Suppr超能文献

胰岛素抵抗中的肾脏糖异生:糖尿病高血糖的罪魁祸首。

Renal gluconeogenesis in insulin resistance: A culprit for hyperglycemia in diabetes.

作者信息

Sharma Rajni, Tiwari Swasti

机构信息

Department of Molecular Medicine and Biotechnology, Sanjay Gandhi Postgraduate Institute of Medical Sciences, Lucknow 226014, India.

出版信息

World J Diabetes. 2021 May 15;12(5):556-568. doi: 10.4239/wjd.v12.i5.556.

Abstract

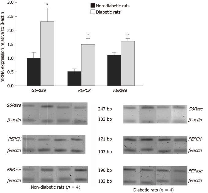
Renal gluconeogenesis is one of the major pathways for endogenous glucose production. Impairment in this process may contribute to hyperglycemia in cases with insulin resistance and diabetes. We reviewed pertinent studies to elucidate the role of renal gluconeogenesis regulation in insulin resistance and diabetes. A consensus on the suppressive effect of insulin on kidney gluconeogenesis has started to build up. Insulin-resistant models exhibit reduced insulin receptor (IR) expression and/or post-receptor signaling in their kidney tissue. Reduced IR expression or post-receptor signaling can cause impairment in insulin's action on kidneys, which may increase renal gluconeogenesis in the state of insulin resistance. It is now established that the kidney contributes up to 20% of all glucose production gluconeogenesis in the post-absorptive phase. However, the rate of renal glucose release excessively increases in diabetes. The rise in renal glucose release in diabetes may contribute to fasting hyperglycemia and increased postprandial glucose levels. Enhanced glucose release by the kidneys and renal expression of the gluconeogenic-enzyme in diabetic rodents and humans further point towards the significance of renal gluconeogenesis. Overall, the available literature suggests that impairment in renal gluconeogenesis in an insulin-resistant state may contribute to hyperglycemia in type 2 diabetes.

摘要

肾糖异生是内源性葡萄糖生成的主要途径之一。在胰岛素抵抗和糖尿病患者中,这一过程的受损可能导致高血糖。我们回顾了相关研究,以阐明肾糖异生调节在胰岛素抵抗和糖尿病中的作用。关于胰岛素对肾脏糖异生的抑制作用已开始形成共识。胰岛素抵抗模型在其肾脏组织中表现出胰岛素受体(IR)表达和/或受体后信号传导减少。IR表达减少或受体后信号传导受损可导致胰岛素对肾脏作用的损害,这可能会在胰岛素抵抗状态下增加肾糖异生。现已确定,在吸收后阶段,肾脏对所有葡萄糖生成(糖异生)的贡献高达20%。然而,在糖尿病中,肾脏葡萄糖释放速率过度增加。糖尿病中肾脏葡萄糖释放的增加可能导致空腹高血糖和餐后血糖水平升高。糖尿病啮齿动物和人类中肾脏葡萄糖释放增强以及糖异生酶的肾脏表达进一步表明了肾糖异生的重要性。总体而言,现有文献表明,胰岛素抵抗状态下肾糖异生受损可能导致2型糖尿病患者出现高血糖。

https://cdn.ncbi.nlm.nih.gov/pmc/blobs/aa6b/8107972/45b5e2453b7a/WJD-12-556-g001.jpg

文献AI研究员

20分钟写一篇综述,助力文献阅读效率提升50倍。

立即体验

用中文搜PubMed

大模型驱动的PubMed中文搜索引擎

马上搜索

文档翻译

学术文献翻译模型,支持多种主流文档格式。

立即体验