Suppr超能文献

继发于多发性骨髓瘤的硬脑膜起源颅内浆细胞瘤并突发致死性脑出血:一例报告及文献复习

Intracranial plasmacytoma arising from dura mater secondary to multiple myeloma and presenting with sudden lethal intracerebral hemorrhage: A case report and literature review.

作者信息

Onodera Koki, Kurisu Kota, Takebayashi Seiji, Sakurai Juro, Kobayashi Tohru, Kobayashi Rina, Goto Shuho, Takizawa Katsumi

机构信息

Department of Neurosurgery, Asahikawa Red Cross Hospital, Asahikawa, Hokkaido, Japan.

出版信息

Surg Neurol Int. 2021 Feb 17;12:55. doi: 10.25259/SNI_693_2020. eCollection 2021.

Abstract

BACKGROUND

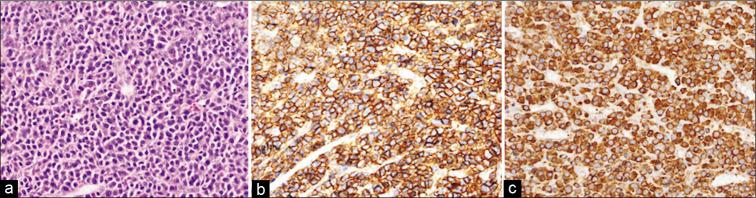
Intracranial and central nervous system's involvement with multiple myeloma (MM) is a clinically rare manifestation. Furthermore, the development of intracranial plasmacytoma without bone involvement is much rarer. Herein, we report the case of massive intracerebral hemorrhage form intracranial plasmacytoma that arose from the dura mater without bone involvement.

CASE DESCRIPTION

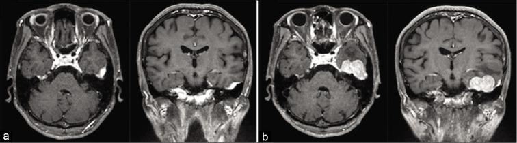
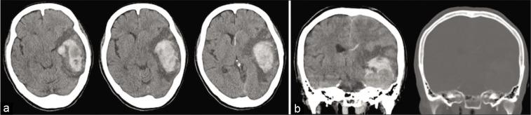
A 71-year-old woman, who had been diagnosed as MM and treated 2 years prior, developed sudden lethal intracerebral hemorrhage from the intracranial plasmacytoma. Massive hemorrhage was observed after a rapid tumor growth in the middle fossa. Immediate hematoma evacuation and tumor resection allowed the patient to avoid severe neurological deficits and lethal conditions.

CONCLUSION

A close follow-up by neuroimaging studies is essential in cases of intracranial plasmacytoma in MM patients and early intervention with surgical resection or radiotherapy should be considered.

摘要

背景

颅内及中枢神经系统受累于多发性骨髓瘤(MM)是一种临床罕见的表现。此外,无骨受累的颅内浆细胞瘤的发生更为罕见。在此,我们报告一例起源于硬脑膜且无骨受累的颅内浆细胞瘤导致大量脑出血的病例。

病例描述

一名71岁女性,2年前被诊断为MM并接受治疗,因颅内浆细胞瘤突发致死性脑出血。中颅窝肿瘤快速生长后出现大量出血。立即进行血肿清除和肿瘤切除使患者避免了严重的神经功能缺损和致命情况。

结论

对于MM患者的颅内浆细胞瘤病例,通过神经影像学检查进行密切随访至关重要,应考虑早期进行手术切除或放疗干预。

https://cdn.ncbi.nlm.nih.gov/pmc/blobs/396f/7911145/36a1c0ad730c/SNI-12-55-g001.jpg

文献AI研究员

20分钟写一篇综述,助力文献阅读效率提升50倍。

立即体验

用中文搜PubMed

大模型驱动的PubMed中文搜索引擎

马上搜索

文档翻译

学术文献翻译模型,支持多种主流文档格式。

立即体验