Suppr超能文献

己酮可可碱通过抑制氧化应激和上调PI3K/AKT通路来提高睾丸扭转-复位小鼠模型中生精细胞的存活率。

Pentoxifylline improves the survival of spermatogenic cells via oxidative stress suppression and upregulation of PI3K/AKT pathway in mouse model of testicular torsion-detorsion.

作者信息

Dhulqarnain Akanji Omotosho, Takzaree Nasrin, Hassanzadeh Golamreza, Tooli Heidar, Malekzadeh Mehrnoush, Khanmohammadi Nasrin, Yaghobinejad Mahsa, Solhjoo Somayeh, Rastegar Tayebeh

机构信息

Department of Anatomy, School of Medicine, International Campus, Tehran University of Medical Sciences, Tehran, Iran.

Department of Anatomy, School of Medicine, Tehran University of Medical Sciences, Tehran, Iran.

出版信息

Heliyon. 2021 Apr 23;7(4):e06868. doi: 10.1016/j.heliyon.2021.e06868. eCollection 2021 Apr.

Abstract

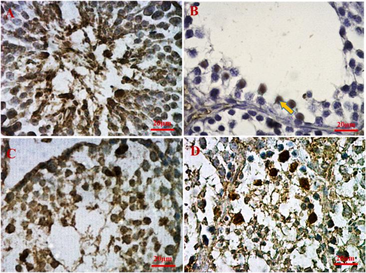
Testicular torsion-detorsion results in enhanced formation of free radicals which contribute to the pathophysiology of testicular tissue damage. Recent reports have identified protective role of pentoxifylline (PTX) against free radicals. Thus, we determined the protective effect of pentoxifylline against testicular damage in mouse model of testicular torsion-detorsion. Twenty (6 weeks old) male mice were divided into 4 groups of 5 animals each namely: Control (sham operated group), T1 (Torsion-detosion + single dose 100 mg/kg PTX, T2 (torsion-detorsion + 20 mg/kg PTX for 2 weeks and T/D (torsion-detorsion only). Animals in T1, T2 and T/D groups underwent 2 h of testicular torsion with the left testes rotated 720° (clockwisely) followed by 30 min of detorsion. After detorsion, drug administration was done intraperitoneally. The left testes of all the animals were excised on the 35th day after torsion-detortion for histopathological and biochemical assay. Histomorphological analysis of the seminiferous tubules showed that there were significant increase (P < 0.01 or 0.05) in the mean seminiferous tubule diameter, Johnson score and germ cells of animals in Control and T1 compared to T2 and T/D with no significant difference (P > 0.05) in testes weight, sertoli, leydig and myoid cells in all groups. IHC results showed significant increase (P < 0.01 or 0.05) in id4 and scp3 protein markers in Control, T1 and T2 compared to T/D. Oxidative stress analysis revealed that Pentoxifylline significantly increased (P < 0.01 or 0.05) the level of SOD, catalase, mRNA expression of akt and pi3k genes but significantly suppress (P < 0.01 or 0.05) MDA and Caspase-3 level in Control, T1 and T2 compared to T/D. Pentoxifylline could be used as an adjunct therapy to surgery in the treatment of torsion-detorsion related testicular injury, However, Further studies are needed to evaluate the effects of pentoxifylline on testicular torsion.

摘要

睾丸扭转复位会导致自由基生成增加,这会促使睾丸组织损伤的病理生理过程发展。最近的报告已证实己酮可可碱(PTX)对自由基具有保护作用。因此,我们在睾丸扭转复位小鼠模型中确定了己酮可可碱对睾丸损伤的保护作用。将20只(6周龄)雄性小鼠分为4组,每组5只,分别为:对照组(假手术组)、T1组(扭转复位 + 单剂量100 mg/kg PTX)、T2组(扭转复位 + 20 mg/kg PTX,持续2周)和T/D组(仅扭转复位)。T1、T2和T/D组的动物进行2小时的睾丸扭转,左侧睾丸顺时针旋转720°,随后进行30分钟的复位。复位后,通过腹腔注射给药。在扭转复位后第35天切除所有动物的左侧睾丸,进行组织病理学和生化分析。曲细精管的组织形态学分析表明,与T2组和T/D组相比,对照组和T1组动物的曲细精管平均直径、约翰逊评分和生殖细胞均显著增加(P < 0.01或0.05),而所有组的睾丸重量、支持细胞、间质细胞和平滑肌样细胞均无显著差异(P > 0.05)。免疫组化结果显示,与T/D组相比,对照组、T1组和T2组的id4和scp3蛋白标志物显著增加(P < 0.01或0.05)。氧化应激分析显示,与T/D组相比,己酮可可碱显著提高了对照组、T1组和T2组的超氧化物歧化酶(SOD)、过氧化氢酶水平以及akt和pi3k基因的mRNA表达,但显著抑制了丙二醛(MDA)和半胱天冬酶-3水平(P < 0.01或0.05)。己酮可可碱可作为手术的辅助治疗手段用于治疗与扭转复位相关的睾丸损伤。然而,需要进一步研究来评估己酮可可碱对睾丸扭转的影响。

https://cdn.ncbi.nlm.nih.gov/pmc/blobs/26f5/8095127/2ed169834e95/gr1.jpg

文献AI研究员

20分钟写一篇综述,助力文献阅读效率提升50倍。

立即体验

用中文搜PubMed

大模型驱动的PubMed中文搜索引擎

马上搜索

文档翻译

学术文献翻译模型,支持多种主流文档格式。

立即体验