Suppr超能文献

端粒结合蛋白 TRF2 的长连接区负责与核纤层蛋白的相互作用。

The Long Linker Region of Telomere-Binding Protein TRF2 Is Responsible for Interactions with Lamins.

机构信息

Institute of Cytology RAS, 194064 St. Petersburg, Russia.

Stem Cell Bank Pokrovsky, 199106 St. Petersburg, Russia.

出版信息

Int J Mol Sci. 2021 Mar 24;22(7):3293. doi: 10.3390/ijms22073293.

Abstract

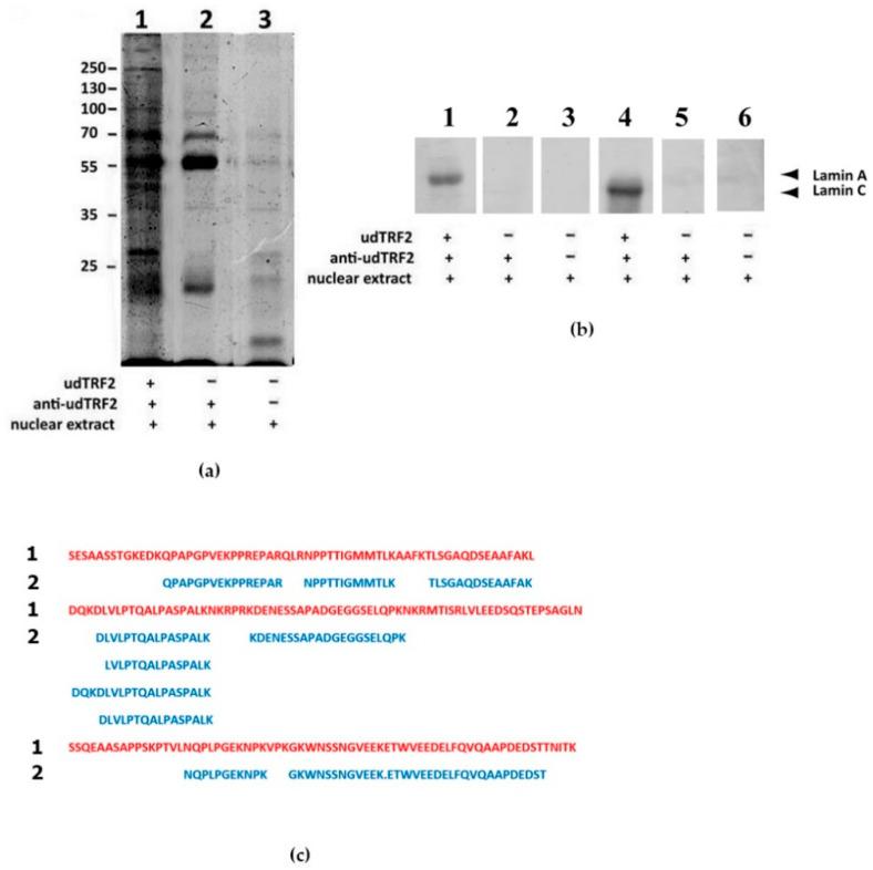
Telomere-binding factor 2 (TRF2) is part of the shelterin protein complex found at chromosome ends. Lamin A/C interacts with TRF2 and influences telomere position. TRF2 has an intrinsically disordered region between the ordered dimerization and DNA-binding domains. This domain is referred to as the long linker region of TRF2, or udTRF2. We suggest that udTRF2 might be involved in the interaction between TRF2 and lamins. The recombinant protein corresponding to the udTRF2 region along with polyclonal antibodies against this region were used in co-immunoprecipitation with purified lamina and nuclear extracts. Co-immunoprecipitation followed by Western blots and mass spectrometry indicated that udTRF2 interacts with lamins, preferably lamins A/C. The interaction did not involve any lamin-associated proteins, was not dependent on the post-translation modification of lamins, nor did it require their higher-order assembly. Besides lamins, a number of other udTRF2-interacting proteins were identified by mass spectrometry, including several heterogeneous nuclear ribonucleoproteins (hnRNP A2/B1, hnRNPA1, hnRNP A3, hnRNP K, hnRNP L, hnRNP M), splicing factors (SFPQ, NONO, SRSF1, and others), helicases (DDX5, DHX9, and Eif4a3l1), topoisomerase I, and heat shock protein 71, amongst others. Some of the identified interactors are known to be involved in telomere biology; the roles of the others remain to be investigated. Thus, the long linker region of TRF2 (udTRF2) is a regulatory domain responsible for the association between TRF2 and lamins and is involved in interactions with other proteins.

摘要

端粒结合因子 2(TRF2)是位于染色体末端的庇护体蛋白复合物的一部分。核纤层蛋白 A/C 与 TRF2 相互作用并影响端粒位置。TRF2 在有序二聚体和 DNA 结合结构域之间有一个无序的区域。这个区域被称为 TRF2 的长连接区,或 udTRF2。我们认为 udTRF2 可能参与 TRF2 和核纤层蛋白之间的相互作用。使用与 udTRF2 区域相对应的重组蛋白以及针对该区域的多克隆抗体,与纯化的核层和核提取物进行共免疫沉淀。共免疫沉淀后进行 Western blot 和质谱分析表明,udTRF2 与核纤层蛋白相互作用,特别是核纤层蛋白 A/C。这种相互作用不涉及任何核纤层相关蛋白,不依赖于核纤层蛋白的翻译后修饰,也不需要它们的高级组装。除了核纤层蛋白,通过质谱鉴定出许多其他与 udTRF2 相互作用的蛋白质,包括几种异质核核糖核蛋白(hnRNP A2/B1、hnRNPA1、hnRNP A3、hnRNP K、hnRNP L、hnRNP M)、剪接因子(SFPQ、NONO、SRSF1 等)、解旋酶(DDX5、DHX9 和 Eif4a3l1)、拓扑异构酶 I 和热休克蛋白 71 等。一些已鉴定的相互作用蛋白已知参与端粒生物学;其他蛋白的作用仍有待研究。因此,TRF2 的长连接区(udTRF2)是一个调节域,负责 TRF2 与核纤层蛋白的结合,并参与与其他蛋白质的相互作用。

https://cdn.ncbi.nlm.nih.gov/pmc/blobs/ed1c/8036907/309cdf8a1299/ijms-22-03293-g001.jpg

文献AI研究员

20分钟写一篇综述,助力文献阅读效率提升50倍。

立即体验

用中文搜PubMed

大模型驱动的PubMed中文搜索引擎

马上搜索

文档翻译

学术文献翻译模型,支持多种主流文档格式。

立即体验