Suppr超能文献

Histotripsy 治疗胆管细胞癌肝肿瘤:体内可行性和离体剂量学研究。

Histotripsy for the Treatment of Cholangiocarcinoma Liver Tumors: In Vivo Feasibility and Ex Vivo Dosimetry Study.

出版信息

IEEE Trans Ultrason Ferroelectr Freq Control. 2021 Sep;68(9):2953-2964. doi: 10.1109/TUFFC.2021.3073563. Epub 2021 Aug 27.

Abstract

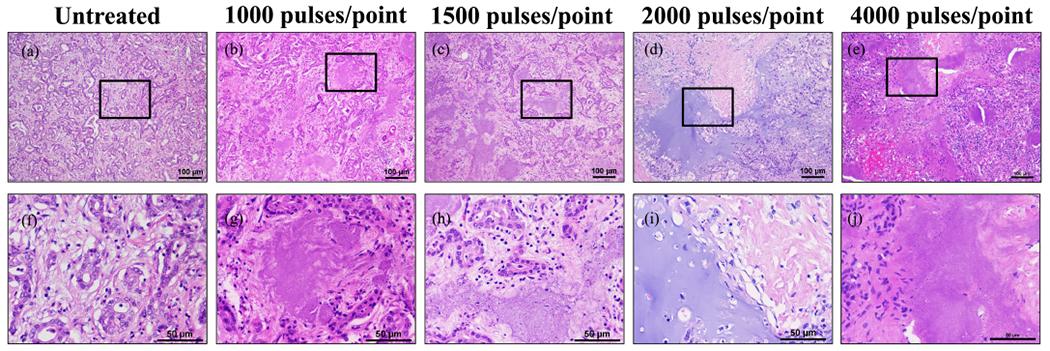
Histotripsy is a noninvasive, nonionizing, and nonthermal focused ultrasound ablation method that is currently being developed for the treatment of liver cancer. Promisingly, histotripsy has been shown for ablating primary [hepatocellular carcinoma (HCC)] and metastatic [colorectal liver metastasis (CLM)] liver tumors in preclinical and early clinical studies. The feasibility of treating cholangiocarcinoma (CC), a less common primary liver tumor that arises from the bile ducts, has not been explored previously. Given that prior work has established that histotripsy susceptibility is based on tissue mechanical properties, there is a need to explore histotripsy as a treatment for CC due to its dense fibrotic stromal components. In this work, we first investigated the feasibility of histotripsy for ablating CC tumors in vivo in a patient-derived xenograft mouse model. The results showed that histotripsy could generate CC tumor ablation using a 1-MHz small animal histotripsy system with treatment doses of 250, 500, and 1000 pulses/point. The second set of experiments compared the histotripsy doses required to ablate CC tumors to HCC and CLM tumors ex vivo. For this, human tumor samples were harvested after surgery and treated ex vivo with a 700-kHz clinical histotripsy transducer. Results demonstrated that significantly higher treatment doses were required to ablate CC and CLM tumors compared to HCC, with the highest treatment dose required for CC tumors. Overall, the results of this study suggest that histotripsy has the potential to be used for the ablation of CC tumors while also highlighting the need for tumor-specific treatment strategies.

摘要

histotripsy 是一种非侵入性、非电离、非热的聚焦超声消融方法,目前正在开发用于治疗肝癌。有希望的是,histotripsy 已被证明可在临床前和早期临床研究中消融原发性[肝细胞癌 (HCC)]和转移性[结直肠癌肝转移 (CLM)]肝肿瘤。以前没有探索过治疗胆管癌 (CC) 的可行性,胆管癌是一种较少见的原发性肝癌,起源于胆管。鉴于先前的工作已经确定了 histotripsy 的易感性基于组织力学特性,因此需要探索 histotripsy 作为治疗 CC 的一种方法,因为它具有致密的纤维性基质成分。在这项工作中,我们首先研究了在患者来源的异种移植小鼠模型中使用 1-MHz 小动物 histotripsy 系统进行 CC 肿瘤消融的可行性。结果表明,histotripsy 可以使用 1-MHz 小动物 histotripsy 系统产生 CC 肿瘤消融,治疗剂量为 250、500 和 1000 个脉冲/点。第二组实验比较了体外消融 CC 肿瘤所需的 histotripsy 剂量与 HCC 和 CLM 肿瘤。为此,在手术后从人体肿瘤样本中采集,并使用 700-kHz 临床 histotripsy 换能器进行体外处理。结果表明,与 HCC 相比,消融 CC 和 CLM 肿瘤所需的治疗剂量明显更高,而 CC 肿瘤所需的治疗剂量最高。总体而言,这项研究的结果表明,histotripsy 有可能用于消融 CC 肿瘤,同时也强调了需要针对肿瘤的治疗策略。

https://cdn.ncbi.nlm.nih.gov/pmc/blobs/2845/9297335/05d7e979d66e/nihms-1821487-f0001.jpg

文献AI研究员

20分钟写一篇综述,助力文献阅读效率提升50倍。

立即体验

用中文搜PubMed

大模型驱动的PubMed中文搜索引擎

马上搜索

文档翻译

学术文献翻译模型,支持多种主流文档格式。

立即体验