Suppr超能文献

镰状细胞病中的中风和卵圆孔未闭。

Stroke and presence of patent foramen ovale in sickle cell disease.

机构信息

First Department of Cardiology, National and Kapodistrian University of Athens, Medical School, 114 Vasilisis Sofias, 11527, Athens, Greece.

First Department of Cardiology, Henry Dunant Hospital Center, Athens, Greece.

出版信息

J Thromb Thrombolysis. 2021 Oct;52(3):889-897. doi: 10.1007/s11239-021-02398-3. Epub 2021 Feb 26.

Abstract

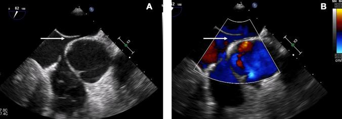
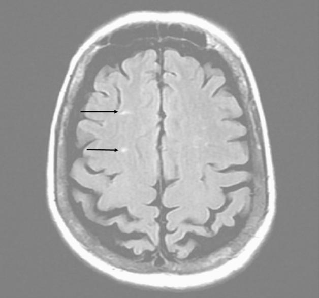
Sickle cell disease (SCD) is an inherited monogenic hemoglobinopathy characterized by formation of sickle erythrocytes under conditions of deoxygenation. Sickle erythrocytes can lead to thrombus formation and vaso-occlusive episodes that may result in hemolytic anemia, pain crisis and multiple organ damage. Moreover, SCD is characterized by endothelial damage, increased inflammatory response, platelet activation and aggravation, and activation of both the intrinsic and the extrinsic coagulation pathways. Cerebrovascular events constitute an important clinical complication of SCD. Children with SCD have a 300-fold higher risk of acute stroke and by the age of 45 about 25% of patients have suffered an overt stoke. Management and prevention of stroke in patients with SCD is not well defined. Moreover, the presence of patent foramen ovale (PFO) increases the risk of the occurrence of an embolic cerebrovascular event. The role of PFO closure and antiplatelet or anticoagulation therapy has not been well investigated. Moreover, during COVID-19 pandemic and taking into account the increased rates of thrombotic events and the difficulties in blood transfusion, management of SCD patients is even more challenging and difficult, since data are scarce regarding stroke occurrence and management in this specific population in the COVID-19 era. This review focuses on pathophysiology of stroke in patients with SCD and possible treatment strategies in the presence of PFO.

摘要

镰状细胞病(SCD)是一种遗传性单基因血红蛋白病,其特征是在缺氧条件下形成镰状红细胞。镰状红细胞可导致血栓形成和血管阻塞发作,从而导致溶血性贫血、疼痛危象和多器官损伤。此外,SCD 的特征还包括内皮损伤、炎症反应增加、血小板激活和加重,以及内源性和外源性凝血途径的激活。脑血管事件是 SCD 的一个重要临床并发症。患有 SCD 的儿童发生急性中风的风险高 300 倍,到 45 岁时,约有 25%的患者发生过明显中风。SCD 患者中风的管理和预防尚未得到很好的定义。此外,卵圆孔未闭(PFO)的存在会增加发生栓塞性脑血管事件的风险。PFO 闭合和抗血小板或抗凝治疗的作用尚未得到很好的研究。此外,在 COVID-19 大流行期间,考虑到血栓形成事件的发生率增加以及输血困难,SCD 患者的管理更加具有挑战性和困难,因为在 COVID-19 时代,针对该特定人群中风发生和管理的数据很少。本文重点介绍 SCD 患者中风的病理生理学以及 PFO 存在时的可能治疗策略。

https://cdn.ncbi.nlm.nih.gov/pmc/blobs/dc3f/7909731/d296d3625e22/11239_2021_2398_Fig1_HTML.jpg

文献AI研究员

20分钟写一篇综述,助力文献阅读效率提升50倍。

立即体验

用中文搜PubMed

大模型驱动的PubMed中文搜索引擎

马上搜索

文档翻译

学术文献翻译模型,支持多种主流文档格式。

立即体验