Suppr超能文献

脑血吸虫病的手术治疗结果:病例报告及文献复习。

Surgical management outcome of cerebral schistosomiasis: a case report and review of the literature.

机构信息

Department of Neurosurgery, Aliaa specialist hospital, P.O.Box 2613, 11111, Omdurman, Khartoum, Sudan.

The National Ribat University, Neurospine Center, Ribat University Hospital, Khartoum, Sudan.

出版信息

J Med Case Rep. 2021 May 23;15(1):268. doi: 10.1186/s13256-021-02828-z.

Abstract

BACKGROUND

Schistosomiasis is a parasitic infection that commonly affects the gastrointestinal and genitourinary tracts. Cerebral schistosomiasis is rare, and few operative cases have been reported in the literature. Diagnosis is usually challenging due to the similarity of the lesion to many other brain conditions. Treatment usually requires surgical resection combined with the use of antiparasitic agents, which often results in good outcomes and excellent prognosis.

CASE PRESENTATION

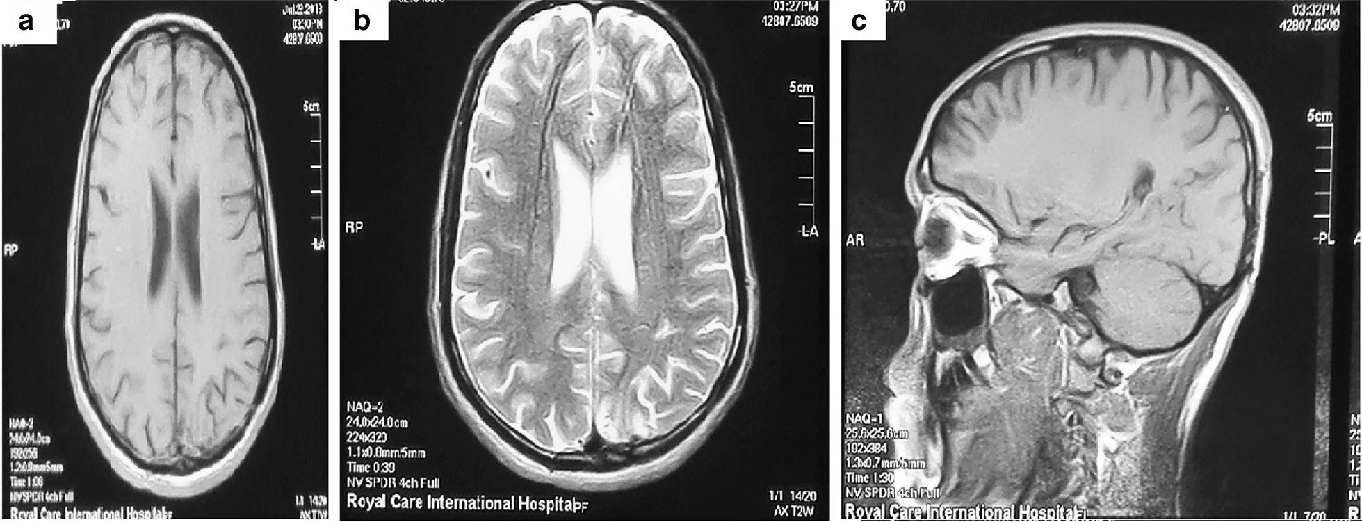
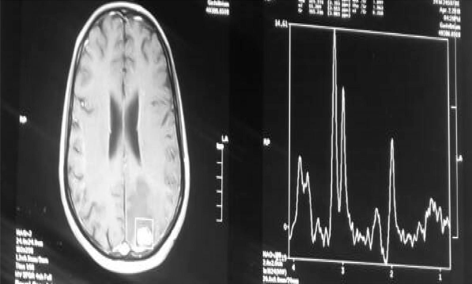
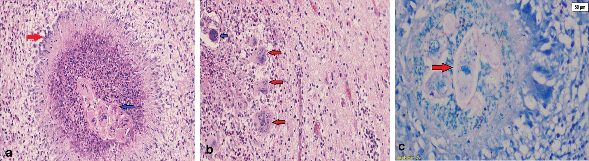
A 24-year-old, previously healthy Afro-asiatic man presented to our neurosurgical outpatient clinic complaining of headache and an attack of convulsions. On examination, he had bilateral lower limb weakness more on the right side. Laboratory investigations including stool and urine general test results were unremarkable. Magnetic resonance imaging of the brain was performed and showed an intra-axial left parietal mass; a granulomatous lesion was suggested in the differential diagnoses. The patient underwent craniotomy and total resection of the lesion. Histopathology confirmed the presence of active cerebral Schistosoma mansoni infection. Orally administered praziquantel was initiated at a dose of 20 mg/kg twice a day for a total of 3 days along with oral administration of corticosteroids for 2 weeks. The patient improved postoperatively without residual weakness and with no further convulsions.

CONCLUSION

Cerebral schistosomiasis is a rare but important consideration in the list of differential diagnoses of cerebral space-occupying lesions. This is of particular importance in in endemic areas like Sudan. In order to reach a diagnosis, careful social and occupational history need to be obtained and correlated with the clinical, laboratory, and radiological findings. Surgical resection along with the use of proper antiparasitic agents usually provides the best clinical outcomes.

摘要

背景

血吸虫病是一种寄生虫感染,通常影响胃肠道和生殖泌尿系统。脑血吸虫病较为罕见,文献中报道的手术病例较少。由于病变与许多其他脑部疾病相似,因此诊断通常具有挑战性。治疗通常需要手术切除结合使用抗寄生虫药物,这通常会带来良好的结果和极佳的预后。

病例介绍

一名 24 岁、既往健康的非裔亚洲男性因头痛和癫痫发作到我们的神经外科门诊就诊。体格检查发现他的双侧下肢无力,右侧更为明显。包括粪便和尿液常规检查在内的实验室检查结果无明显异常。对大脑进行磁共振成像检查,显示左顶叶脑内轴内肿块;鉴别诊断中提示为肉芽肿性病变。患者接受了开颅手术和病变的完全切除。组织病理学证实存在活动性脑曼氏血吸虫感染。给予患者口服吡喹酮,剂量为 20mg/kg,每日 2 次,共 3 天,并同时口服皮质类固醇 2 周。患者术后恢复良好,无残留无力和进一步的癫痫发作。

结论

脑血吸虫病是脑占位性病变鉴别诊断中的一个罕见但重要的考虑因素。在像苏丹这样的流行地区尤其如此。为了做出诊断,需要仔细询问社会和职业史,并将其与临床、实验室和影像学发现相关联。手术切除结合适当的抗寄生虫药物通常提供最佳的临床结果。

https://cdn.ncbi.nlm.nih.gov/pmc/blobs/82e5/8141150/79d9cbd4d6ac/13256_2021_2828_Fig1_HTML.jpg

文献AI研究员

20分钟写一篇综述,助力文献阅读效率提升50倍。

立即体验

用中文搜PubMed

大模型驱动的PubMed中文搜索引擎

马上搜索

文档翻译

学术文献翻译模型,支持多种主流文档格式。

立即体验