Suppr超能文献

SRSF1 通过调节 Bcl-x 的剪接并与肺癌中的 PIK3C3 相互作用来抑制自噬。

SRSF1 inhibits autophagy through regulating Bcl-x splicing and interacting with PIK3C3 in lung cancer.

机构信息

Second Affiliated Hospital, Institute of Cancer Stem Cell, Dalian Medical University, Dalian, China.

Department of Thoracic Surgery, First Affiliated Hospital, Dalian Medical University, Dalian, China.

出版信息

Signal Transduct Target Ther. 2021 Mar 5;6(1):108. doi: 10.1038/s41392-021-00495-6.

Abstract

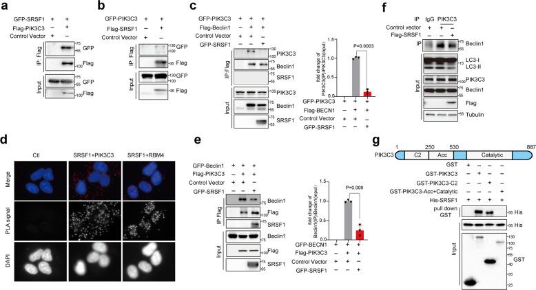
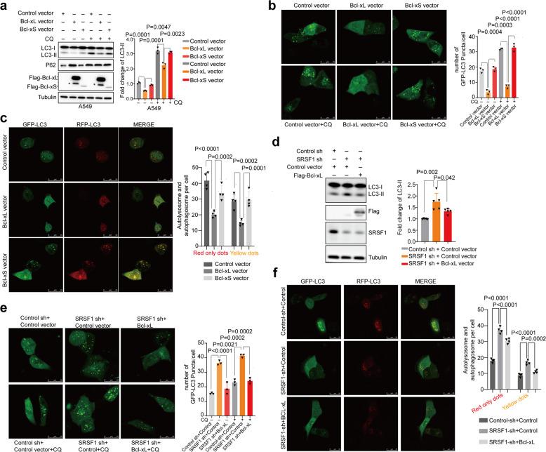
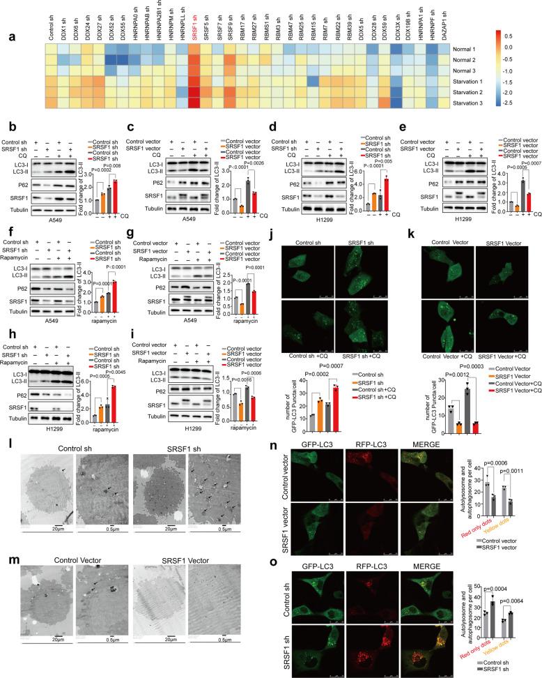
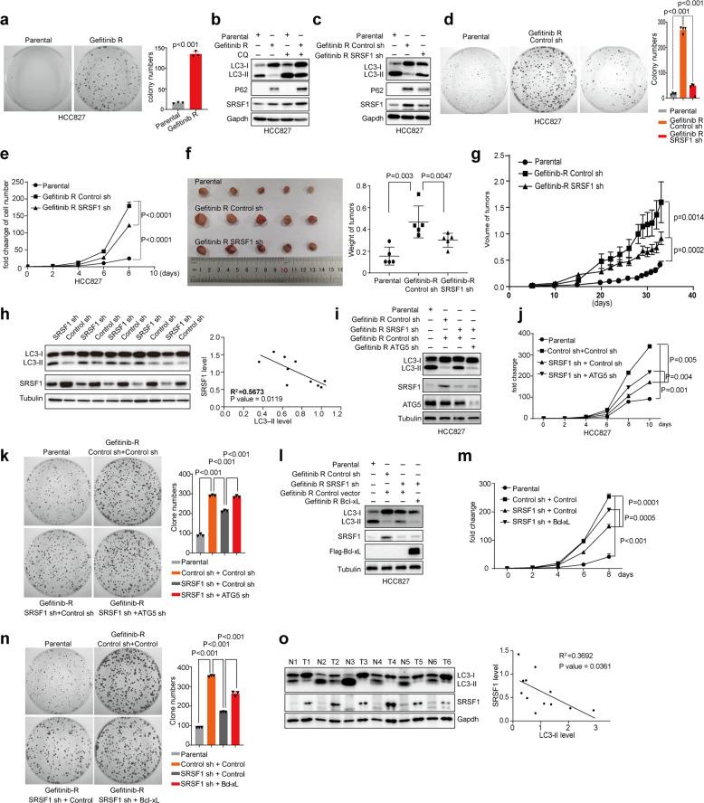
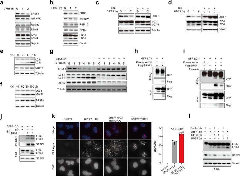
Alternative splicing is a critical process to generate protein diversity. However, whether and how alternative splicing regulates autophagy remains largely elusive. Here we systematically identify the splicing factor SRSF1 as an autophagy suppressor. Specifically, SRSF1 inhibits autophagosome formation by reducing the accumulation of LC3-II and numbers of autophagosomes in different cell lines. Mechanistically, SRSF1 promotes the splicing of the long isoform of Bcl-x that interacts with Beclin1, thereby dissociating the Beclin1-PIK3C3 complex. In addition, SRSF1 also directly interacts with PIK3C3 to disrupt the interaction between Beclin1 and PIK3C3. Consequently, the decrease of SRSF1 stabilizes the Beclin1 and PIK3C3 complex and activates autophagy. Interestingly, SRSF1 can be degraded by starvation- and oxidative stresses-induced autophagy through interacting with LC3-II, whereas reduced SRSF1 further promotes autophagy. This positive feedback is critical to inhibiting Gefitinib-resistant cancer cell progression both in vitro and in vivo. Consistently, the expression level of SRSF1 is inversely correlated to LC3 level in clinical cancer samples. Our study not only provides mechanistic insights of alternative splicing in autophagy regulation but also discovers a new regulatory role of SRSF1 in tumorigenesis, thereby offering a novel avenue for potential cancer therapeutics.

摘要

可变剪接是产生蛋白质多样性的关键过程。然而,可变剪接是否以及如何调节自噬在很大程度上仍不清楚。在这里,我们系统地鉴定剪接因子 SRSF1 为自噬抑制剂。具体而言,SRSF1 通过减少 LC3-II 的积累和不同细胞系中自噬体的数量来抑制自噬体的形成。在机制上,SRSF1 促进与 Beclin1 相互作用的 Bcl-x 长异构体的剪接,从而使 Beclin1-PIK3C3 复合物解离。此外,SRSF1 还直接与 PIK3C3 相互作用,破坏 Beclin1 和 PIK3C3 之间的相互作用。因此,SRSF1 的减少稳定了 Beclin1 和 PIK3C3 复合物并激活自噬。有趣的是,SRSF1 可以通过与 LC3-II 相互作用,被饥饿和氧化应激诱导的自噬降解,而减少的 SRSF1 进一步促进自噬。这种正反馈对于抑制体外和体内 Gefitinib 耐药癌细胞的进展至关重要。一致地,SRSF1 的表达水平与临床癌症样本中的 LC3 水平呈负相关。我们的研究不仅提供了可变剪接在自噬调节中的机制见解,还发现了 SRSF1 在肿瘤发生中的新调节作用,从而为潜在的癌症治疗提供了新途径。

https://cdn.ncbi.nlm.nih.gov/pmc/blobs/fc85/7933324/ca4c78d18951/41392_2021_495_Fig1_HTML.jpg

文献AI研究员

20分钟写一篇综述,助力文献阅读效率提升50倍。

立即体验

用中文搜PubMed

大模型驱动的PubMed中文搜索引擎

马上搜索

文档翻译

学术文献翻译模型,支持多种主流文档格式。

立即体验