Suppr超能文献

A PorX/PorY 和 σ 前馈调控环控制基因表达,这对牙龈卟啉单胞菌的毒力至关重要。

A PorX/PorY and σ Feedforward Regulatory Loop Controls Gene Expression Essential for Porphyromonas gingivalis Virulence.

机构信息

School of Life Sciences, Arizona State University, Tempe, Arizona, USA.

The State Key Laboratory of Pharmaceutical Biotechnology, School of Life Science and School of Stomatology, Nanjing University, Nanjing, Jiangsu, China.

出版信息

mSphere. 2021 Jun 30;6(3):e0042821. doi: 10.1128/mSphere.00428-21. Epub 2021 May 28.

Abstract

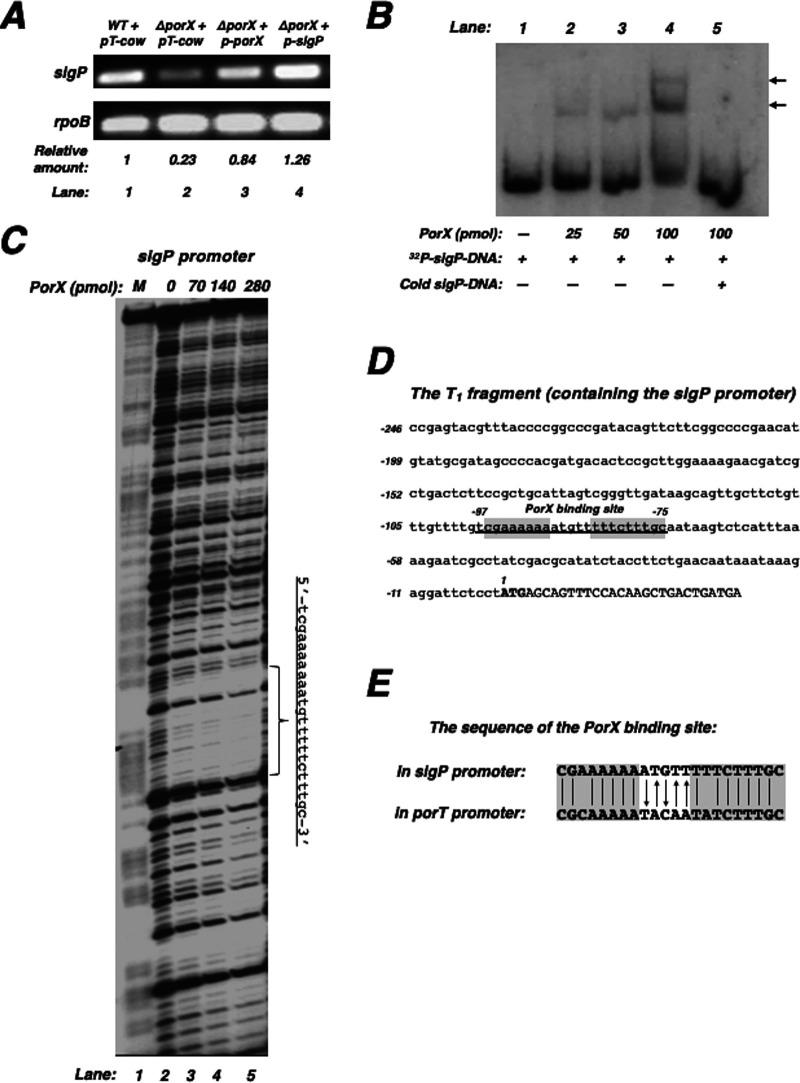
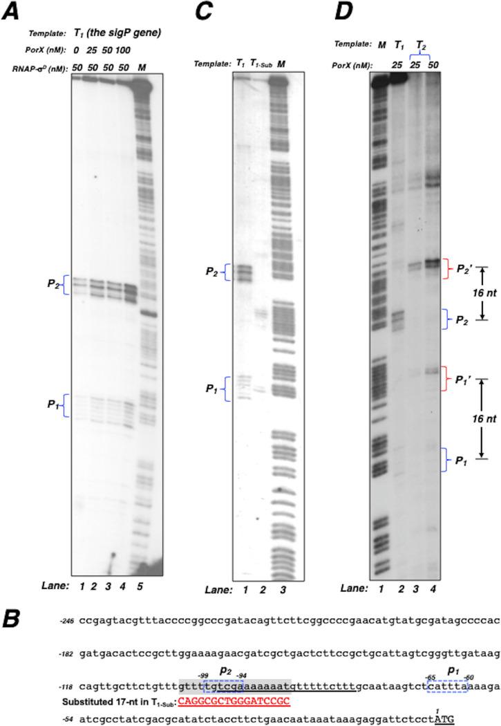
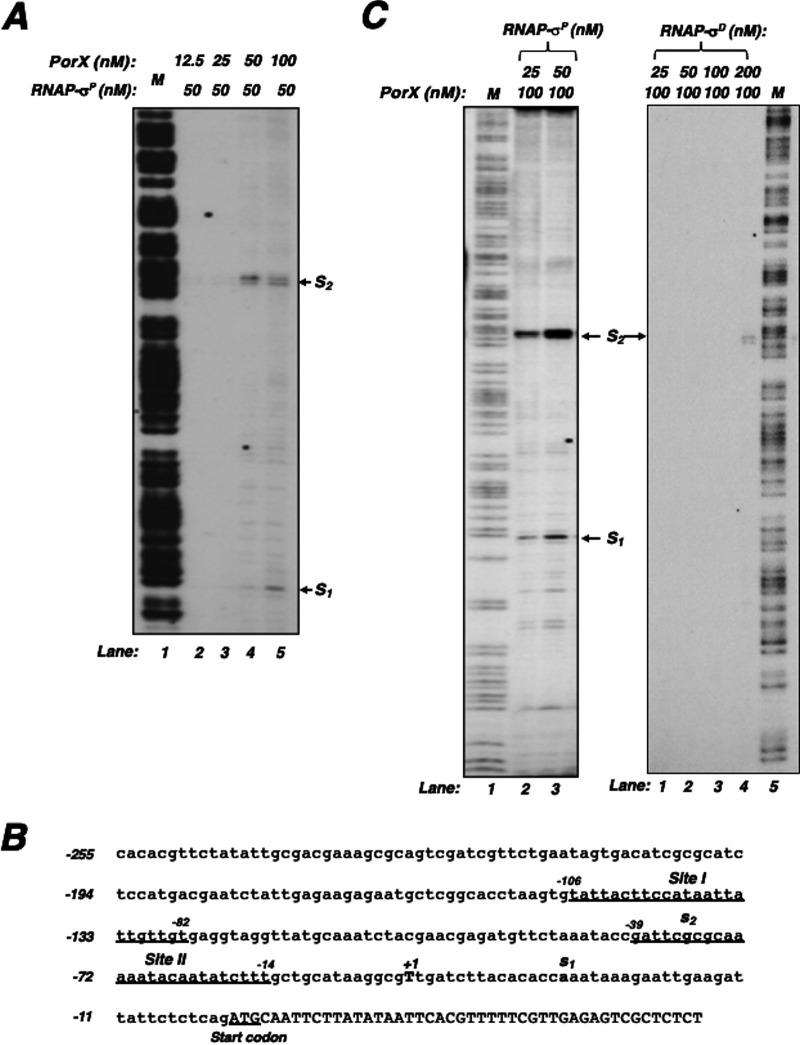
The PorX/PorY two-component system in the periodontal pathogen Porphyromonas gingivalis controls the expression of the genes, encoding a type IX secretion system, and the gene, encoding sigma factor σ. Previous results implied that PorX/PorY and σ formed a regulatory cascade because the PorX/PorY-activated σ enhanced the genes, including , via binding to their promoters. We recently showed that PorX also binds to the promoters, thus suggesting that an alternative mechanism is required for the PorX/PorY- and σ-governed expression. Here, our assays show the PorX response regulator binds to the promoter at a sequence shared with the promoter and enhances its transcription, mediated by a reconstituted P. gingivalis RNA polymerase holoenzyme. Merely producing σ in fails to reverse the transcription in a mutant, which further argues against the action of the proposed regulatory cascade. An transcription assay using a reconstituted RNA polymerase-σ holoenzyme verifies the direct role of PorX in transcription, since transcription is enhanced by a pure PorX protein. Accordingly, we propose that the PorX/PorY system coordinates with σ to construct a coherent regulatory mechanism, known as the feedforward loop. Specifically, PorX will not only bind to the promoter to stimulate the expression of σ, but also bind to the promoter to facilitate the RNA polymerase-σ-dependent transcription. Importantly, mutations at the and genes attenuate bacterial virulence in a mouse model, demonstrating that this regulatory mechanism is essential for P. gingivalis pathogenesis. The anaerobic bacterium Porphyromonas gingivalis is not only the major etiologic agent for chronic periodontitis, but also prevalent in some common noncommunicable diseases such as cardiovascular disease, Alzheimer's disease, and rheumatoid arthritis. We present genetic, biochemical, and biological results to demonstrate that the PorX/PorY two-component system and sigma factor σ build a specific regulatory network to coordinately control transcription of the genes encoding the type IX secretion system, and perhaps also other virulence factors. Results in this study verify that the response regulator PorX stimulates the expression of the genes encoding both σ and the type IX secretion system by binding to their promoters. This study also provides evidence that σ, like the PorX/PorY system, contributes to P. gingivalis virulence in a mouse model.

摘要

牙周病病原体牙龈卟啉单胞菌中的 PorX/PorY 双组分系统控制基因的表达,这些基因编码一种九型分泌系统,以及基因,编码 sigma 因子 σ。先前的结果表明,PorX/PorY 和 σ 形成了一个调控级联,因为 PorX/PorY 激活的 σ 通过结合其启动子增强了基因的表达,包括通过结合其启动子。我们最近表明,PorX 也结合到启动子,因此表明需要一种替代机制来进行 PorX/PorY 和 σ 控制的表达。在这里,我们的启动子测定表明,PorX 响应调节剂结合到启动子的序列与启动子共享,并通过重建的牙龈卟啉单胞菌 RNA 聚合酶全酶增强其转录。仅仅在中产生 σ 并不能在突变体中逆转转录,这进一步反对了所提出的调控级联的作用。使用重建的 RNA 聚合酶-σ 全酶的转录测定验证了 PorX 在转录中的直接作用,因为转录通过纯 PorX 蛋白增强。因此,我们提出 PorX/PorY 系统与 σ 协同构建一个连贯的调控机制,称为前馈环。具体而言,PorX 不仅会结合启动子以刺激 σ 的表达,还会结合启动子以促进 RNA 聚合酶-σ 依赖性转录。重要的是,在和基因的突变会削弱小鼠模型中的细菌毒力,表明这种调控机制对于牙龈卟啉单胞菌的发病机制至关重要。厌氧细菌牙龈卟啉单胞菌不仅是慢性牙周炎的主要病原体,而且在一些常见的非传染性疾病中也很普遍,如心血管疾病、阿尔茨海默病和类风湿关节炎。我们提出了遗传、生化和生物学结果,证明了 PorX/PorY 双组分系统和 sigma 因子 σ 构建了一个特定的调控网络,以协调控制编码九型分泌系统的基因的转录,也许还有其他毒力因子。本研究的结果证实,响应调节剂 PorX 通过结合其启动子刺激基因和编码九型分泌系统的基因的表达。本研究还提供了证据表明,σ 与 PorX/PorY 系统一样,有助于在小鼠模型中牙龈卟啉单胞菌的毒力。

https://cdn.ncbi.nlm.nih.gov/pmc/blobs/bf10/8265659/6ced8db678e7/msphere.00428-21-f001.jpg

文献AI研究员

20分钟写一篇综述,助力文献阅读效率提升50倍。

立即体验

用中文搜PubMed

大模型驱动的PubMed中文搜索引擎

马上搜索

文档翻译

学术文献翻译模型,支持多种主流文档格式。

立即体验