tumors. T lymphocytes and Tregs were further investigated in lymph node and distant metastases.

RESULTS

T lymphocyte and Treg infiltration were the most clinically important immune cell populations in primary tumors. Infiltration of T lymphocytes and Tregs in primary tumors correlated with proliferation (P = 0.007, P = 0.000) and estrogen receptor negativity (P = 0.046, P = 0.026). While both T lymphocyte and Treg infiltration had a negative correlation to luminal A subtype (P = 0.031, P = 0.000), only Treg infiltration correlated to luminal B (P = 0.034) and triple-negative subtype (P = 0.019). In primary tumors, infiltration of T lymphocytes was an independent prognostic factor for recurrence-free survival (HR = 1.77, CI = 1.01-3.13, P = 0.048), while Treg infiltration was an independent prognostic factor for breast cancer-specific survival (HR = 1.72, CI = 1.14-2.59, P = 0.01). Moreover, breast cancer patients with Treg infiltration in their distant metastases had poor post-recurrence survival (P = 0.039). Treg infiltration levels changed with metastatic tumor progression in 50% of the patients, but there was no significant trend toward neither lower nor higher infiltration.

CONCLUSION

Treg infiltration could have clinical applicability as a prognostic biomarker, deciphering metastatic breast cancer patients with worse prognosis, and accordingly, could be a suitable immunotherapeutic target for patients with metastatic breast cancer. Importantly, half of the patients had changes in Treg infiltration during the course of metastatic progression emphasizing the need to characterize the metastatic immune landscape.

摘要

背景

转移性乳腺癌患者的预后较差,中位生存期约为 2 年。虽然迫切需要新的治疗选择,但绝大多数乳腺癌研究都集中在原发性肿瘤上,对转移性乳腺癌及其转移性肿瘤微环境的预后影响知之甚少。在这里,我们研究了独特临床标本中的免疫景观。我们探讨了免疫景观如何随转移进展而变化,并阐明了浸润原发性肿瘤以及相应的淋巴结和更重要的远处转移的免疫细胞的预后作用。

方法

对来自原发性肿瘤(n=231)、淋巴结转移(n=129)和远处转移(n=43)的人乳腺癌组织微阵列进行免疫组织化学染色。评估原发性肿瘤中 T 淋巴细胞(CD3)、调节性 T 淋巴细胞(Tregs,FOXP3)、巨噬细胞(CD68)和中性粒细胞(NE)的浸润水平。在淋巴结和远处转移中进一步研究了 T 淋巴细胞和 Tregs。

结果

T 淋巴细胞和 Treg 浸润是原发性肿瘤中最具临床意义的免疫细胞群体。原发性肿瘤中 T 淋巴细胞和 Tregs 的浸润与增殖(P=0.007,P=0.000)和雌激素受体阴性(P=0.046,P=0.026)呈正相关。虽然 T 淋巴细胞和 Treg 浸润均与腔 A 亚型呈负相关(P=0.031,P=0.000),但只有 Treg 浸润与腔 B(P=0.034)和三阴性亚型(P=0.019)相关。在原发性肿瘤中,T 淋巴细胞浸润是无复发生存的独立预后因素(HR=1.77,CI=1.01-3.13,P=0.048),而 Treg 浸润是乳腺癌特异性生存的独立预后因素(HR=1.72,CI=1.14-2.59,P=0.01)。此外,远处转移中 Treg 浸润的乳腺癌患者复发后生存较差(P=0.039)。在 50%的患者中,Treg 浸润水平随转移性肿瘤进展而变化,但没有出现浸润水平降低或升高的明显趋势。

结论

Treg 浸润可用作预后生物标志物,解析预后较差的转移性乳腺癌患者,因此可能成为转移性乳腺癌患者的合适免疫治疗靶点。重要的是,一半的患者在转移性进展过程中 Treg 浸润发生变化,这强调了对转移性免疫景观进行特征分析的必要性。

https://cdn.ncbi.nlm.nih.gov/pmc/blobs/b0a0/7893927/d0076e0275b6/13058_2021_1403_Fig1_HTML.jpg

文献AI研究员

20分钟写一篇综述,助力文献阅读效率提升50倍。

立即体验

用中文搜PubMed

大模型驱动的PubMed中文搜索引擎

马上搜索

文档翻译

学术文献翻译模型,支持多种主流文档格式。

立即体验