Suppr超能文献

癌相关成纤维细胞分泌的 miR-103a-3p 抑制非小细胞肺癌细胞凋亡并促进顺铂耐药。

Cancer-associated fibroblasts secreted miR-103a-3p suppresses apoptosis and promotes cisplatin resistance in non-small cell lung cancer.

机构信息

Third Ward of Oncology Department, The First Affiliated Hospital of Xinxiang Medical University, Weihui 453100, Henan, China.

Respiratory Ward 2, The First Affiliated Hospital of Xinxiang Medical University, Weihui 453100, Henan, China.

出版信息

Aging (Albany NY). 2021 May 17;13(10):14456-14468. doi: 10.18632/aging.103556.

Abstract

BACKGROUND

The cisplatin resistance of non-small cell lung cancer (NSCLC) patients results in low response rate and overall survival rate. Exosomes contribute to pathological processes of multiple cancers.

OBJECTIVE

In this study, we explored the function and mechanisms of exosomal miR-103a-3p derived from cancer-associated fibroblast (CAF) in cisplatin resistance in NSCLC.

RESULTS

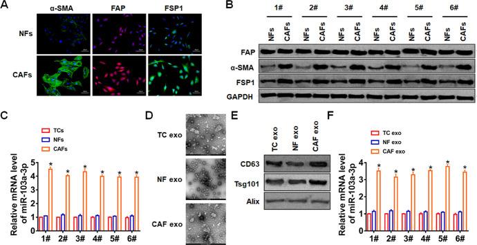
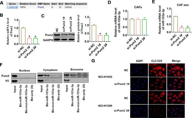
MiR-103a-3p was highly expressed in CAFs and CAF exosomes, and exosomal miR-103a-3p derived from CAFs in NSCLC. CAFs exosomes co-cultured with NSCLC cells promoted miR-103a-3p expression both in NSCLC cells and its exosomes. Functional experiments showed that exo-miR-103a-3p derived from CAFs promoted cisplatin resistance and inhibited apoptosis in NSCLC cells. Pumilio2 (Pum2) bound with miR-103a-3p in cytoplasm and nucleus, and facilitated packaging into CAF-derived exosomes in NSCLC cells. Further analysis showed Bak1 was a direct target of miR-103a-3p, and miR-103a-3p accelerated cisplatin resistance in NSCLC cells via Bak1 downregulation. tumorigenesis assay showed CAF-derived exosomal miR-103a-3p enhanced cisplatin resistance and inhibited cell apoptosis in NSCLC.

CONCLUSION

Our study revealed that CAFs-derived exosomal miR-103a-3p promoted cisplatin resistance by suppressing apoptosis via targeting Bak1, which provided a potential therapeutic target for cisplatin resistance in NSCLC.

摘要

背景

非小细胞肺癌(NSCLC)患者的顺铂耐药性导致其对顺铂的反应率和总体存活率均较低。外泌体促进了多种癌症的病理过程。

目的

本研究旨在探讨来源于癌相关成纤维细胞(CAF)的外泌体 miR-103a-3p 在 NSCLC 顺铂耐药中的作用及机制。

结果

miR-103a-3p 在 CAF 中高表达,并且存在于 CAF 来源的 NSCLC 细胞外泌体中。与 NSCLC 细胞共培养的 CAF 来源的外泌体可促进 NSCLC 细胞及其外泌体中 miR-103a-3p 的表达。功能实验表明,CAF 来源的外泌体 miR-103a-3p 可促进 NSCLC 细胞的顺铂耐药并抑制其凋亡。Pumilio2(Pum2)在细胞质和细胞核中与 miR-103a-3p 结合,并促进其在 NSCLC 细胞中包装入 CAF 来源的外泌体。进一步分析表明 Bak1 是 miR-103a-3p 的直接靶标,miR-103a-3p 通过下调 Bak1 加速 NSCLC 细胞的顺铂耐药。肿瘤发生实验表明 CAF 来源的外泌体 miR-103a-3p 增强了 NSCLC 细胞的顺铂耐药性并抑制了细胞凋亡。

结论

本研究揭示了 CAF 来源的外泌体 miR-103a-3p 通过靶向 Bak1 抑制细胞凋亡从而促进 NSCLC 顺铂耐药,为 NSCLC 顺铂耐药提供了潜在的治疗靶点。

https://cdn.ncbi.nlm.nih.gov/pmc/blobs/5e59/8202839/d63e4a037989/aging-13-103556-g001.jpg

文献AI研究员

20分钟写一篇综述,助力文献阅读效率提升50倍。

立即体验

用中文搜PubMed

大模型驱动的PubMed中文搜索引擎

马上搜索

文档翻译

学术文献翻译模型,支持多种主流文档格式。

立即体验