Suppr超能文献

病例报告:一名伴有腹膜癌转移和肝转移的胆管癌患者接受细胞减灭术、腹腔热灌注化疗联合肝脏电化学疗法的病例报告。

Case Report: Cytoreductive Surgery and HIPEC Associated With Liver Electrochemotherapy in a Cholangiocarcinoma Patient With Peritoneal Carcinomatosis and Liver Metastasis Case Report.

作者信息

Stefano Mauro, Prosperi Enrico, Fugazzola Paola, Benini Beatrice, Bisulli Marcello, Coccolini Federico, Mastronardi Costantino, Palladino Alessandro, Tomasoni Matteo, Agnoletti Vanni, Giampalma Emanuela, Ansaloni Luca

机构信息

General and Emergency Surgery Department, Azienda Unità Sanitaria Locale Romagna Trauma Center "Maurizio Bufalini" Hospital, Cesena, Italy.

Anesthesia and Intensive Care Department, Azienda Unità Sanitaria Locale Romagna Trauma Center "Maurizio Bufalini" Hospital, Cesena, Italy.

出版信息

Front Surg. 2021 Mar 19;8:624817. doi: 10.3389/fsurg.2021.624817. eCollection 2021.

Abstract

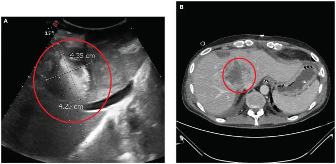
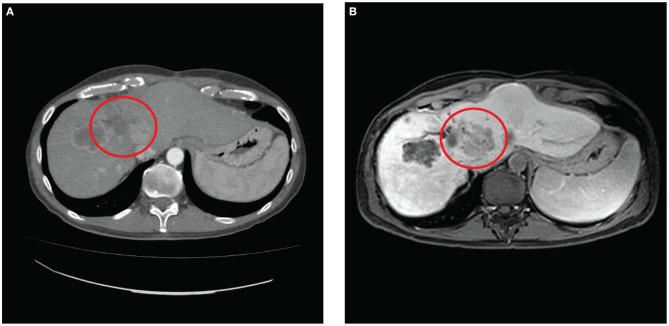
Cholangiocarcinoma (CCA) is the second most common primary tumor of the liver, and the recurrence after hepatic resection (HR), the only curative therapy, is linked with a worse prognosis. Systemic chemotherapy (SC) and liver loco-regional treatments, like trans-arterial chemoembolization (TACE) or radio embolization (TARE), have been employed for the treatment of unresectable intrahepatic metastasis (IM) with benefit on overall survival (OS), but SC has a limited effect on peritoneal metastasis (PM). In the last years, novel treatments like electrochemotherapy (ECT) with bleomycine (BLM) for IM and cytoreductive surgery with hyperthermic intraperitoneal chemotherapy (CRS and HIPEC) for PM have been applied in small series but with encouraging results. We hereby describe the first synchronous application of ECT and CRS and HIPEC for the treatment of a patient with IM and PM from CCA. A 47-year-old male patient with CCA underwent HR followed by adjuvant SC. After 14 months, for the occurrence of IM, the patient underwent a second HR and SC. Nonetheless, a new recurrence occurred and a third attempt of HR was proposed. Due to the intraoperative finding of unresectable IM with PM, no resective procedure was performed and the patient was referred to our center. CRS and HIPEC with cisplatin and mitomycin for PM and ECT with BLM on a bulky metastasis of the hepatic hilum were performed after 38 months from the first HR. The length of hospital stay was 19 days. At the computed tomography (CT) performed 11 days after treatment complete necrosis of the treated IM was detected. CT scan after 3 and 6 months and magnetic resonance after 9 months were performed. Necrosis of the treated IM nor PM but progression of the residual liver lesions was observed. After 3 months, the patient received SC and underwent TACE after 8 months and TARE after 9 months for the residual liver metastases. At 14 months from CRS and HIPEC, the patient is alive, in good condition, and with stability of the disease. The association of ECT and CRS and HIPEC could be safe and effective for the treatment of unresectable recurrent intrahepatic CCA with PM.

摘要

胆管癌(CCA)是肝脏第二常见的原发性肿瘤,肝切除(HR)作为唯一的根治性治疗方法,术后复发与预后较差相关。全身化疗(SC)以及肝局部区域治疗,如经动脉化疗栓塞术(TACE)或放射性栓塞术(TARE),已被用于治疗不可切除的肝内转移(IM),对总生存期(OS)有益,但SC对腹膜转移(PM)的疗效有限。近年来,新型治疗方法如用于IM的博来霉素(BLM)电化学疗法(ECT)以及用于PM的减瘤手术联合热灌注化疗(CRS和HIPEC)已在小样本中应用,但结果令人鼓舞。我们在此描述首例ECT与CRS及HIPEC同步应用于治疗一名患有CCA的IM和PM患者的情况。一名47岁的CCA男性患者接受了HR,随后进行辅助SC。14个月后,因出现IM,患者接受了第二次HR和SC。然而,又出现了新的复发,并提出进行第三次HR尝试。由于术中发现IM伴PM不可切除,未进行切除手术,患者被转诊至我们中心。在首次HR后的38个月,对PM进行了顺铂和丝裂霉素的CRS及HIPEC治疗,并对肝门部的一个巨大转移灶进行了BLM的ECT治疗。住院时间为19天。治疗后11天进行的计算机断层扫描(CT)显示,治疗的IM完全坏死。在3个月和6个月后进行了CT扫描,9个月后进行了磁共振检查。观察到治疗的IM和PM均无坏死,但残余肝脏病变进展。3个月后,患者接受了SC,8个月后进行了TACE,9个月后进行了TARE以治疗残余肝转移灶。在CRS和HIPEC后的14个月,患者存活,状况良好,疾病稳定。ECT与CRS及HIPEC联合应用对于治疗不可切除的复发性肝内CCA伴PM可能是安全有效的。

https://cdn.ncbi.nlm.nih.gov/pmc/blobs/e50a/8018578/324a44f2247a/fsurg-08-624817-g0001.jpg

文献AI研究员

20分钟写一篇综述,助力文献阅读效率提升50倍。

立即体验

用中文搜PubMed

大模型驱动的PubMed中文搜索引擎

马上搜索

文档翻译

学术文献翻译模型,支持多种主流文档格式。

立即体验