Suppr超能文献

多重突变重组抗胰蛋白酶的逐步逆转揭示了一种与M358R变体活性相当的凝血因子XIa选择性抑制剂。

Stepwise Reversion of Multiply Mutated Recombinant Antitrypsin Reveals a Selective Inhibitor of Coagulation Factor XIa as Active as the M358R Variant.

作者信息

Hamada Mostafa, Bhakta Varsha, Andres Sara N, Sheffield William P

机构信息

Department of Pathology and Molecular Medicine, McMaster University, Hamilton, ON, Canada.

Centre for Innovation, Canadian Blood Services, Hamilton, ON, Canada.

出版信息

Front Cardiovasc Med. 2021 Mar 19;8:647405. doi: 10.3389/fcvm.2021.647405. eCollection 2021.

Abstract

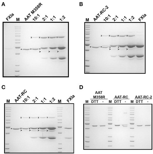
Alpha-1 antitrypsin (AAT, also known as alpha-1 proteinase inhibitor or SERPINA1) is the most abundant member of the serpin superfamily found in human plasma. The naturally occurring variant AAT M358R, altered at the P1 position of the critical reactive center loop (RCL), is re-directed away from inhibition of AAT's chief natural target, neutrophil elastase, and toward accelerated inhibition of thrombin (FIIa), kallikrein (Kal), and other proteases such as factor XIa (FXIa). FXIa is an emerging target for the development of antithrombotic agents, since patients with FXI deficiency are protected from thromboembolic disease and do not exhibit a strong bleeding tendency. Previously, we used phage display, bacterial lysate screening, and combinatorial mutagenesis to identify AAT-RC, an engineered AAT M358R with additional changes between RCL positions P7-P3', LEPS [with changes bolded and the P1-P1' (R358-S359) reactive center shown as R-S]. AAT-RC was 279- and 16-fold more selective for FXIa/IIa or FXIa/Kal than AAT M358R; the increased selectivity came at a cost of a 2.3-fold decrease in the rate of FXIa inhibition and a 3.3-fold increase in the stoichiometry of inhibition (SI). Here, we asked which alterations in AAT-RC were most important for the observed increases in selectivity for FXIa inhibition. We back-mutated AAT-RC to AAT-RC-1 (P7-P3' FLEPS), AAT-RC-2 (P7-P3' FLEAPS), and AAT RC-3 (P7-P3' FLEAIP-S). Proteins were expressed as cleavable, hexahistidine-tagged glutathione sulfotransferase fusion proteins in and purified by proteolytic elution from glutathione agarose, with polishing on nickel chelate agarose. Selectivity for FXIa over Kal of AAT-RC-1, -2, and -3 was 14, 21, and 2.3, respectively. AAT-RC-2 inhibited FXIa 31% more rapidly than AAT M358R, with the same SI, and enhanced selectivity for FXIa over Kal, FXa, FXIIa, activated protein C, and FIIa of 25-, 130-, 420-, 440-, and 470-fold, respectively. Structural modeling of the AAT-RC-2/FXIa encounter complex suggested that both E (Glu) substitutions at P3 and P3' may promote FXIa binding via hydrogen bonding to K192 in FXIa. AAT-RC-2 is the most selective and active AAT variant reported to date for FXIa inhibition and will be tested in animal models of thrombosis and bleeding.

摘要

α-1抗胰蛋白酶(AAT,也称为α-1蛋白酶抑制剂或SERPINA1)是在人血浆中发现的丝氨酸蛋白酶抑制剂超家族中最丰富的成员。天然存在的变体AAT M358R在关键反应中心环(RCL)的P1位置发生改变,不再抑制AAT的主要天然靶标中性粒细胞弹性蛋白酶,而是转向加速抑制凝血酶(FIIa)、激肽释放酶(Kal)和其他蛋白酶,如因子XIa(FXIa)。FXIa是抗血栓药物开发的一个新兴靶点,因为FXI缺乏症患者可免受血栓栓塞性疾病的影响,且没有强烈的出血倾向。此前,我们利用噬菌体展示、细菌裂解物筛选和组合诱变来鉴定AAT-RC,这是一种经过工程改造的AAT M358R,在RCL位置P7-P3'之间有额外的变化,即LEPS [变化部分加粗,P1-P1'(R358-S359)反应中心显示为R-S]。与AAT M358R相比,AAT-RC对FXIa/IIa或FXIa/Kal的选择性分别高279倍和16倍;选择性的提高是以FXIa抑制速率降低2.3倍和抑制化学计量比(SI)增加3.3倍为代价的。在这里,我们研究了AAT-RC中的哪些改变对于观察到的FXIa抑制选择性增加最为重要。我们将AAT-RC反向突变为AAT-RC-1(P7-P3' FLEPS)、AAT-RC-2(P7-P3' FLEAPS)和AAT RC-3(P7-P3' FLEAIP-S)。蛋白质以可裂解的、带有六聚组氨酸标签的谷胱甘肽硫转移酶融合蛋白形式在大肠杆菌中表达,并通过从谷胱甘肽琼脂糖上进行蛋白水解洗脱进行纯化,然后在镍螯合琼脂糖上进行精制。AAT-RC-1、-2和-3对FXIa相对于Kal的选择性分别为14、21和2.3。AAT-RC-2抑制FXIa的速度比AAT M358R快31%,SI相同,并且对FXIa相对于Kal、FXa、FXIIa、活化蛋白C和FIIa的选择性分别提高了25倍、130倍、420倍、440倍和470倍。AAT-RC-2/FXIa相遇复合物的结构模型表明,P3和P3'处的两个E(谷氨酸)取代可能通过与FXIa中的K192形成氢键来促进FXIa结合。AAT-RC-2是迄今为止报道的对FXIa抑制最具选择性和活性的AAT变体,将在血栓形成和出血的动物模型中进行测试。

https://cdn.ncbi.nlm.nih.gov/pmc/blobs/68d4/8017132/54fb8460b502/fcvm-08-647405-g0001.jpg

文献AI研究员

20分钟写一篇综述,助力文献阅读效率提升50倍。

立即体验

用中文搜PubMed

大模型驱动的PubMed中文搜索引擎

马上搜索

文档翻译

学术文献翻译模型,支持多种主流文档格式。

立即体验