Suppr超能文献

羊膜与双相磷酸钙在骨内缺损引导组织再生中的临床疗效——一项随机对照临床试验

Clinical efficacy of amniotic membrane with biphasic calcium phosphate in guided tissue regeneration of intrabony defects- a randomized controlled clinical trial.

作者信息

Venkatesan Nivedha, Lavu Vamsi, Balaji S K

机构信息

Department of Periodontology, Sri Ramachandra Institute of Higher Education and Research, Chennai, India.

出版信息

Biomater Res. 2021 May 6;25(1):15. doi: 10.1186/s40824-021-00217-7.

Abstract

BACKGROUND

The concept of periodontal regeneration has been revolutionised since the introduction of growth factors and bioactive bone substitutes which ensures optimal regeneration of the diseased periodontium. The aim of the present study was to evaluate the efficacy of Amniotic membrane + Biphasic Calcium phosphate as compared to Collagen membrane + Biphasic Calcium phosphate for the management of periodontal intrabony defects.

METHODS

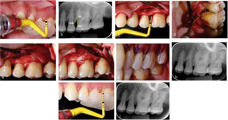
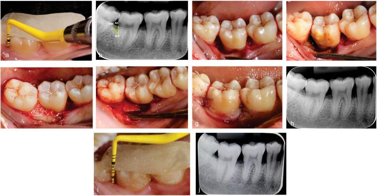
50 systemically healthy patients with localised moderate to severe periodontitis, sites which had a Probing Pocket Depth (PPD) ≥ 6 mm and an intrabony component of ≥ 3 mm as detected on Intra oral periapical radiographs (IOPAR) and bone sounding were recruited based on specific inclusion and exclusion criteria. They were randomly allocated by computer generated tables to Collagen membrane + Biphasic Calcium phosphate and Amniotic membrane + Biphasic Calcium phosphate groups. The amount of bone fill and changes in Probing Pocket Depth, Clinical Attachment Level were measured at baseline and six months.

RESULTS

The results of the present study showed a mean reduction in the PPD of 2.89 ± 0.69 mm in the Collagen membrane + Biphasic Calcium phosphate group and 2.95 ± 0.57 mm in the Amniotic membrane + Biphasic Calcium phosphate group and CAL gain of 2.60 ± 1.43 mm in Collagen membrane + Biphasic Calcium phosphate group 3.18 ± 1.13 mm in the Amniotic membrane + Biphasic Calcium phosphate group at 6 months follow-up with no statistical significance between the groups. In terms of Defect resolution, 98.62 ± 6.51 % was achieved in Collagen membrane + Biphasic Calcium phosphate group and 98.25 ± 7.21 % in Amniotic membrane + Biphasic Calcium phosphate group.

CONCLUSIONS

Within the limitations of the present study, it can be concluded that AM can be used as a barrier membrane, in conjunction with Biphasic calcium phosphate, and provides comparable results to Collagen membrane with Biphasic calcium phosphate when used in the management of periodontal intrabony defects.

摘要

背景

自生长因子和生物活性骨替代物引入以来,牙周再生的概念发生了革命性变化,这确保了患病牙周组织的最佳再生。本研究的目的是评估羊膜+双相磷酸钙与胶原膜+双相磷酸钙治疗牙周骨内缺损的疗效。

方法

根据特定的纳入和排除标准,招募50例全身健康的局限性中度至重度牙周炎患者,这些部位在口腔根尖片(IOPAR)和骨探测中检测到探诊袋深度(PPD)≥6mm且骨内成分≥3mm。通过计算机生成的表格将他们随机分配到胶原膜+双相磷酸钙组和羊膜+双相磷酸钙组。在基线和6个月时测量骨填充量、探诊袋深度变化、临床附着水平。

结果

本研究结果显示,胶原膜+双相磷酸钙组PPD平均降低2.89±0.69mm,羊膜+双相磷酸钙组PPD平均降低2.95±0.57mm;胶原膜+双相磷酸钙组6个月随访时临床附着水平增加2.60±1.43mm,羊膜+双相磷酸钙组增加3.18±1.13mm,两组间无统计学意义。在缺损修复方面,胶原膜+双相磷酸钙组达到98.62±6.51%,羊膜+双相磷酸钙组达到98.25±7.21%。

结论

在本研究的局限性范围内,可以得出结论,羊膜可作为屏障膜与双相磷酸钙联合使用,在治疗牙周骨内缺损时,与胶原膜联合双相磷酸钙的效果相当。

https://cdn.ncbi.nlm.nih.gov/pmc/blobs/3578/8101164/70bf30418a2d/40824_2021_217_Fig1_HTML.jpg

文献AI研究员

20分钟写一篇综述,助力文献阅读效率提升50倍。

立即体验

用中文搜PubMed

大模型驱动的PubMed中文搜索引擎

马上搜索

文档翻译

学术文献翻译模型,支持多种主流文档格式。

立即体验