Suppr超能文献

机械拉伸通过机械激活的阳离子通道 Piezo1 促进肥厚性瘢痕形成。

Mechanical stretch promotes hypertrophic scar formation through mechanically activated cation channel Piezo1.

机构信息

Department of Plastic and Reconstructive Surgery, Shanghai Ninth People's Hospital, Shanghai Jiao Tong University School of Medicine, 200011, Shanghai, China.

Department of Orthopedic Surgery, Xin Hua Hospital Affiliated to Shanghai Jiao Tong University School of Medicine (SJTUSM), 200092, Shanghai, China.

出版信息

Cell Death Dis. 2021 Mar 1;12(3):226. doi: 10.1038/s41419-021-03481-6.

Abstract

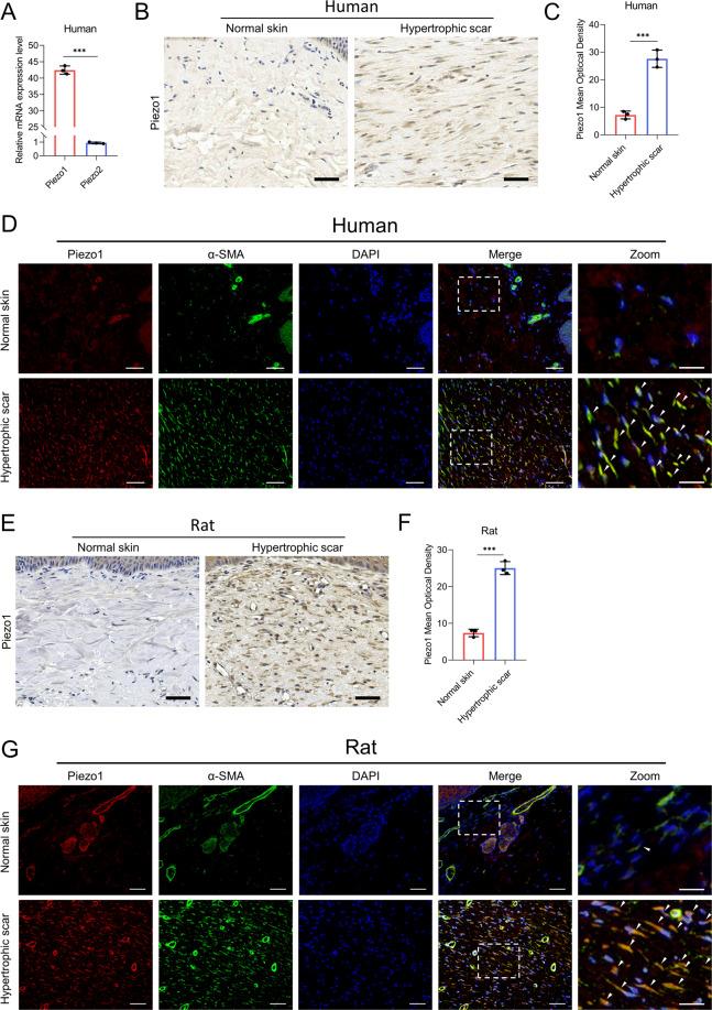
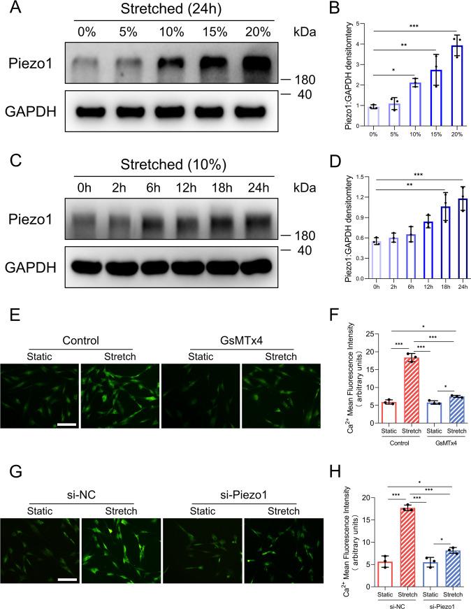
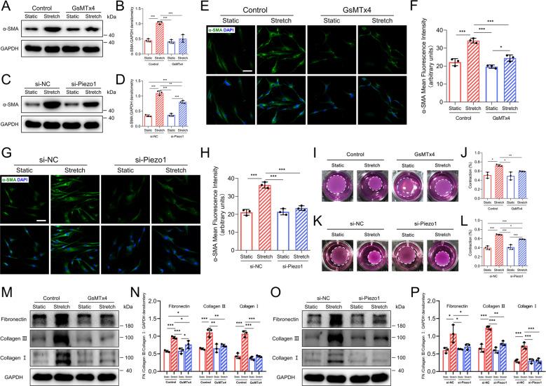
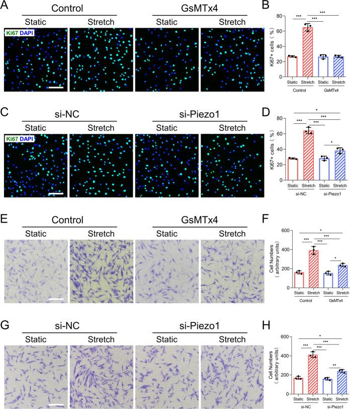
Hypertrophic scar (HS) formation is a skin fibroproliferative disease that occurs following a cutaneous injury, leading to functional and cosmetic impairment. To date, few therapeutic treatments exhibit satisfactory outcomes. The mechanical force has been shown to be a key regulator of HS formation, but the underlying mechanism is not completely understood. The Piezo1 channel has been identified as a novel mechanically activated cation channel (MAC) and is reportedly capable of regulating force-mediated cellular biological behaviors. However, the mechanotransduction role of Piezo1 in HS formation has not been investigated. In this work, we found that Piezo1 was overexpressed in myofibroblasts of human and rat HS tissues. In vitro, cyclic mechanical stretch (CMS) increased Piezo1 expression and Piezo1-mediated calcium influx in human dermal fibroblasts (HDFs). In addition, Piezo1 activity promoted HDFs proliferation, motility, and differentiation in response to CMS. More importantly, intradermal injection of GsMTx4, a Piezo1-blocking peptide, protected rats from stretch-induced HS formation. Together, Piezo1 was shown to participate in HS formation and could be a novel target for the development of promising therapies for HS formation.

摘要

增生性瘢痕(HS)是一种皮肤纤维增生性疾病,发生于皮肤损伤后,导致功能和美容受损。迄今为止,很少有治疗方法能取得满意的效果。机械力已被证明是 HS 形成的关键调节剂,但潜在机制尚不完全清楚。Piezo1 通道已被确定为一种新型的机械激活阳离子通道(MAC),据报道能够调节力介导的细胞生物学行为。然而,Piezo1 在 HS 形成中的力学转导作用尚未得到研究。在这项工作中,我们发现 Piezo1 在人及大鼠 HS 组织的肌成纤维细胞中过度表达。在体外,周期性机械拉伸(CMS)增加了人真皮成纤维细胞(HDF)中 Piezo1 的表达和 Piezo1 介导的钙内流。此外,Piezo1 活性促进 HDF 对 CMS 的增殖、迁移和分化。更重要的是,皮内注射 Piezo1 阻断肽 GsMTx4 可防止大鼠拉伸诱导的 HS 形成。综上所述,Piezo1 参与了 HS 的形成,可能成为治疗 HS 的有前途的新靶点。

https://cdn.ncbi.nlm.nih.gov/pmc/blobs/8be3/7921104/d0025f4a4c48/41419_2021_3481_Fig1_HTML.jpg

文献AI研究员

20分钟写一篇综述,助力文献阅读效率提升50倍。

立即体验

用中文搜PubMed

大模型驱动的PubMed中文搜索引擎

马上搜索

文档翻译

学术文献翻译模型,支持多种主流文档格式。

立即体验