Suppr超能文献

柑橘中的纯总黄酮通过促进自噬来预防非甾体抗炎药引起的小肠损伤。

Pure Total Flavonoids From Citrus Protect Against Nonsteroidal Anti-inflammatory Drug-Induced Small Intestine Injury by Promoting Autophagy and .

作者信息

Chen Shanshan, Jiang Jianping, Chao Guanqun, Hong Xiaojie, Cao Haijun, Zhang Shuo

机构信息

First Affiliated Hospital, Zhejiang Chinese Medical University, Zhejiang, China.

Department of Pharmacy, School of Medicine, Zhejiang University City College, Zhejiang, China.

出版信息

Front Pharmacol. 2021 Apr 19;12:622744. doi: 10.3389/fphar.2021.622744. eCollection 2021.

Abstract

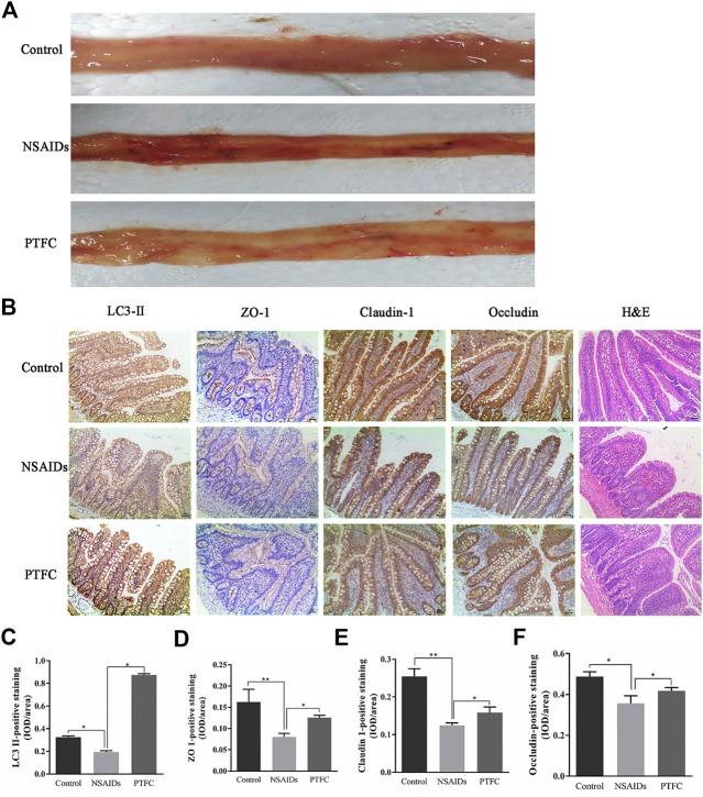
Small intestine injury is an adverse effect of non-steroidal anti-inflammatory drugs (NSAIDs) that urgently needs to be addressed for their safe application. Although pure total flavonoids from citrus (PTFC) have been marketed for the treatment of digestive diseases, their effects on small intestine injury and the underlying mechanism of action remain unknown. This study aimed to investigate the potential role of autophagy in the mechanism of NSAID (diclofenac)-induced intestinal injury and and to demonstrate the protective effects of PTFC against NSAID-induced small intestine disease. The results of qRT-PCR, western blotting, and immunohistochemistry showed that the expression levels of autophagy-related 5 (Atg5), light chain 3 (LC3)-II, and tight junction (TJ) proteins ZO-1, claudin-1, and occludin were decreased in rats with NSAID-induced small intestine injury and diclofenac-treated IEC-6 cells compared with the control groups. In the PTFC group, Atg5 and LC3-II expression, TJ protein expression, and the LC3-II/LC3-I ratio increased. Furthermore, the mechanism by which PTFC promotes autophagy and was evaluated by western blotting. Expression levels of p-PI3K and p-Akt increased in the intestine disease-induced rat model group compared with the control, but decreased in the PTFC group. Autophagy of IEC-6 cells was upregulated after treatment with a PI3K inhibitor, and the upregulation was significantly more after PTFC treatment, suggesting PTFC promoted autophagy through the PI3K/Akt signaling pathway. In conclusion, PTFC protected intestinal barrier integrity by promoting autophagy, which demonstrates its potential as a therapeutic candidate for NSAID-induced small intestine injury.

摘要

小肠损伤是非甾体抗炎药(NSAIDs)的一种不良反应,其安全应用迫切需要解决。尽管柑橘纯总黄酮(PTFC)已上市用于治疗消化系统疾病,但其对小肠损伤的影响及潜在作用机制尚不清楚。本研究旨在探讨自噬在NSAID(双氯芬酸)诱导的肠道损伤机制中的潜在作用,并证明PTFC对NSAID诱导的小肠疾病的保护作用。qRT-PCR、蛋白质免疫印迹和免疫组织化学结果显示,与对照组相比,NSAID诱导的小肠损伤大鼠和双氯芬酸处理的IEC-6细胞中自噬相关5(Atg5)、轻链3(LC3)-II以及紧密连接(TJ)蛋白ZO-1、闭合蛋白-1和闭合蛋白的表达水平降低。在PTFC组中,Atg5和LC3-II表达、TJ蛋白表达以及LC3-II/LC3-I比值增加。此外,通过蛋白质免疫印迹评估了PTFC促进自噬的机制。与对照组相比,肠道疾病诱导的大鼠模型组中p-PI3K和p-Akt表达水平升高,但在PTFC组中降低。用PI3K抑制剂处理后IEC-6细胞的自噬上调,PTFC处理后上调更显著,表明PTFC通过PI3K/Akt信号通路促进自噬。总之,PTFC通过促进自噬保护肠道屏障完整性,这证明了其作为NSAID诱导的小肠损伤治疗候选药物的潜力。

https://cdn.ncbi.nlm.nih.gov/pmc/blobs/5fed/8090934/79eec2852108/fphar-12-622744-g001.jpg

文献AI研究员

20分钟写一篇综述,助力文献阅读效率提升50倍。

立即体验

用中文搜PubMed

大模型驱动的PubMed中文搜索引擎

马上搜索

文档翻译

学术文献翻译模型,支持多种主流文档格式。

立即体验