Suppr超能文献

E3 连接酶 TRIM25 泛素化 RIP3 以抑制 TNF 诱导的细胞坏死。

E3 ligase TRIM25 ubiquitinates RIP3 to inhibit TNF induced cell necrosis.

机构信息

State Key Laboratory of Genetic Engineering, Department of Neurology, School of Life Sciences and Huashan Hospital, MOE Engineering Research Center of Gene Technology, Shanghai Engineering Research Center of Industrial Microorganisms, Fudan University, Shanghai, 200438, China.

State Key Laboratory of Genetic Engineering, School of Life Sciences, Fudan University, Shanghai, 200438, China.

出版信息

Cell Death Differ. 2021 Oct;28(10):2888-2899. doi: 10.1038/s41418-021-00790-3. Epub 2021 May 5.

Abstract

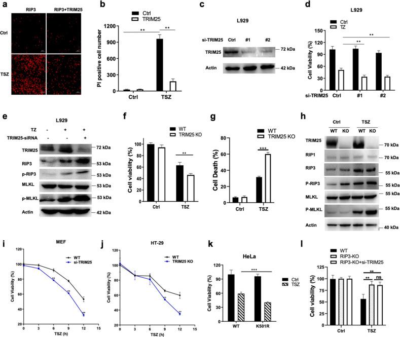
Receptor interacting protein kinase 3 (RIP3 or RIPK3), the critical executor of cell programmed necrosis, plays essential roles in maintaining immune responses and appropriate tissue homeostasis. Although the E3 ligases CHIP and PELI1 are reported to promote RIP3 degradation, however, how post-translational modification regulates RIP3 activity and stability is poorly understood. Here, we identify the tripartite motif protein TRIM25 as a negative regulator of RIP3-dependent necrosis. TRIM25 directly interacts with RIP3 through its SPRY domain and mediates the K48-linked polyubiquitination of RIP3 on residue K501. The RING domain of TRIM25 facilitates the polyubiquitination chain on RIP3, thereby promoting proteasomal degradation of RIP3. Also, TRIM25 deficiency inhibited the ubiquitination of RIP3, thus promoting TNF-induced cell necrosis. Our current finding reveals the regulating mechanism of polyubiquitination on RIP3, which might be a potential therapeutic target for the intervention of RIP3-dependent necrosis-related diseases.

摘要

受体相互作用蛋白激酶 3(RIP3 或 RIPK3)是细胞程序性坏死的关键执行者,在维持免疫反应和适当的组织动态平衡方面发挥着重要作用。尽管已经报道 E3 连接酶 CHIP 和 PELI1 可促进 RIP3 的降解,但人们对翻译后修饰如何调节 RIP3 的活性和稳定性知之甚少。在这里,我们发现三结构域蛋白 TRIM25 是 RIP3 依赖性坏死的负调控因子。TRIM25 通过其 SPRY 结构域直接与 RIP3 相互作用,并介导 RIP3 在残基 K501 上的 K48 连接多泛素化。TRIM25 的 RING 结构域促进 RIP3 上的多泛素化链,从而促进 RIP3 的蛋白酶体降解。此外,TRIM25 缺陷抑制了 RIP3 的泛素化,从而促进了 TNF 诱导的细胞坏死。我们目前的发现揭示了 RIP3 多泛素化的调节机制,这可能是干预 RIP3 依赖性坏死相关疾病的潜在治疗靶点。

https://cdn.ncbi.nlm.nih.gov/pmc/blobs/69f7/8481267/351ff2da79d2/41418_2021_790_Fig1_HTML.jpg

文献AI研究员

20分钟写一篇综述,助力文献阅读效率提升50倍。

立即体验

用中文搜PubMed

大模型驱动的PubMed中文搜索引擎

马上搜索

文档翻译

学术文献翻译模型,支持多种主流文档格式。

立即体验