Suppr超能文献

1例冠状病毒病(COVID-19)感染患者发生大隐静脉血栓形成的病例报告。

A case report of greater saphenous vein thrombosis in a patient with coronavirus (COVID-19) infection.

作者信息

Hesam-Shariati Negin, Fatehi Poya, Fathi Fardin, Abouzaripour Morteza, Hesam Shariati Mohammad Bakhtiar

机构信息

School of Medical Sciences, Faculty of Medicine, University of New South Wales, Sydney, Australia.

Department of Radiology, Tohid Hospital, Kurdistan University of Medical Sciences, Sanandaj, Iran.

出版信息

Trop Dis Travel Med Vaccines. 2021 Mar 3;7(1):6. doi: 10.1186/s40794-021-00131-9.

Abstract

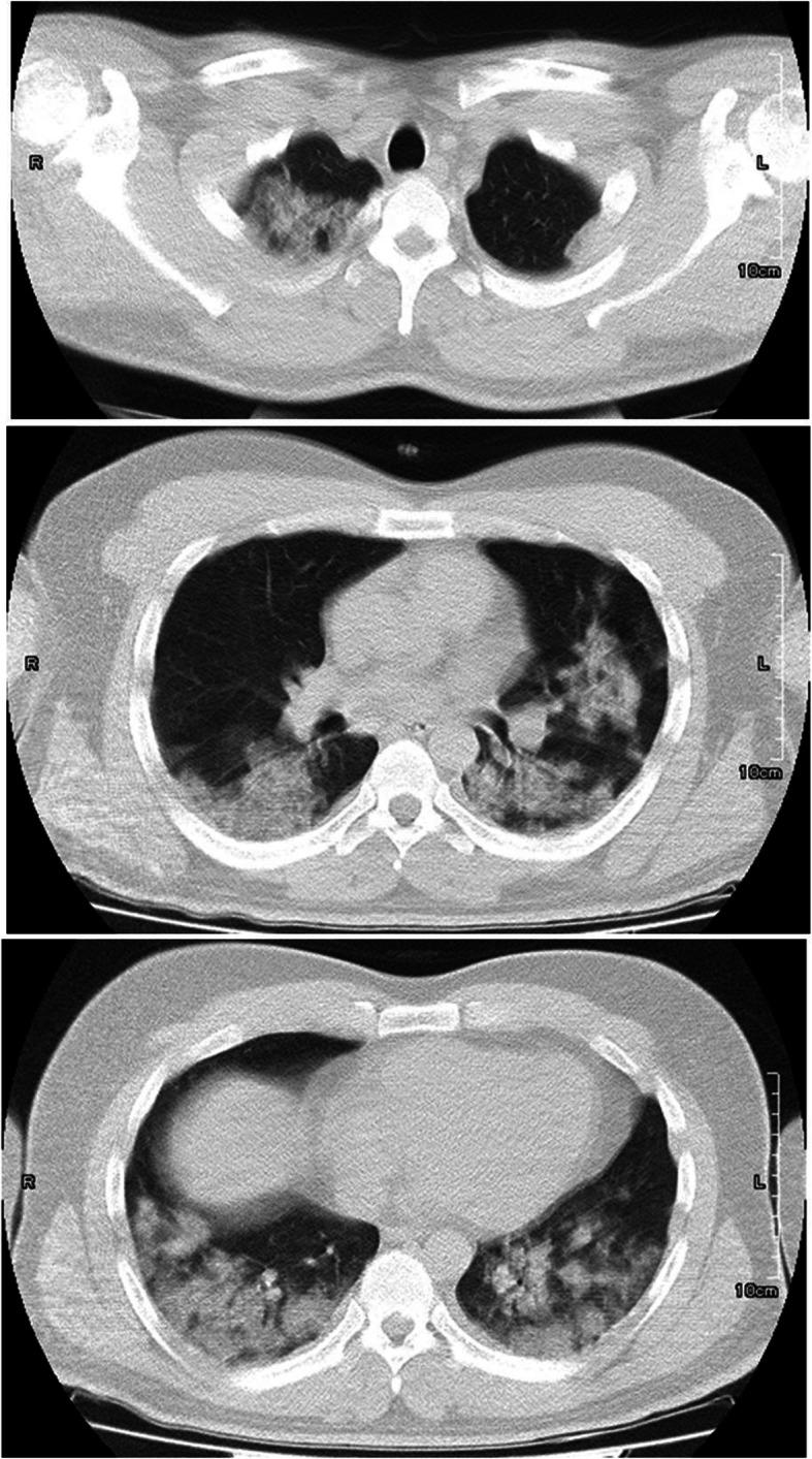
In December 2019, the World Health Organization (WHO) announced a series of pneumonia cases caused by an unknown origin, discovered in Wuhan, China. A dangerous virus called severe acute respiratory syndrome coronavirus 2 (SARS-CoV-2) caused a disease named acute respiratory syndrome, which was later popularly called coronavirus infection (COVID-19). Patients with acute COVID-19 are at high risk of thrombosis in various blood vessels due to hypercoagulability, blood stasis, and endothelial damage. In this study, we present a case report of a patient with COVID-19, who was hospitalized in one of the hospitals in Sanandaj, Iran. There were symptoms of fever, chills, muscle aches, cough, and tachycardia. Laboratory tests showed high levels of CRP, ESR, Ferritin CLIA, LDH and D-Dimer in this patient. Doppler ultrasound of the patient also revealed an abnormal finding, thrombosis in the right greater saphenous vein. This suggests that COVID-19 may lead to other negative effects through damage to blood vessels.

摘要

2019年12月,世界卫生组织(WHO)宣布在中国武汉发现了一系列由不明原因引起的肺炎病例。一种名为严重急性呼吸综合征冠状病毒2(SARS-CoV-2)的危险病毒引发了一种名为急性呼吸综合征的疾病,该疾病后来被普遍称为冠状病毒感染(COVID-19)。由于高凝性、血流淤滞和内皮损伤,急性COVID-19患者在各种血管中发生血栓形成的风险很高。在本研究中,我们报告了一例COVID-19患者的病例,该患者在伊朗萨南达杰的一家医院住院。患者出现发热、寒战、肌肉疼痛、咳嗽和心动过速等症状。实验室检查显示该患者的CRP、ESR、铁蛋白CLIA、LDH和D-二聚体水平升高。该患者的多普勒超声检查也发现了异常情况,即右侧大隐静脉血栓形成。这表明COVID-19可能通过损害血管导致其他负面影响。

https://cdn.ncbi.nlm.nih.gov/pmc/blobs/6e52/7931587/d1c070a33b3a/40794_2021_131_Fig1_HTML.jpg

文献AI研究员

20分钟写一篇综述,助力文献阅读效率提升50倍。

立即体验

用中文搜PubMed

大模型驱动的PubMed中文搜索引擎

马上搜索

文档翻译

学术文献翻译模型,支持多种主流文档格式。

立即体验