Suppr超能文献

丝氨酸蛋白酶抑制剂B1a抑制破骨细胞形成。

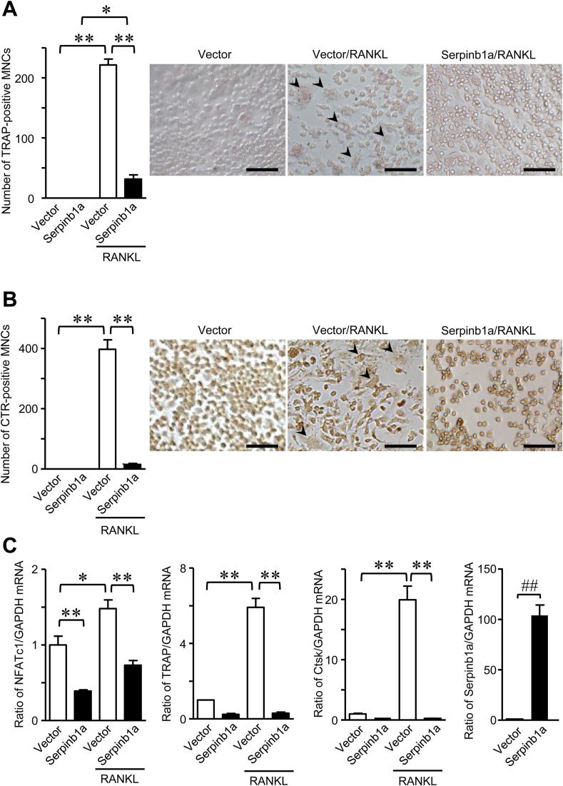
Serpinb1a suppresses osteoclast formation.

作者信息

Ishida Masayoshi, Kawao Naoyuki, Mizukami Yuya, Takafuji Yoshimasa, Kaji Hiroshi

机构信息

Department of Physiology and Regenerative Medicine, Kindai University Faculty of Medicine, 377-2 Ohnohigashi, Osakasayama, Osaka, 589-8511, Japan.

出版信息

Biochem Biophys Rep. 2021 Apr 26;26:101004. doi: 10.1016/j.bbrep.2021.101004. eCollection 2021 Jul.

Abstract

Serpinb1a, a serine protease inhibitor family protein, has been implicated in immunoregulation and several metabolic disorders, such as diabetes and obesity; however, its roles in bone remain unknown. Therefore, we herein investigated the physiological functions of Serpinb1a in osteoclastic and osteoblastic differentiation using mouse cell lines. Serpinb1a overexpression markedly reduced the number of tartrate-resistant acid phosphatase (TRAP)- and calcitonin receptor-positive multinucleated cells increased by receptor activator nuclear factor κB ligand (RANKL) in mouse preosteoclastic RAW 264.7 cells. Moreover, it significantly decreased the mRNA levels of nuclear factor of activated T-cells, cytoplasmic 1 (NFATc1), TRAP and cathepsin K in these cells. Regarding osteoblasts, Serpinb1a overexpression significantly reduced the mRNA levels of alkaline phosphatase (ALP) and osteocalcin as well as ALP activity induced by bone morphogenetic protein-2 (BMP-2) in mouse mesenchymal ST2 cells, although it did not alter osteoblast differentiation in mouse osteoblastic MC3T3-E1 cells. Concerning the pathophysiological relevance of Serpinb1a, Serpinb1a mRNA levels were decreased in the soleus and gastrocnemius muscles of mice 4 weeks after bilateral sciatic nerve resection. In conclusion, we herein revealed for the first time that Serpinb1a inhibited osteoclast formation induced by RANKL in RAW 264.7 cells and suppressed BMP-2-induced ALP activity in ST2 cells.

摘要

丝氨酸蛋白酶抑制剂家族蛋白Serpinb1a与免疫调节以及多种代谢紊乱有关,如糖尿病和肥胖症;然而,其在骨骼中的作用尚不清楚。因此,我们在此使用小鼠细胞系研究了Serpinb1a在破骨细胞和成骨细胞分化中的生理功能。在小鼠前破骨细胞RAW 264.7细胞中,Serpinb1a过表达显著减少了由核因子κB受体活化因子配体(RANKL)诱导增加的抗酒石酸酸性磷酸酶(TRAP)和降钙素受体阳性多核细胞的数量。此外,它还显著降低了这些细胞中活化T细胞核因子细胞质1(NFATc1)、TRAP和组织蛋白酶K的mRNA水平。对于成骨细胞,Serpinb1a过表达显著降低了小鼠间充质ST2细胞中碱性磷酸酶(ALP)和骨钙素的mRNA水平以及骨形态发生蛋白2(BMP-2)诱导的ALP活性,尽管它没有改变小鼠成骨细胞MC3T3-E1细胞的成骨细胞分化。关于Serpinb1a的病理生理相关性,双侧坐骨神经切除4周后小鼠比目鱼肌和腓肠肌中Serpinb1a的mRNA水平降低。总之,我们首次揭示Serpinb1a在RAW 264.7细胞中抑制RANKL诱导的破骨细胞形成,并在ST2细胞中抑制BMP-2诱导的ALP活性。

https://cdn.ncbi.nlm.nih.gov/pmc/blobs/b10c/8100536/d5b4e0abd399/gr1.jpg

文献AI研究员

20分钟写一篇综述,助力文献阅读效率提升50倍。

立即体验

用中文搜PubMed

大模型驱动的PubMed中文搜索引擎

马上搜索

文档翻译

学术文献翻译模型,支持多种主流文档格式。

立即体验