Suppr超能文献

Serpina3n 在 ATRA 逆转地塞米松抑制间充质干细胞成骨分化中的作用。

The role of Serpina3n in the reversal effect of ATRA on dexamethasone-inhibited osteogenic differentiation in mesenchymal stem cells.

机构信息

Department of Orthopaedics, The Second Affiliated Hospital of Chongqing Medical University, 76 Linjiang Road, Yuzhong District, Chongqing, 400010, China.

Chongqing Key Laboratory of Biochemistry and Molecular Pharmacology, Chongqing Medical University, No. 1 Yixueyuan Road, Yuzhong District, Chongqing, 400010, China.

出版信息

Stem Cell Res Ther. 2021 May 17;12(1):291. doi: 10.1186/s13287-021-02347-0.

Abstract

BACKGROUND

Glucocorticoid-induced osteoporosis (GIOP) is the most common secondary osteoporosis. Patients with GIOP are susceptible to fractures and the subsequent delayed bone union or nonunion. Thus, effective drugs and targets need to be explored. In this regard, the present study aims to reveal the possible mechanism of the anti-GIOP effect of all-trans retinoic acid (ATRA).

METHODS

Bone morphogenetic protein 9 (BMP9)-transfected mesenchymal stem cells (MSCs) were used as an in vitro osteogenic model to deduce the relationship between ATRA and dexamethasone (DEX). The osteogenic markers runt-related transcription factor 2 (RUNX2), alkaline phosphatase (ALP), and osteopontin were detected using real-time quantitative polymerase chain reaction, Western blot, and immunofluorescent staining assay. ALP activities and matrix mineralization were evaluated using ALP staining and Alizarin Red S staining assay, respectively. The novel genes associated with ATRA and DEX were detected using RNA sequencing (RNA-seq). The binding of the protein-DNA complex was validated using chromatin immunoprecipitation (ChIP) assay. Rat GIOP models were constructed using intraperitoneal injection of dexamethasone at a dose of 1 mg/kg, while ATRA intragastric administration was applied to prevent and treat GIOP. These effects were evaluated based on the serum detection of the osteogenic markers osteocalcin and tartrate-resistant acid phosphatase 5b, histological staining, and micro-computed tomography analysis.

RESULTS

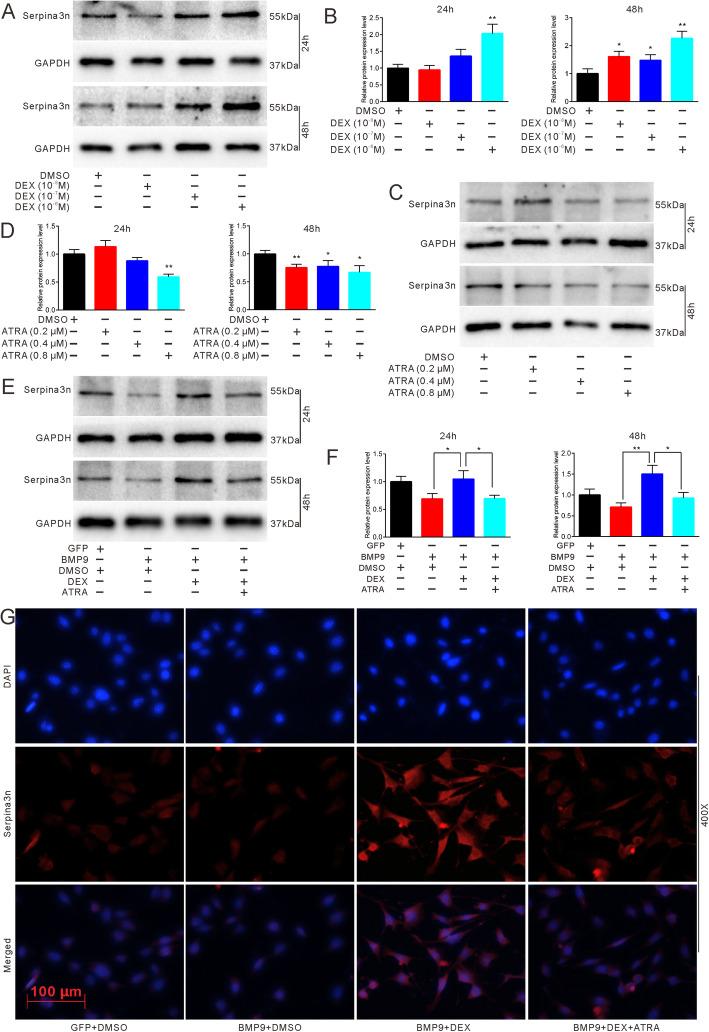
ATRA enhanced BMP9-induced ALP, RUNX2 expressions, ALP activities, and matrix mineralization in mouse embryonic fibroblasts as well as C3H10T1/2 and C2C12 cells, while a high concentration of DEX attenuated these markers. When DEX was combined with ATRA, the latter reversed DEX-inhibited ALP activities and osteogenic markers. In vivo analysis showed that ATRA reversed DEX-inhibited bone volume, bone trabecular number, and thickness. During the reversal process of ATRA, the expression of retinoic acid receptor beta (RARβ) was elevated. RARβ inhibitor Le135 partly blocked the reversal effect of ATRA. Meanwhile, RNA-seq demonstrated that serine protease inhibitor, clade A, member 3N (Serpina3n) was remarkably upregulated by DEX but downregulated when combined with ATRA. Overexpression of Serpina3n attenuated ATRA-promoted osteogenic differentiation, whereas knockdown of Serpina3n blocked DEX-inhibited osteogenic differentiation. Furthermore, ChIP assay revealed that RARβ can regulate the expression of Serpina3n.

CONCLUSION

ATRA can reverse DEX-inhibited osteogenic differentiation both in vitro and in vivo, which may be closely related to the downregulation of DEX-promoted Serpina3n. Hence, ATRA may be viewed as a novel therapeutic agent, and Serpina3n may act as a new target for GIOP.

摘要

背景

糖皮质激素诱导性骨质疏松症(GIOP)是最常见的继发性骨质疏松症。GIOP 患者易发生骨折,随后骨折延迟愈合或不愈合。因此,需要探索有效的药物和靶点。在这方面,本研究旨在揭示全反式维甲酸(ATRA)抗 GIOP 作用的可能机制。

方法

骨形态发生蛋白 9(BMP9)转染间充质干细胞(MSCs)被用作体外成骨模型,以推断 ATRA 和地塞米松(DEX)之间的关系。使用实时定量聚合酶链反应、Western blot 和免疫荧光染色检测 Runt 相关转录因子 2(RUNX2)、碱性磷酸酶(ALP)和骨桥蛋白等成骨标志物。通过碱性磷酸酶染色和茜素红 S 染色检测 ALP 活性和基质矿化。使用 RNA 测序(RNA-seq)检测与 ATRA 和 DEX 相关的新基因。使用染色质免疫沉淀(ChIP)检测验证蛋白-DNA 复合物的结合。通过腹腔注射地塞米松(剂量为 1mg/kg)构建大鼠 GIOP 模型,并用 ATRA 灌胃预防和治疗 GIOP。通过检测血清中成骨标志物骨钙素和抗酒石酸酸性磷酸酶 5b、组织学染色和微计算机断层扫描分析来评估这些效果。

结果

ATRA 增强了 BMP9 诱导的小鼠胚胎成纤维细胞以及 C3H10T1/2 和 C2C12 细胞中的 ALP、RUNX2 表达、ALP 活性和基质矿化,而高浓度的 DEX 则减弱了这些标志物。当 DEX 与 ATRA 联合使用时,后者逆转了 DEX 抑制的 ALP 活性和成骨标志物。体内分析表明,ATRA 逆转了 DEX 抑制的骨体积、骨小梁数量和厚度。在 ATRA 的逆转过程中,视黄酸受体β(RARβ)的表达增加。RARβ 抑制剂 Le135 部分阻断了 ATRA 的逆转作用。同时,RNA-seq 表明,丝氨酸蛋白酶抑制剂,A 族,成员 3N(Serpina3n)被 DEX 显著上调,但与 ATRA 联合使用时下调。Serpina3n 的过表达减弱了 ATRA 促进的成骨分化,而 Serpina3n 的敲低阻断了 DEX 抑制的成骨分化。此外,ChIP 检测显示,RARβ 可以调节 Serpina3n 的表达。

结论

ATRA 可在体外和体内逆转 DEX 抑制的成骨分化,这可能与 DEX 促进的 Serpina3n 下调密切相关。因此,ATRA 可能被视为一种新型治疗药物,而 Serpina3n 可能成为 GIOP 的新靶点。

https://cdn.ncbi.nlm.nih.gov/pmc/blobs/1113/8127316/d75720d608dc/13287_2021_2347_Fig1_HTML.jpg

文献AI研究员

20分钟写一篇综述,助力文献阅读效率提升50倍。

立即体验

用中文搜PubMed

大模型驱动的PubMed中文搜索引擎

马上搜索

文档翻译

学术文献翻译模型,支持多种主流文档格式。

立即体验