Suppr超能文献

甲状腺乳头状癌在转移淋巴结中进展为间变性癌:淋巴结中的实性/胰岛样生长和鞋钉状细胞改变是后续间变性转化的预测因子。

Progression of Papillary Thyroid Carcinoma to Anaplastic Carcinoma in Metastatic Lymph Nodes: Solid/Insular Growth and Hobnail Cell Change in Lymph Nodes Are Predictors of Subsequent Anaplastic Transformation.

机构信息

Department of Pathology, University of Yamanashi, Chuo, Yamanashi, Japan.

Department of Surgery, Ito Hospital, Tokyo, Japan.

出版信息

Endocr Pathol. 2021 Sep;32(3):347-356. doi: 10.1007/s12022-021-09674-1. Epub 2021 Mar 24.

Abstract

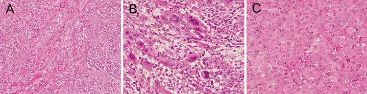
Most anaplastic thyroid carcinomas (ATCs) arise from papillary thyroid carcinoma (PTC). This process is also called anaplastic transformation, and the morphological harbingers of this phenomenon in nodal recurrence have not been assessed systematically. For this reason, the current study focused on features of 10 PTCs with regional lymph node recurrence that was accompanied with disease progression due to anaplastic transformation in at least one of the nodal recurrences. The findings of additional 19 PTCs which recurred without anaplastic transformation after ≥ 10 years of follow-up served as the control group. There were no clinicopathological differences between the two groups at initial surgery including age, gender, tumor size, lymph node metastasis, distant metastasis, extrathyroidal extension, histologic subtype, and treatment. The median time from the initial thyroid surgery to anaplastic transformation in the nodal recurrence was 106 months (range 6 to 437 months). Mutational analyses showed recurrent PTCs with anaplastic transformation had a high prevalence of BRAF mutation (8/9) and TERT promoter mutation (9/9), both of which were detected in primary tumors. PIK3CA mutation was detected in one case. No case had RAS mutation. Nineteen recurrent PTCs without anaplastic transformation harbored BRAF mutation and seventeen of these had TERT promoter mutation. Unlike primary tumors with subsequent nodal anaplastic transformation, TERT promoter mutation was only present in the metastatic nodal recurrence from 4 patients without transformation. No patients had neither high-grade features (necrosis and increased mitotic activity) nor solid/insular growth or hobnail cell features in their primary tumors. In the group of patients with transformation, 3 had solid/insular growth in the lymph node metastasis at the time of primary tumor resection (one displaying nuclear features of PTC and solid growth with increased mitotic activity, one with insular component consistent with poorly differentiated carcinoma component, and one displaying nuclear features of PTC and solid growth), and additional 2 patients had solid/insular growth with no high-grade features or poorly differentiated carcinoma component at the time of subsequent nodal recurrence prior to anaplastic transformation. Hobnail cell features were exclusively seen in subsequent metastatic lymph nodes prior to anaplastic transformation. The control group lacked solid/insular growth and hobnail cell features in the metastatic nodal disease. Aberrant p53 expression and loss of TTF-1 featured tumor components with anaplastic transformation. This series identified a subset of recurrent PTCs with TERT promoter mutation was prone to undergo anaplastic transformation, and that solid/insular growth and hobnail cell features were morphological predictors of anaplastic transformation in the nodal recurrence.

摘要

大多数间变性甲状腺癌(ATC)起源于甲状腺乳头状癌(PTC)。这一过程也称为间变转化,其在局部淋巴结复发中的形态学先兆尚未得到系统评估。基于此,本研究主要聚焦于 10 例伴区域淋巴结复发的 PTC 患者,这些患者的至少一个淋巴结复发存在间变转化,导致疾病进展。另外 19 例 PTC 患者在随访至少 10 年后无间变转化复发,作为对照组。两组患者在初始手术时的临床病理特征无差异,包括年龄、性别、肿瘤大小、淋巴结转移、远处转移、甲状腺外侵犯、组织学亚型和治疗。从初始甲状腺手术到淋巴结复发出现间变的中位时间为 106 个月(范围 6 至 437 个月)。突变分析显示,伴间变转化的复发性 PTC 中 BRAF 突变(8/9)和 TERT 启动子突变(9/9)的发生率较高,两种突变均在原发性肿瘤中检出。在 1 例中检测到 PIK3CA 突变。无 RAS 突变。19 例无间变转化的复发性 PTC 存在 BRAF 突变,其中 17 例存在 TERT 启动子突变。与随后发生淋巴结间变的原发性肿瘤不同,在 4 例无转化的患者中仅在转移性淋巴结复发中存在 TERT 启动子突变。在原发性肿瘤中,没有患者既没有高级别特征(坏死和有丝分裂活性增加)也没有实性/胰岛样生长或鞋钉样细胞特征。在发生转化的患者组中,有 3 例在原发性肿瘤切除时的淋巴结转移中存在实性/胰岛样生长(1 例显示 PTC 的核特征和有丝分裂活性增加的实性生长,1 例显示与低分化癌成分一致的胰岛样成分,1 例显示 PTC 的核特征和实性生长),另外 2 例在发生间变之前,在随后的淋巴结复发中存在无高级别特征或低分化癌成分的实性/胰岛样生长。鞋钉样细胞特征仅见于发生间变之前的后续转移性淋巴结中。对照组在转移性淋巴结疾病中缺乏实性/胰岛样生长和鞋钉样细胞特征。异常的 p53 表达和 TTF-1 缺失特征在发生间变的肿瘤成分中。本系列研究确定了一组复发性 PTC,其 TERT 启动子突变易发生间变转化,且实性/胰岛样生长和鞋钉样细胞特征是淋巴结复发中发生间变转化的形态学预测指标。

https://cdn.ncbi.nlm.nih.gov/pmc/blobs/fef3/8370965/15a1992826ef/12022_2021_9674_Fig1_HTML.jpg

文献AI研究员

20分钟写一篇综述,助力文献阅读效率提升50倍。

立即体验

用中文搜PubMed

大模型驱动的PubMed中文搜索引擎

马上搜索

文档翻译

学术文献翻译模型,支持多种主流文档格式。

立即体验