Suppr超能文献

一项初步研究探索了顺式女性月经周期中踝关节松弛度和整体关节松弛度的变化。

A preliminary study exploring the change in ankle joint laxity and general joint laxity during the menstrual cycle in cis women.

机构信息

Institute for Human Movement and Medical Sciences, Niigata University of Health and Welfare, 950-3198, Shimami-cho 1398, Kita-Ku,, Niigata, Japan.

出版信息

J Foot Ankle Res. 2021 Mar 24;14(1):21. doi: 10.1186/s13047-021-00459-7.

Abstract

BACKGROUND

The purpose of the present study was to examine the relationship between ankle joint laxity and general joint laxity (GJL) in relation to the menstrual cycle, which was divided into four phases based on basal body temperature and ovulation, assessed using an ovulation kit.

METHODS

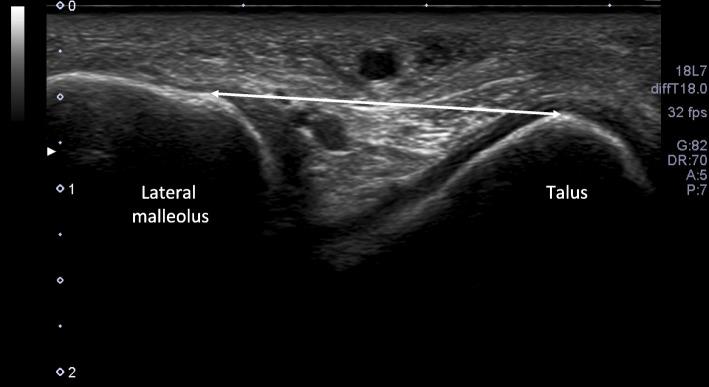
Participants were 14 female college students (21-22 years) with normal menstrual cycles (cis gender). Anterior drawer stress to a magnitude of 120 N was applied for all participants. Anterior talofibular ligament (ATFL) length was measured as the linear distance (mm) between its points of attachment on the lateral malleolus and talus using ultrasonography. Data on ATFL length from each subject were used to calculate each subject's normalized length change with anterior drawer stress (AD%). The University of Tokyo method was used for evaluation of GJL. AD% and GJL were measured once in each menstrual phase.

RESULTS

There was no statistically significant difference between AD% in each phase. GJL score was significantly higher in the ovulation and luteal phases compared with the early follicular phase. AD% and GJL showed a positive correlation with each other in the ovulation phase.

CONCLUSIONS

Although it is unclear whether estrogen receptors are present in the ATFL, the present study suggests that women with high GJL scores might be more sensitive to the effects of estrogen, resulting in ATFL length change in the ovulation phase.

摘要

背景

本研究旨在探讨踝关节松弛度与广义关节松弛度(GJL)与月经周期的关系,月经周期根据基础体温和排卵分为四个阶段,使用排卵试剂盒进行评估。

方法

研究对象为 14 名具有正常月经周期(顺性别)的女大学生(21-22 岁)。对所有参与者施加 120N 的前抽屉应力。使用超声测量距外踝和距骨附着点的附着点之间的前距腓骨韧带(ATFL)长度(mm)。每位受试者的 ATFL 长度数据用于计算每位受试者在前抽屉应力下的归一化长度变化(AD%)。使用东京大学方法评估 GJL。每个月经周期各测量一次 AD%和 GJL。

结果

各期 AD% 无统计学差异。与早卵泡期相比,排卵和黄体期 GJL 评分显著升高。在排卵期,AD%与 GJL 呈正相关。

结论

虽然尚不清楚雌激素受体是否存在于 ATFL 中,但本研究表明,GJL 评分较高的女性可能对雌激素的作用更为敏感,导致排卵期 ATFL 长度发生变化。

https://cdn.ncbi.nlm.nih.gov/pmc/blobs/dc01/7988940/9937f20d8362/13047_2021_459_Fig1_HTML.jpg

文献AI研究员

20分钟写一篇综述,助力文献阅读效率提升50倍。

立即体验

用中文搜PubMed

大模型驱动的PubMed中文搜索引擎

马上搜索

文档翻译

学术文献翻译模型,支持多种主流文档格式。

立即体验