Suppr超能文献

大黄素通过激活棕色脂肪组织和诱导白色脂肪组织褐变改善肥胖小鼠的糖脂代谢紊乱。

Emodin Improves Glucose and Lipid Metabolism Disorders in Obese Mice Activating Brown Adipose Tissue and Inducing Browning of White Adipose Tissue.

机构信息

School of Chinese Materia Medica, Beijing University of Chinese Medicine, Beijing, China.

Analytical and Testing Center, Beijing University of Chemical Technology, Beijing, China.

出版信息

Front Endocrinol (Lausanne). 2021 May 10;12:618037. doi: 10.3389/fendo.2021.618037. eCollection 2021.

Abstract

BACKGROUND

Adipose tissue (e.g. white, brown and brite) plays a critical role in modulating energy metabolism. Activating brown adipose tissue (BAT) and inducing browning in white adipose tissue (WAT) has been proposed to be a potential molecular target for obesity treatment. Emodin is a natural anthraquinone derivative that exhibits variety of pharmacologic effects including lowering lipids and regulating glucose utilization. However, the underlying mechanism of action is still unclear. In the present study, we investigated whether emodin could alleviate obesity promoting browning process in adipose tissue.

METHODS

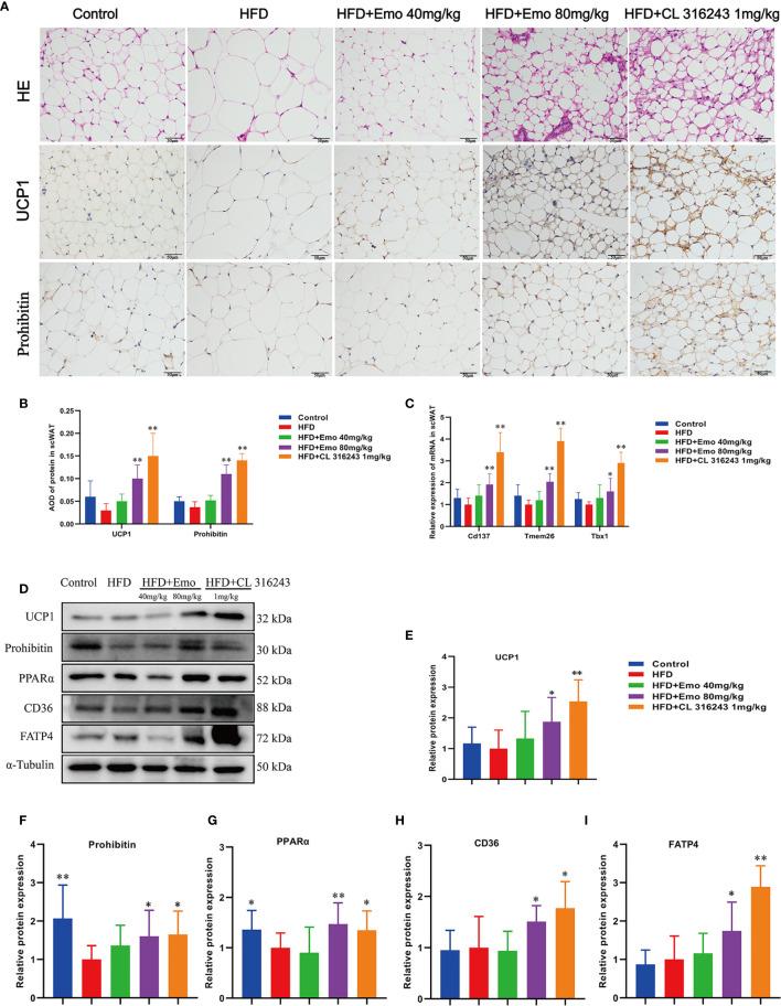
C57BL/6J mice were fed with high fat diet to induce obesity. Emodin at the doses of 40 and 80 mg/kg were orally given to obesity mice for consecutive 6 weeks. Parameters including fasting blood glucose, oral glucose tolerance, blood lipids, and the ratios of subcutaneous white adipose tissue (scWAT) or BAT mass to body weight, and morphology of adipose tissue were observed. Besides, the protein expression of uncoupling protein 1 (UCP1) and prohibitin in BAT and scWAT was determined by immunohistochemistry method. Relative mRNA expression of , transmembrane protein 26 () and in scWAT was analyzed using qRT-PCR. And the protein expression of UCP1, CD36, fatty acid transporter 4 (FATP4), peroxisome proliferator-activated receptor alpha (PPARα) and prohibitin of scWAT and BAT were analyzed using western blotting. In addition, ultra-high-performance liquid chromatography with electrospray ionization tandem mass spectrometry was utilized to detect the small lipid metabolites of scWAT and BAT.

RESULTS

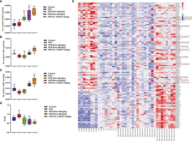
Emodin decreased the body weight and food intake in HFD-induced obesity mice, and it also improved the glucose tolerance and reduced the blood lipids. Emodin treatment induced beiging of WAT, and more multilocular lipid droplets were found in scWAT. Also, emodin significantly increased markers of beige adipocytes, e.g. , and mRNA in scWAT, and UCP1, CD36, FATP4, PPARα and prohibitin protein expression in scWAT and BAT. Furthermore, emodin perturbed the lipidomic profiles in scWAT and BAT of obese mice. Emodin increased total ceramides (Cers), lysophosphatidylcholines (LPCs), lyso-phosphatidylcholines oxygen (LPCs-O), and phosphatidylethanolamines oxygen (PEs-O) species concentration in scWAT. Specifically, emodin significantly up-regulated levels of Cer (34:1), LPC (18:2), LPC-(O-20:2), PC (O-40:7), PE (O-36:3), PE (O-38:6), PE (O-40:6), and sphingolipid (41:0) [SM (41:0)], and down-regulated PC (O-38:0), PE (O-40:4), PE (O-40:5) in scWAT of obesity mice. In terms of lipid matabolites of BAT, the emodin remarkably increased the total PCs levels, which was driven by significant increase of PC (30:0), PC (32:1), PC (32:2), PC (33:4) and PC (38:0) species. In addition, it also increased species of LPCs, e.g. LPC (20:0), LPC (20:1), LPC (22:0), LPC (22:1), LPC (24:0), and LPC (24:1). Especially, emodin treatment could reverse the ratio of PC/PE in HFD-induced obese mice.

CONCLUSIONS

These results indicated that emodin could ameliorate adiposity and improve metabolic disorders in obese mice. Also, emodin could promote browning in scWAT and activate the BAT activities. In addition, emodin treatment-induced changes to the scWAT and BAT lipidome were highly specific to certain molecular lipid species, indicating that changes in tissue lipid content reflects selective remodeling in scWAT and BAT of both glycerophospholipids and sphingolipids in response to emodin treatment.

摘要

背景

脂肪组织(如白色、棕色和米色)在调节能量代谢方面起着关键作用。激活棕色脂肪组织(BAT)和诱导白色脂肪组织(WAT)褐变被认为是肥胖治疗的潜在分子靶点。大黄素是一种天然蒽醌衍生物,具有多种药理作用,包括降低血脂和调节葡萄糖利用。然而,其作用机制尚不清楚。在本研究中,我们研究了大黄素是否可以减轻肥胖症并促进脂肪组织的褐变过程。

方法

C57BL/6J 小鼠喂食高脂肪饮食以诱导肥胖。大黄素以 40 和 80mg/kg 的剂量连续 6 周口服给予肥胖小鼠。观察空腹血糖、口服葡萄糖耐量、血脂、皮下白色脂肪组织(scWAT)或棕色脂肪组织(BAT)质量与体重的比值以及脂肪组织的形态。此外,通过免疫组织化学法测定 BAT 和 scWAT 中解偶联蛋白 1(UCP1)和抑制素的蛋白表达。使用 qRT-PCR 分析 scWAT 中跨膜蛋白 26()和 的相对 mRNA 表达。并用 Western blot 分析 scWAT 和 BAT 中 UCP1、CD36、脂肪酸转运蛋白 4(FATP4)、过氧化物酶体增殖物激活受体 α(PPARα)和抑制素的蛋白表达。此外,采用超高效液相色谱-电喷雾串联质谱法检测 scWAT 和 BAT 的小脂质代谢物。

结果

大黄素降低了 HFD 诱导肥胖小鼠的体重和食物摄入量,改善了葡萄糖耐量,降低了血脂。大黄素治疗诱导 WAT 褐变,scWAT 中发现更多多室脂质滴。此外,大黄素显著增加了 scWAT 中 、和 的 mRNA 标志物,以及 scWAT 和 BAT 中 UCP1、CD36、FATP4、PPARα 和抑制素的蛋白表达。此外,大黄素改变了肥胖小鼠 scWAT 和 BAT 的脂质组学特征。大黄素增加了 scWAT 中总神经酰胺(Cers)、溶血磷脂酰胆碱(LPCs)、溶血磷脂酰胆碱氧(LPCs-O)和磷脂酰乙醇胺氧(PEs-O)的浓度。具体来说,大黄素显著上调了 Cer(34:1)、LPC(18:2)、LPC-(O-20:2)、PC(O-40:7)、PE(O-36:3)、PE(O-38:6)、PE(O-40:6)和鞘脂(41:0)[SM(41:0)]的水平,下调了 scWAT 中 PC(O-38:0)、PE(O-40:4)、PE(O-40:5)的水平。就 BAT 的脂质代谢物而言,大黄素显著增加了总 PCs 的水平,这是由 PC(30:0)、PC(32:1)、PC(32:2)、PC(33:4)和 PC(38:0)的显著增加所驱动的。此外,它还增加了 LPCs 的种类,如 LPC(20:0)、LPC(20:1)、LPC(22:0)、LPC(22:1)、LPC(24:0)和 LPC(24:1)。特别是,大黄素处理可以逆转 HFD 诱导的肥胖小鼠中 PC/PE 的比值。

结论

这些结果表明,大黄素可以改善肥胖小鼠的肥胖症和代谢紊乱,并促进 scWAT 的褐变和 BAT 活性。此外,大黄素处理诱导的 scWAT 和 BAT 脂质组学变化对某些特定的分子脂质种类具有高度特异性,表明组织脂质含量的变化反映了甘油磷脂和鞘脂在 scWAT 和 BAT 中的选择性重塑,以响应大黄素处理。

https://cdn.ncbi.nlm.nih.gov/pmc/blobs/2339/8143048/0a40012ee2bb/fendo-12-618037-g001.jpg

文献AI研究员

20分钟写一篇综述,助力文献阅读效率提升50倍。

立即体验

用中文搜PubMed

大模型驱动的PubMed中文搜索引擎

马上搜索

文档翻译

学术文献翻译模型,支持多种主流文档格式。

立即体验