Suppr超能文献

免疫调节剂通过增强抗菌免疫来对抗耐多药结核病。

Immunomodulatory Agents Combat Multidrug-Resistant Tuberculosis by Improving Antimicrobial Immunity.

机构信息

Center for Infectious Medicine (CIM), Department of Medicine, ANA Futura, Karolinska Institutet, Huddinge, Sweden.

Clinical Microbiology, Department of Laboratory Medicine (Labmed), ANA Futura, Karolinska Institutet, Huddinge, Sweden.

出版信息

J Infect Dis. 2021 Jul 15;224(2):332-344. doi: 10.1093/infdis/jiab100.

Abstract

BACKGROUND

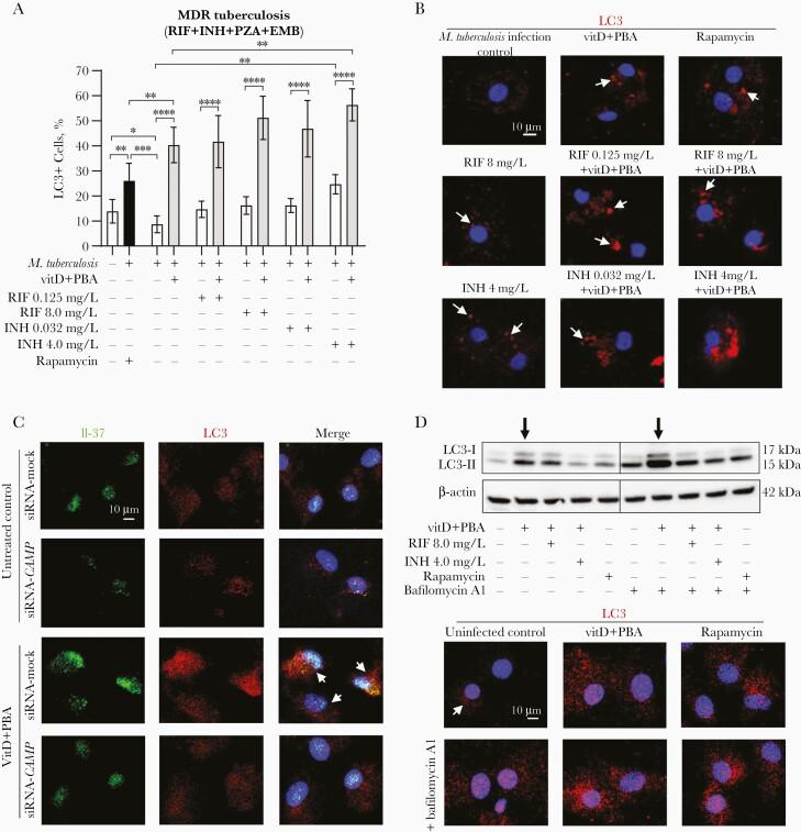
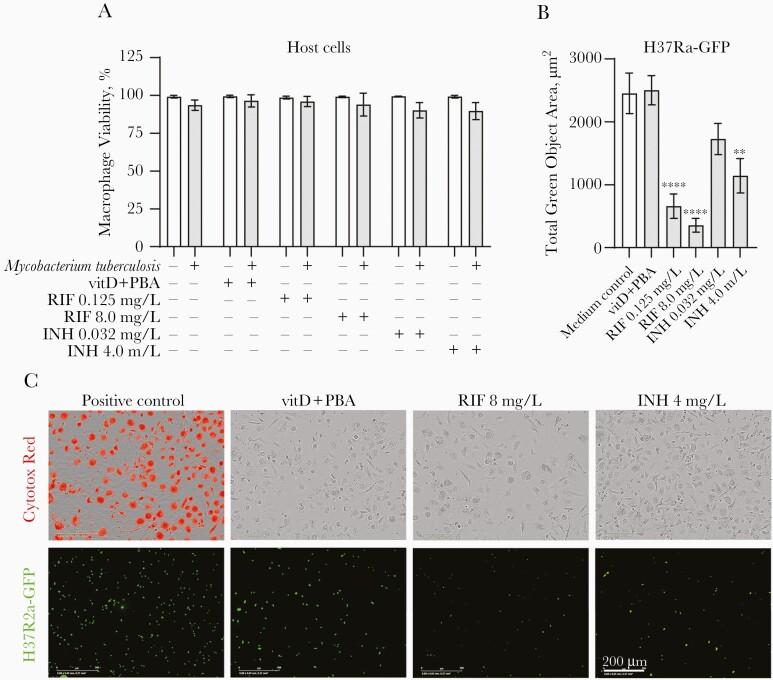
Multidrug-resistant (MDR) tuberculosis has low treatment success rates, and new treatment strategies are needed. We explored whether treatment with active vitamin D3 (vitD) and phenylbutyrate (PBA) could improve conventional chemotherapy by enhancing immune-mediated eradication of Mycobacterium tuberculosis.

METHODS

A clinically relevant model was used consisting of human macrophages infected with M. tuberculosis isolates (n = 15) with different antibiotic resistance profiles. The antimicrobial effect of vitD+PBA, was tested together with rifampicin or isoniazid. Methods included colony-forming units (intracellular bacterial growth), messenger RNA expression analyses (LL-37, β-defensin, nitric oxide synthase, and dual oxidase 2), RNA interference (LL-37-silencing in primary macrophages), and Western blot analysis and confocal microscopy (LL-37 and LC3 protein expression).

RESULTS

VitD+PBA inhibited growth of clinical MDR tuberculosis strains in human macrophages and strengthened intracellular growth inhibition of rifampicin and isoniazid via induction of the antimicrobial peptide LL-37 and LC3-dependent autophagy. Gene silencing of LL-37 expression enhanced MDR tuberculosis growth in vitD+PBA-treated macrophages. The combination of vitD+PBA and isoniazid were as effective in reducing intracellular MDR tuberculosis growth as a >125-fold higher dose of isoniazid alone, suggesting potent additive effects of vitD+PBA with isoniazid.

CONCLUSIONS

Immunomodulatory agents that trigger multiple immune pathways can strengthen standard MDR tuberculosis treatment and contribute to next-generation individualized treatment options for patients with difficult-to-treat pulmonary tuberculosis.

摘要

背景

耐多药(MDR)结核病的治疗成功率较低,需要新的治疗策略。我们探讨了活性维生素 D3(vitD)和苯丁酸钠(PBA)治疗是否可以通过增强免疫介导的结核分枝杆菌清除来改善常规化疗。

方法

使用包含感染不同抗生素耐药谱结核分枝杆菌分离株的人巨噬细胞的临床相关模型。vitD+PBA 与利福平或异烟肼联合测试其抗菌效果。方法包括集落形成单位(细胞内细菌生长)、信使 RNA 表达分析(LL-37、β-防御素、一氧化氮合酶和双氧化酶 2)、RNA 干扰(原代巨噬细胞中 LL-37 沉默)和 Western blot 分析和共聚焦显微镜(LL-37 和 LC3 蛋白表达)。

结果

vitD+PBA 抑制了临床 MDR 结核菌株在人巨噬细胞中的生长,并通过诱导抗菌肽 LL-37 和 LC3 依赖性自噬来增强利福平和异烟肼的细胞内生长抑制作用。LL-37 表达的基因沉默增强了 vitD+PBA 处理的巨噬细胞中 MDR 结核分枝杆菌的生长。vitD+PBA 与异烟肼联合使用在减少细胞内 MDR 结核分枝杆菌生长方面与单独使用异烟肼高出 125 倍的剂量一样有效,表明 vitD+PBA 与异烟肼具有明显的增效作用。

结论

触发多种免疫途径的免疫调节剂可以增强标准 MDR 结核病治疗,并有助于为治疗困难的肺结核患者提供下一代个体化治疗选择。

https://cdn.ncbi.nlm.nih.gov/pmc/blobs/0840/8280489/e5cd151b3a0b/jiab100f0001.jpg

文献AI研究员

20分钟写一篇综述,助力文献阅读效率提升50倍。

立即体验

用中文搜PubMed

大模型驱动的PubMed中文搜索引擎

马上搜索

文档翻译

学术文献翻译模型,支持多种主流文档格式。

立即体验