Suppr超能文献

公猪精子富含半胱氨酸分泌蛋白2(CRISP2)与精子受精能力及繁殖力之间关系的研究

Investigation Into the Relationship Between Sperm Cysteine-Rich Secretory Protein 2 (CRISP2) and Sperm Fertilizing Ability and Fertility of Boars.

作者信息

Gao Fenglei, Wang Ping, Wang Kai, Fan Yushan, Chen Yuming, Chen Yun, Ye Chao, Feng Meiying, Li Li, Zhang Shouquan, Wei Hengxi

机构信息

Guangdong Provincial Key Lab of Agro-animal Genomics and Molecular Breeding, National Engineering Research Center for Breeding Swine Industry, College of Animal Science, South China Agricultural University, Guangzhou, China.

Department of Tropical Agriculture and Forestry, College of Guangdong Agriculture Industry Business Polytechnic, Guangzhou, China.

出版信息

Front Vet Sci. 2021 Apr 30;8:653413. doi: 10.3389/fvets.2021.653413. eCollection 2021.

Abstract

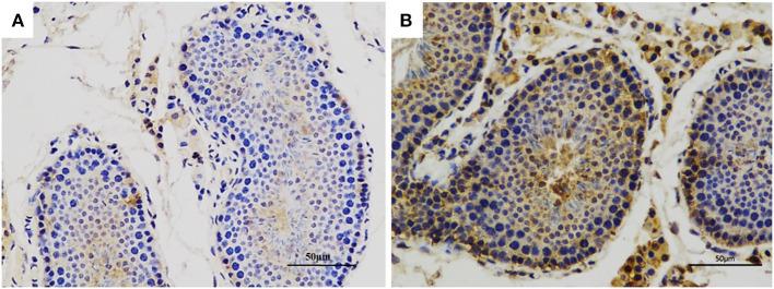
The proteins in the seminal plasma and on the sperm surface play important roles in sperm function and numerous reproductive processes. The cysteine-rich secretory proteins (CRISPs) are enriched biasedly in the male reproductive tract of mammals, and CRISP2 is the sole member of CRISPs produced during spermatogenesis; whereas the role of CRISP2 in fertilization and its association with fertility of boars are still unclear. This study aimed to investigate the relationship between the sperm CRISP2 and boar fertility, and explore its impact sperm fertilizing ability. The levels of CRISP2 protein in sperm were quantified by ELISA; correlation analysis was performed to evaluate the association between CRISP2 protein levels and boar reproductive parameters. Meanwhile, the expression of CRISP2 in boar reproductive organs and sperm, and the effects of CRISP2 on fertilization (IVF) were examined. The results showed that boars with high sperm levels of CRISP2 had high fertility. The protein levels of CRISP2 in sperm were positively correlated with the litter size ( = 0.412, = 0.026), the number of live-born piglets ( = 0.421, = 0.023) and the qualified piglets per litter ( = 0.381, = 0.042). CRISP2 is specifically expressed in the testis and sperm of adult boars, and its location on sperm changed mainly from the post-acrosomal region to the apical segment of acrosome during capacitation. The cleavage rate was significantly decreased by adding the anti-CRISP2 antibody to the IVF medium, which indicates CRISP2 plays a critical role in fertilization. In conclusion, CRISP2 protein is specifically expressed in the adult testis and sperm and is associated with sperm fertilizing ability and boar fertility. Further mechanistic studies are warranted, in order to fully decipher the role of CRISP2 in the boar reproduction.

摘要

精浆和精子表面的蛋白质在精子功能及众多生殖过程中发挥着重要作用。富含半胱氨酸的分泌蛋白(CRISPs)在哺乳动物雄性生殖道中呈偏向性富集,而CRISP2是精子发生过程中产生的CRISPs的唯一成员;然而,CRISP2在受精过程中的作用及其与公猪生育力的关系仍不清楚。本研究旨在探讨精子CRISP2与公猪生育力之间的关系,并探究其对精子受精能力的影响。通过酶联免疫吸附测定法(ELISA)对精子中CRISP2蛋白水平进行定量;进行相关性分析以评估CRISP2蛋白水平与公猪生殖参数之间的关联。同时,检测了CRISP2在公猪生殖器官和精子中的表达情况,以及CRISP2对体外受精(IVF)的影响。结果表明,精子中CRISP2水平高的公猪生育力高。精子中CRISP2的蛋白水平与产仔数(r = 0.412,P = 0.026)、活产仔猪数(r = 0.421,P = 0.023)和每窝合格仔猪数(r = 0.381,P = 0.042)呈正相关。CRISP2在成年公猪的睾丸和精子中特异性表达,在获能过程中其在精子上的定位主要从顶体后区域转变为顶体顶端段。向体外受精培养基中添加抗CRISP2抗体后,卵裂率显著降低,这表明CRISP2在受精过程中起关键作用。总之,CRISP2蛋白在成年睾丸和精子中特异性表达,与精子受精能力和公猪生育力相关。有必要进行进一步的机制研究,以全面解读CRISP2在公猪繁殖中的作用。

https://cdn.ncbi.nlm.nih.gov/pmc/blobs/66a5/8119884/f8ca0d8d426a/fvets-08-653413-g0001.jpg

文献AI研究员

20分钟写一篇综述,助力文献阅读效率提升50倍。

立即体验

用中文搜PubMed

大模型驱动的PubMed中文搜索引擎

马上搜索

文档翻译

学术文献翻译模型,支持多种主流文档格式。

立即体验