Suppr超能文献

β-葡聚糖的全身给药可诱导小胶质细胞的免疫训练。

Systemic administration of β-glucan induces immune training in microglia.

作者信息

Heng Yang, Zhang Xiaoming, Borggrewe Malte, van Weering Hilmar R J, Brummer Maaike L, Nijboer Tjalling W, Joosten Leo A B, Netea Mihai G, Boddeke Erik W G M, Laman Jon D, Eggen Bart J L

机构信息

Department of Biomedical Sciences of Cells & Systems, Section Molecular Neurobiology, University of Groningen, University Medical Center Groningen, Antonius Deusinglaan 1, 9713, AV, Groningen, The Netherlands.

Department of Internal Medicine and Radboud Center for Infectious Diseases (RCI), Radboud University Medical Center, Nijmegen, The Netherlands.

出版信息

J Neuroinflammation. 2021 Feb 22;18(1):57. doi: 10.1186/s12974-021-02103-4.

Abstract

BACKGROUND

An innate immune memory response can manifest in two ways: immune training and immune tolerance, which refers to an enhanced or suppressed immune response to a second challenge, respectively. Exposing monocytes to moderate-to-high amounts of bacterial lipopolysaccharide (LPS) induces immune tolerance, whereas fungal β-glucan (BG) induces immune training. In microglia, it has been shown that different LPS inocula in vivo can induce either immune training or tolerance. Few studies focused on impact of BG on microglia and were only performed in vitro. The aim of the current study was to determine whether BG activates and induces immune memory in microglia upon peripheral administration in vivo.

METHODS

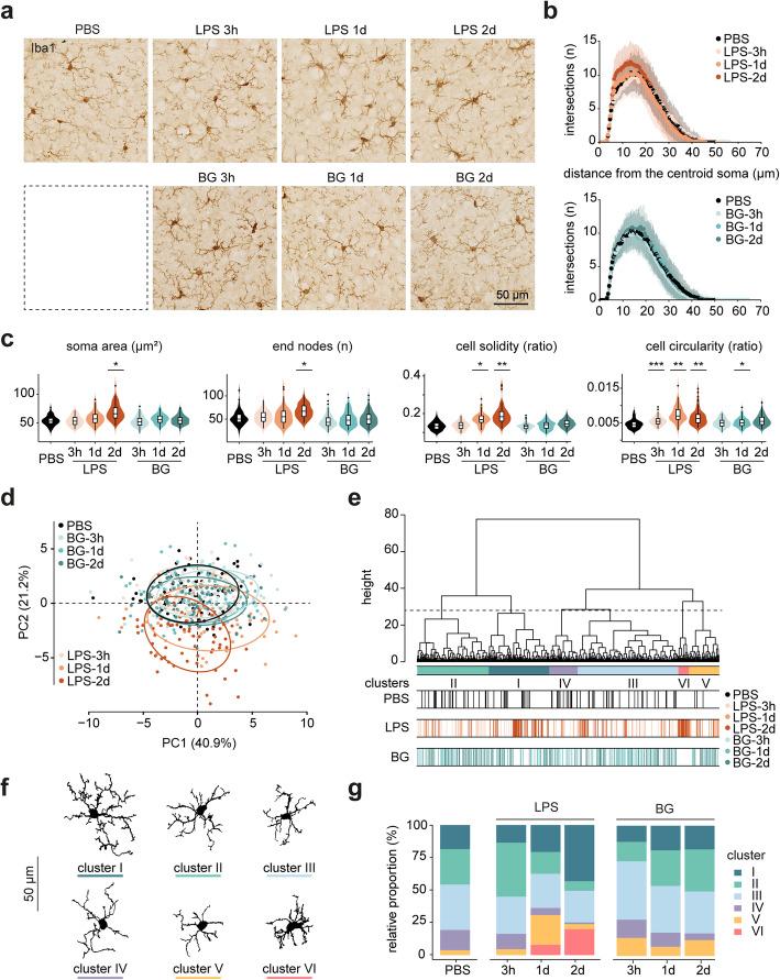
Two experimental designs were used. In the acute design, mice received an intraperitoneal (i.p.) injection with PBS, 1 mg/kg LPS or 20 mg/kg BG and were terminated after 3 h, 1 or 2 days. In the preconditioning design, animals were first challenged i.p. with PBS, 1 mg/kg LPS or 20 mg/kg BG. After 2, 7 or 14 days, mice received a second injection with PBS or 1 mg/kg LPS and were sacrificed 3 h later. Microglia were isolated by fluorescence-activated cell sorting, and cytokine gene expression levels were determined. In addition, a self-developed program was used to analyze microglia morphological changes. Cytokine concentrations in serum were determined by a cytokine array.

RESULTS

Microglia exhibited a classical inflammatory response to LPS, showing significant upregulation of Tnf, Il6, Il1β, Ccl2, Ccl3 and Csf1 expression, three h after injection, and obvious morphological changes 1 and 2 days after injection. With an interval of 2 days between two challenges, both BG and LPS induced immune training in microglia. The training effect of LPS changed into immune tolerance after a 7-day interval between 2 LPS challenges. Preconditioning with BG and LPS resulted in increased morphological changes in microglia in response to a systemic LPS challenge compared to naïve microglia.

CONCLUSIONS

Our results demonstrate that preconditioning with BG and LPS both induced immune training of microglia at two days after the first challenge. However, with an interval of 7 days between the first and second challenge, LPS-preconditioning resulted in immune tolerance in microglia.

摘要

背景

先天性免疫记忆反应可通过两种方式表现出来:免疫训练和免疫耐受,分别指对第二次刺激的免疫反应增强或抑制。将单核细胞暴露于中至高剂量的细菌脂多糖(LPS)可诱导免疫耐受,而真菌β-葡聚糖(BG)则诱导免疫训练。在小胶质细胞中,已表明体内不同剂量的LPS可诱导免疫训练或耐受。很少有研究关注BG对小胶质细胞的影响,且仅在体外进行。本研究的目的是确定外周给予BG在体内是否能激活小胶质细胞并诱导免疫记忆。

方法

采用了两种实验设计。在急性设计中,小鼠腹腔注射磷酸盐缓冲液(PBS)、1mg/kg LPS或20mg/kg BG,并在3小时、1天或2天后处死。在预处理设计中,动物首先腹腔注射PBS、1mg/kg LPS或20mg/kg BG。2、7或14天后,小鼠接受第二次注射PBS或1mg/kg LPS,并在3小时后处死。通过荧光激活细胞分选分离小胶质细胞,并测定细胞因子基因表达水平。此外,使用自行开发的程序分析小胶质细胞形态变化。通过细胞因子阵列测定血清中细胞因子浓度。

结果

小胶质细胞对LPS表现出典型的炎症反应,注射后3小时Tnf、Il6、Il1β、Ccl2、Ccl3和Csf1表达显著上调,注射后1天和2天出现明显的形态变化。两次刺激间隔2天时,BG和LPS均诱导小胶质细胞产生免疫训练。两次LPS刺激间隔7天时,LPS的训练效果转变为免疫耐受。与未处理的小胶质细胞相比,用BG和LPS预处理导致小胶质细胞在全身LPS刺激下形态变化增加。

结论

我们的结果表明,用BG和LPS预处理在首次刺激后两天均诱导了小胶质细胞的免疫训练。然而,首次和第二次刺激间隔7天时,LPS预处理导致小胶质细胞产生免疫耐受。

https://cdn.ncbi.nlm.nih.gov/pmc/blobs/a920/7901224/e67f92cab699/12974_2021_2103_Fig1_HTML.jpg

文献AI研究员

20分钟写一篇综述,助力文献阅读效率提升50倍。

立即体验

用中文搜PubMed

大模型驱动的PubMed中文搜索引擎

马上搜索

文档翻译

学术文献翻译模型,支持多种主流文档格式。

立即体验