Suppr超能文献

DNA损伤反应和JAK依赖的头颈部鳞状细胞癌(HNSCC)细胞中程序性死亡受体配体1(PD-L1)表达的调控,这些细胞暴露于5-氟尿嘧啶(5-FU)。

DNA damage response- and JAK-dependent regulation of PD-L1 expression in head and neck squamous cell carcinoma (HNSCC) cells exposed to 5-fluorouracil (5-FU).

作者信息

Lailler Claire, Lamuraglia Michele, Racine Floriane, Louandre Christophe, Godin Corinne, Chauffert Bruno, Galmiche Antoine, Saidak Zuzana

机构信息

Laboratoire de Biochimie, Centre de Biologie Humaine (CBH), CHU Sud, Amiens, France; UR7516 "CHIMERE", Université de Picardie Jules Verne, Amiens, France.

Laboratoire d'Imagerie Biomédicale (LIB), Sorbonne Université, CNRS, INSERM, Oncologie Médicale, CHU Sud, Amiens, France.

出版信息

Transl Oncol. 2021 Aug;14(8):101110. doi: 10.1016/j.tranon.2021.101110. Epub 2021 May 2.

Abstract

OBJECTIVES

The immune checkpoint molecule PD-L1 (CD274) is a crucial regulator of the tumor immune response. Its expression has been reported in the therapeutic context in Head and Neck Squamous Cell Carcinoma (HNSCC), but it remains unclear how therapeutically approved molecules regulate PD-L1 expression in HNSCC cells.

MATERIALS AND METHODS

Three HNSCC cell lines (BICR6, PE/CA-PJ34 and PE/CA-PJ41) were used to analyze PD-L1 expression by immunoblotting, immunofluorescence and QPCR. Freely-available single cell RNAseq data from HNSCC were also used.

RESULTS

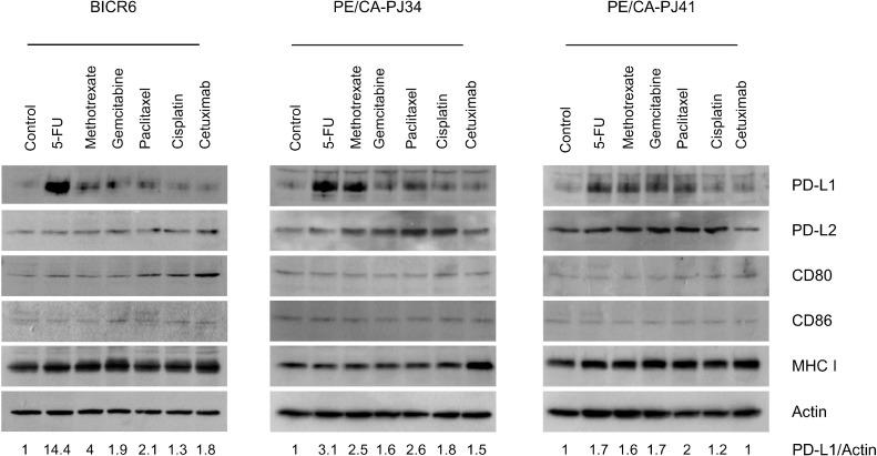
5-Fluorouracil (5-FU) increased the expression of PD-L1 with high efficacy in HNSCC cells. Single cell RNAseq data suggested the specificity of the regulation of PD-L1 in this context. The effect of 5-FU on PD-L1 expression was related to its genotoxic effect and was prevented by extracellular application of thymidine or using a chemical inhibitor of the DNA damage Response kinases ATM/ATR. We found that the effect of 5-FU was additive or synergistic with IFN-γ, the canonical inducer of PD-L1 in epithelial cells. QPCR analysis confirmed this finding and identified JAK-dependent transcriptional activation of PD-L1/CD274 as the underlying mechanism. The induction of PD-L1 by 5-FU was partially prevented by Epidermal Growth Factor Receptor (EGFR) inhibition with cetuximab.

CONCLUSION

Our study highlights the specific DNA Damage Response- and JAK- dependent induction of PD-L1 by 5-FU in HNSCC cells. This induction is regulated by the cytokine context and is potentially therapeutically actionable.

摘要

目的

免疫检查点分子程序性死亡配体1(PD-L1,即CD274)是肿瘤免疫反应的关键调节因子。其在头颈部鳞状细胞癌(HNSCC)治疗方面的表达已有报道,但治疗上已获批准的分子如何调节HNSCC细胞中PD-L1的表达仍不清楚。

材料与方法

使用三种HNSCC细胞系(BICR6、PE/CA-PJ34和PE/CA-PJ41)通过免疫印迹、免疫荧光和定量聚合酶链反应(QPCR)分析PD-L1的表达。还使用了来自HNSCC的可免费获取的单细胞RNA测序数据。

结果

5-氟尿嘧啶(5-FU)在HNSCC细胞中高效增加了PD-L1的表达。单细胞RNA测序数据表明在此背景下PD-L1调节具有特异性。5-FU对PD-L1表达的影响与其基因毒性作用有关,通过细胞外应用胸苷或使用DNA损伤反应激酶ATM/ATR的化学抑制剂可阻止这种影响。我们发现5-FU的作用与γ干扰素(IFN-γ,上皮细胞中PD-L1的典型诱导剂)具有相加或协同作用。QPCR分析证实了这一发现,并确定PD-L1/CD274的JAK依赖性转录激活为潜在机制。用西妥昔单抗抑制表皮生长因子受体(EGFR)可部分阻止5-FU诱导的PD-L1表达。

结论

我们的研究强调了5-FU在HNSCC细胞中通过特定的DNA损伤反应和JAK依赖性诱导PD-L1表达。这种诱导受细胞因子背景调节,并且可能具有治疗可操作性。

https://cdn.ncbi.nlm.nih.gov/pmc/blobs/6421/8111315/121c02200fd6/gr1.jpg

文献AI研究员

20分钟写一篇综述,助力文献阅读效率提升50倍。

立即体验

用中文搜PubMed

大模型驱动的PubMed中文搜索引擎

马上搜索

文档翻译

学术文献翻译模型,支持多种主流文档格式。

立即体验