Suppr超能文献

慢性给予 5-(3-氯苯基)-4-己基-2,4-二氢-3-1,2,4-三唑-3-硫酮(TP-315)-一种新型抗惊厥候选药物对生物机体的影响。

Effect of Chronic Administration of 5-(3-chlorophenyl)-4-Hexyl-2,4 -Dihydro-3-1,2,4-Triazole-3-Thione (TP-315)-A New Anticonvulsant Drug Candidate-On Living Organisms.

机构信息

Department of Pharmacology, Faculty of Health Sciences, Medical University of Lublin, 20-093 Lublin, Poland.

Isobolographic Analysis Laboratory, Institute of Rural Health, 20-090 Lublin, Poland.

出版信息

Int J Mol Sci. 2021 Mar 25;22(7):3358. doi: 10.3390/ijms22073358.

Abstract

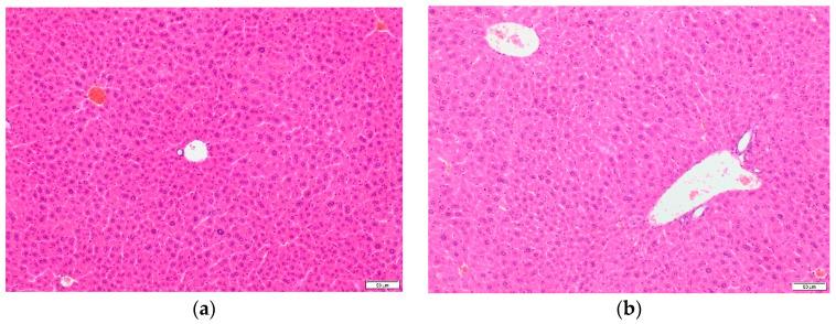
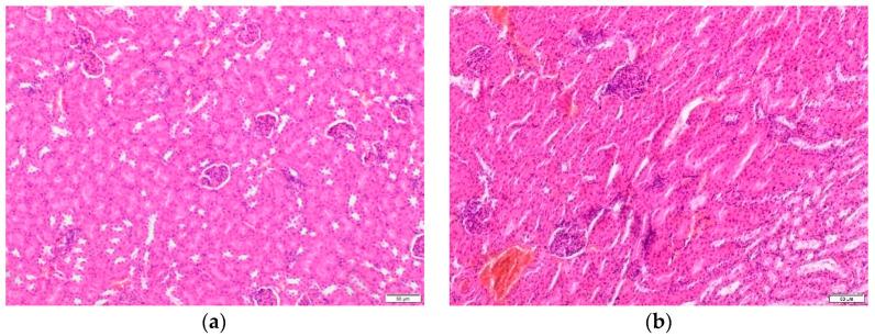
About 70 million people suffer from epilepsy-a chronic neurodegenerative disease. In most cases, the cause of the disease is unknown, but epilepsy can also develop as the result of a stroke, trauma to the brain, or the use of psychotropic substances. The treatment of epilepsy is mainly based on the administration of anticonvulsants, which the patient must most often use throughout their life. Despite significant progress in research on antiepileptic drugs, about 30% of patients still have drug-resistant epilepsy, which is insensitive to pharmacotherapy used so far. In our recent studies, we have shown that 4-alkyl-5-aryl-1,2,4-triazole-3-thiones act on the voltage-gated sodium channels and exhibit anticonvulsant activity in an MES (maximal electroshock-induced seizure) and 6Hz test in mice. Previous studies have shown their beneficial toxic and pharmacological profile, but their effect on a living organism during chronic use is still unknown. In the presented study, on the basis of the previously conducted tests and the PAMPA (parallel artificial membrane permeability assay) BBB (blood-brain barrier) test, we selected one 1,2,4-triazole-3-thione derivative-TP-315-for further studies aimed at assessing the impact of its chronic use on a living organism. After long-term administration of TP-315 to Albino Swiss mice, its effect on the functional parameters of internal organs was assessed by performing biochemical, morphological, and histopathological examinations. It was also determined whether the tested compound inhibits selected isoforms of the CYP450 enzyme system. On the basis of the conducted tests, it was found that TP-315 does not show nephrotoxic nor hepatotoxic effects and does not cause changes in hematological parameters. In vitro tests showed that TP-315 did not inhibit CYP2B6, CYP2D6, CYP3A4, or CYP3A5 enzymes at the concentration found in the serum of mice subjected to long-term exposure to this compound.

摘要

大约有 7000 万人患有癫痫-一种慢性神经退行性疾病。在大多数情况下,病因不明,但癫痫也可能是由于中风、脑部创伤或使用精神类药物引起的。癫痫的治疗主要基于抗惊厥药物的使用,患者通常需要终生使用这些药物。尽管抗癫痫药物的研究取得了重大进展,但仍有约 30%的患者患有耐药性癫痫,对迄今为止使用的药物治疗无反应。在我们最近的研究中,我们表明 4-烷基-5-芳基-1,2,4-三唑-3-硫酮作用于电压门控钠离子通道,并在 MES(最大电休克诱导惊厥)和 6Hz 试验中在小鼠中表现出抗惊厥活性。先前的研究表明它们具有有益的毒性和药理学特征,但它们在慢性使用期间对生物体的影响仍不清楚。在本研究中,基于先前进行的测试和 PAMPA(平行人工膜渗透测定)BBB(血脑屏障)测试,我们选择了一种 1,2,4-三唑-3-硫酮衍生物-TP-315-进行进一步研究,旨在评估其慢性使用对生物体的影响。在长期给予 Albino Swiss 小鼠 TP-315 后,通过进行生化、形态和组织病理学检查来评估其对内部器官功能参数的影响。还确定了测试化合物是否抑制了选定的 CYP450 酶系统同工酶。基于进行的测试,发现 TP-315 既没有显示出肾毒性也没有肝毒性,也不会引起血液学参数的变化。体外测试表明,TP-315 在浓度发现的在血清中 TP-315 没有抑制 CYP2B6、CYP2D6、CYP3A4 或 CYP3A5 酶在长期暴露于该化合物的小鼠。

https://cdn.ncbi.nlm.nih.gov/pmc/blobs/e470/8037910/79b9a10e30ab/ijms-22-03358-g001.jpg

文献AI研究员

20分钟写一篇综述,助力文献阅读效率提升50倍。

立即体验

用中文搜PubMed

大模型驱动的PubMed中文搜索引擎

马上搜索

文档翻译

学术文献翻译模型,支持多种主流文档格式。

立即体验