Suppr超能文献

新型冠状病毒2型感染后严重急性肌病:一例病例报告及近期文献综述

Severe acute myopathy following SARS-CoV-2 infection: a case report and review of recent literature.

作者信息

Islam Badrul, Ahmed Mohiuddin, Islam Zhahirul, Begum S M

机构信息

Laboratory Sciences and Services Division (LSSD), International Center for Diarrhoeal Disease Research, Bangladesh (icddr,b), Dhaka, Bangladesh.

Bangladesh Specialized Hospital, Dhaka, Bangladesh.

出版信息

Skelet Muscle. 2021 Apr 21;11(1):10. doi: 10.1186/s13395-021-00266-5.

Abstract

BACKGROUND

SARS-CoV2 virus could be potentially myopathic. Serum creatinine phosphokinase (CPK) is frequently found elevated in severe SARS-CoV2 infection, which indicates skeletal muscle damage precipitating limb weakness or even ventilatory failure.

CASE PRESENTATION

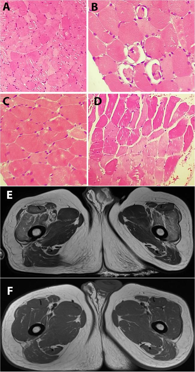
We addressed such a patient in his forties presented with features of severe SARS-CoV2 pneumonia and high serum CPK. He developed severe sepsis and acute respiratory distress syndrome (ARDS) and received intravenous high dose corticosteroid and tocilizumab to counter SARS-CoV2 associated cytokine surge. After 10 days of mechanical ventilation (MV), weaning was unsuccessful albeit apparently clear lung fields, having additionally severe and symmetric limb muscle weakness. Ancillary investigations in addition with serum CPK, including electromyogram, muscle biopsy, and muscle magnetic resonance imaging (MRI) suggested acute myopathy possibly due to skeletal myositis.

CONCLUSION

We wish to stress that myopathogenic medication in SARS-CoV2 pneumonia should be used with caution. Additionally, serum CPK could be a potential marker to predict respiratory failure in SARS-CoV2 pneumonia as skeletal myopathy affecting chest muscles may contribute ventilatory failure on top of oxygenation failure due to SARS-CoV2 pneumonia.

摘要

背景

严重急性呼吸综合征冠状病毒2(SARS-CoV2)病毒可能具有潜在的致肌病性。在严重的SARS-CoV2感染中,经常发现血清肌酸磷酸激酶(CPK)升高,这表明骨骼肌损伤会导致肢体无力甚至呼吸衰竭。

病例介绍

我们诊治了一名四十多岁的患者,他表现出严重的SARS-CoV2肺炎特征且血清CPK升高。他发展为严重脓毒症和急性呼吸窘迫综合征(ARDS),并接受了静脉注射大剂量皮质类固醇和托珠单抗以对抗SARS-CoV2相关的细胞因子风暴。在机械通气(MV)10天后,尽管肺部明显清晰,但脱机仍未成功,患者还存在严重且对称的肢体肌肉无力。除血清CPK外的辅助检查,包括肌电图、肌肉活检和肌肉磁共振成像(MRI)提示可能由于骨骼肌炎导致急性肌病。

结论

我们希望强调,SARS-CoV2肺炎中致肌病的药物应谨慎使用。此外,血清CPK可能是预测SARS-CoV2肺炎呼吸衰竭的潜在标志物,因为影响胸部肌肉的骨骼肌病可能在SARS-CoV2肺炎导致的氧合衰竭之外,进一步导致呼吸衰竭。

https://cdn.ncbi.nlm.nih.gov/pmc/blobs/bb4f/8059220/8b531419346e/13395_2021_266_Fig1_HTML.jpg

文献AI研究员

20分钟写一篇综述,助力文献阅读效率提升50倍。

立即体验

用中文搜PubMed

大模型驱动的PubMed中文搜索引擎

马上搜索

文档翻译

学术文献翻译模型,支持多种主流文档格式。

立即体验