Suppr超能文献

结合人血清淀粉样蛋白 A,该相互作用调节人巨噬细胞的定植和病原体的转录反应。

Binds Human Serum Amyloid A, and the Interaction Modulates the Colonization of Human Macrophages and the Transcriptional Response of the Pathogen.

机构信息

Department of Molecular Microbiology, Faculty of Biology and Environmental Protection, University of Lodz, 90-237 Lodz, Poland.

Institute of Medical Biology, Polish Academy of Sciences, 93-232 Lodz, Poland.

出版信息

Cells. 2021 May 20;10(5):1264. doi: 10.3390/cells10051264.

Abstract

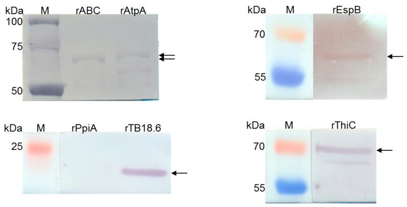
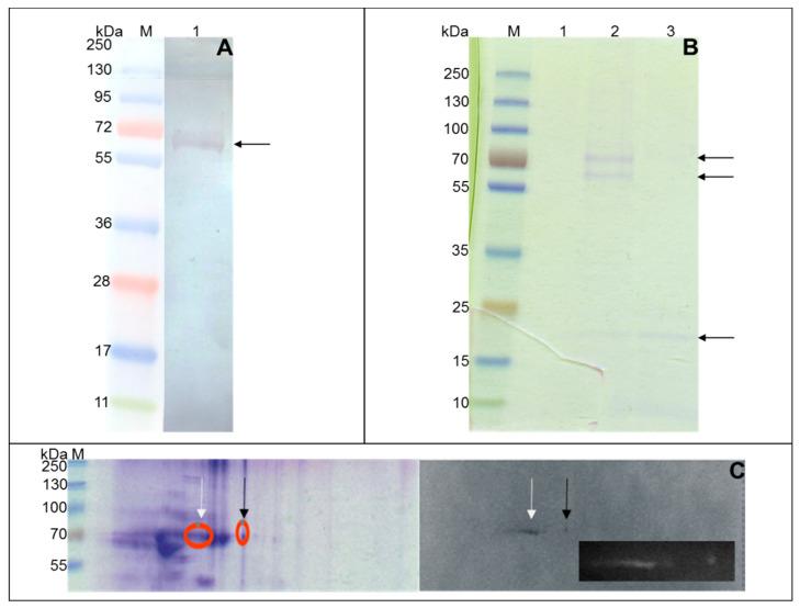
As a very successful pathogen with outstanding adaptive properties, () has developed a plethora of sophisticated mechanisms to subvert host defenses and effectively enter and replicate in the harmful environment inside professional phagocytes, namely, macrophages. Here, we demonstrated the binding interaction of with a major human acute phase protein, namely, serum amyloid A (SAA1), and identified AtpA (Rv1308), ABC (Rv2477c), EspB (Rv3881c), TB 18.6 (Rv2140c), and ThiC (Rv0423c) membrane proteins as mycobacterial effectors responsible for the pathogen-host protein interplay. SAA1-opsonization of prior to the infection of human macrophages favored bacterial entry into target phagocytes accompanied by a substantial increase in the load of intracellularly multiplying and surviving bacteria. Furthermore, binding of human SAA1 by resulted in the up- or downregulation of the transcriptional response of tubercle bacilli. The most substantial changes were related to the increased expression level of the genes of two operons encoding mycobacterial transporter systems, namely, (), and , . Therefore, we postulate that during infection, -SAA1 binding promotes the infection of host macrophages by tubercle bacilli and modulates the functional response of the pathogen.

摘要

作为一种具有出色适应特性的非常成功的病原体,()已经开发出了许多复杂的机制来颠覆宿主防御,并有效地进入和复制专业吞噬细胞(即巨噬细胞)内的有害环境。在这里,我们证明了与主要的人类急性期蛋白,即血清淀粉样蛋白 A(SAA1)的结合相互作用,并鉴定出 AtpA(Rv1308)、ABC(Rv2477c)、EspB(Rv3881c)、TB18.6(Rv2140c)和 ThiC(Rv0423c)作为负责病原体-宿主蛋白相互作用的分枝杆菌效应物。在人类巨噬细胞感染之前,SAA1 对 的调理作用有利于细菌进入靶吞噬细胞,同时细胞内增殖和存活细菌的载量显著增加。此外, 与人类 SAA1 的结合导致结核分枝杆菌的转录反应上调或下调。最大的变化与编码两个分枝杆菌转运系统的操纵子的基因的表达水平增加有关,即()和()。因此,我们假设在感染过程中,-SAA1 结合促进结核分枝杆菌感染宿主巨噬细胞,并调节病原体的功能反应。

https://cdn.ncbi.nlm.nih.gov/pmc/blobs/c03e/8160739/7a2c88e4d9a5/cells-10-01264-g001.jpg

文献AI研究员

20分钟写一篇综述,助力文献阅读效率提升50倍。

立即体验

用中文搜PubMed

大模型驱动的PubMed中文搜索引擎

马上搜索

文档翻译

学术文献翻译模型,支持多种主流文档格式。

立即体验