Suppr超能文献

乳腺高危病变:同步诊断工具及管理建议

High-risk lesions of the breast: concurrent diagnostic tools and management recommendations.

作者信息

Catanzariti Francesca, Avendano Daly, Cicero Giuseppe, Garza-Montemayor Margarita, Sofia Carmelo, Venanzi Rullo Emmanuele, Ascenti Giorgio, Pinker-Domenig Katja, Marino Maria Adele

机构信息

Department of Biomedical Sciences and Morphologic and Functional Imaging, University of Messina, Messina, Italy.

Department of Breast Imaging, Breast Cancer Center TecSalud, ITESM Monterrey, Nuevo Leon, Mexico.

出版信息

Insights Imaging. 2021 May 26;12(1):63. doi: 10.1186/s13244-021-01005-6.

Abstract

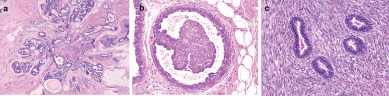
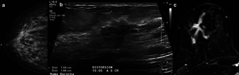
Breast lesions with uncertain malignant behavior, also known as high-risk or B3 lesions, are composed of a variety of pathologies with differing risks of associated malignancy. While open excision was previously preferred to manage all high-risk lesions, tailored management has been increasingly favored to reduce overtreatment and spare patients from unnecessary anxiety or high healthcare costs associated with surgical excision. The purpose of this work is to provide the reader with an accurate overview focused on the main high-risk lesions of the breast: atypical intraductal epithelial proliferation (atypical ductal hyperplasia), lobular neoplasia (including the subcategories lobular carcinoma in situ and atypical lobular hyperplasia), flat epithelial atypia, radial scar and papillary lesions, and phyllodes tumor. Beyond merely presenting the radiological aspects of these lesions and the recent literature, information about their potential upgrade rates is discussed in order to provide a useful guide for appropriate clinical management while avoiding the risks of unnecessary surgical intervention (overtreatment).

摘要

具有不确定恶性行为的乳腺病变,也称为高危或B3病变,由多种具有不同相关恶性风险的病理类型组成。虽然以前首选开放切除来处理所有高危病变,但为了减少过度治疗并使患者免受与手术切除相关的不必要焦虑或高昂医疗费用,针对性管理越来越受到青睐。这项工作的目的是为读者提供一个准确的概述,重点关注乳腺的主要高危病变:非典型导管上皮增生(非典型导管增生)、小叶肿瘤(包括小叶原位癌和非典型小叶增生亚类)、扁平上皮异型增生、放射状瘢痕和乳头状病变,以及叶状肿瘤。除了仅仅呈现这些病变的放射学特征和近期文献外,还讨论了它们的潜在升级率信息,以便为适当的临床管理提供有用的指导,同时避免不必要手术干预(过度治疗)的风险。

https://cdn.ncbi.nlm.nih.gov/pmc/blobs/dd90/8155169/969d26427da0/13244_2021_1005_Fig1_HTML.jpg

文献AI研究员

20分钟写一篇综述,助力文献阅读效率提升50倍。

立即体验

用中文搜PubMed

大模型驱动的PubMed中文搜索引擎

马上搜索

文档翻译

学术文献翻译模型,支持多种主流文档格式。

立即体验