Suppr超能文献

吉赞地区第三磨牙阻生:患病率及临床表现评估

Third molar impaction in the Jazan Region: Evaluation of the prevalence and clinical presentation.

作者信息

Idris Ali M, Al-Mashraqi Abeer A, Abidi Nazim H, Vani Nandimandalam V, Elamin Elfatih I, Khubrani Yahia H, Sh Alhazmi Anwar, Alamir Abdulwahab H, Fageeh Hytham N, Meshni Abdullah A, Mashyakhy Mohammed H, Makrami Ali M, Gareeb Alla Abdalla Abbas, Jafer Mohammed

机构信息

Department of Maxillofacial Surgery and Diagnostic Sciences, College of Dentistry, Jazan University, Saudi Arabia.

Department of Oral Pathology, Best Dental Science College and Hospital, Madurai, India.

出版信息

Saudi Dent J. 2021 May;33(4):194-200. doi: 10.1016/j.sdentj.2020.02.004. Epub 2020 Mar 4.

Abstract

OBJECTIVE

To provide information on the prevalence and clinical features of impacted third molar teeth in the South-Western region of Saudi Arabia.

MATERIAL AND METHODS

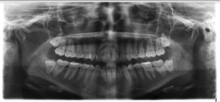
In this cross-sectional study, 1200 panoramic radiographs (50% males and 50% females) were retrieved from the electronic clinical records of patients at the College of Dentistry, Jazan University from December 2014 to December 2016, and impacted third molars were evaluated. Data on clinical and radiographic presentation were analyzed.

RESULTS

Overall, there were 291 (24.3%) patients with impacted third molars among 1200 radiographs. The distribution of impacted third molars according to the number of impacted teeth was as follows: one impaction in 121 (41.6%); two impactions in 90 (30.9%); three impactions in 42 (14.4%); and four impactions in 38 (13.1%) patients. There was a high prevalence of all impaction types among females (54.5%). Maxillary vertical angulation was most common (50%) followed by mandibular mesioangular angulation (48.3%). The depth of impaction in maxillary teeth was higher than in mandibular teeth. Pain was uncommon (4.5% of patients).

DISCUSSION

Clinically, vertical impaction in the maxilla was present in 50% of patients because of limited posterior space, and mesioangular angulation in the mandible was present in 48% of patients because of inadequate space between the ramus and the second molar. These findings are similar to other reports. Vertical impaction of the maxillary wisdom tooth is mostly related to the discrepancy between the mesiodistal size of the tooth crown and the limited retromolar space.

CONCLUSION

Noiseless presentation of an impacted third molar requires raising the population's awareness about the need for diagnosis and treatment of the problem to avoid any further complications. The study can be to guide surgical procedures. This study documented the prevalence, pattern, and clinical features of impacted third molars in South Western region of Saudi Arabia.

摘要

目的

提供沙特阿拉伯西南部地区阻生第三磨牙的患病率及临床特征信息。

材料与方法

在这项横断面研究中,从2014年12月至2016年12月在吉赞大学牙科学院患者的电子临床记录中检索了1200张全景X线片(男性和女性各占50%),并对阻生第三磨牙进行评估。分析临床和影像学表现的数据。

结果

总体而言,在1200张X线片中,有291例(24.3%)患者存在阻生第三磨牙。根据阻生牙数量,阻生第三磨牙的分布如下:1颗阻生牙的有121例(41.6%);2颗阻生牙的有90例(30.9%);3颗阻生牙的有42例(14.4%);4颗阻生牙的有38例(13.1%)。所有阻生类型在女性中的患病率都很高(54.5%)。上颌垂直阻生最为常见(50%),其次是下颌近中阻生(48.3%)。上颌牙的阻生深度高于下颌牙。疼痛并不常见(占患者的4.5%)。

讨论

临床上,由于后部空间有限,50%的患者上颌存在垂直阻生;由于下颌升支与第二磨牙之间空间不足,48%的患者下颌存在近中阻生。这些发现与其他报告相似。上颌智齿垂直阻生主要与牙冠近远中大小与磨牙后间隙有限之间的差异有关。

结论

阻生第三磨牙无明显症状需要提高民众对该问题诊断和治疗必要性的认识,以避免任何进一步的并发症。该研究可为手术操作提供指导。本研究记录了沙特阿拉伯西南部地区阻生第三磨牙的患病率、模式及临床特征。

https://cdn.ncbi.nlm.nih.gov/pmc/blobs/247f/8117367/d8db98f285a3/gr1.jpg

文献AI研究员

20分钟写一篇综述,助力文献阅读效率提升50倍。

立即体验

用中文搜PubMed

大模型驱动的PubMed中文搜索引擎

马上搜索

文档翻译

学术文献翻译模型,支持多种主流文档格式。

立即体验