Suppr超能文献

肉桂提取物和益生菌补充剂通过调节肉鸡的氧化应激、炎症和细胞凋亡来减轻铜诱导的肾毒性。

Cinnamon Extract and Probiotic Supplementation Alleviate Copper-Induced Nephrotoxicity via Modulating Oxidative Stress, Inflammation, and Apoptosis in Broiler Chickens.

作者信息

Elazab Sara T, Elshater Nahla S, Kishaway Asmaa T Y, Ei-Emam Huda A

机构信息

Department of Pharmacology, Faculty of Veterinary Medicine, Mansoura University, Mansoura 35516, Egypt.

Reference Laboratory for Veterinary Quality Control on Poultry Production, Animal Health Research Institute, Agriculture Research Center, Dokki, Giza 12618, Egypt.

出版信息

Animals (Basel). 2021 May 29;11(6):1609. doi: 10.3390/ani11061609.

Abstract

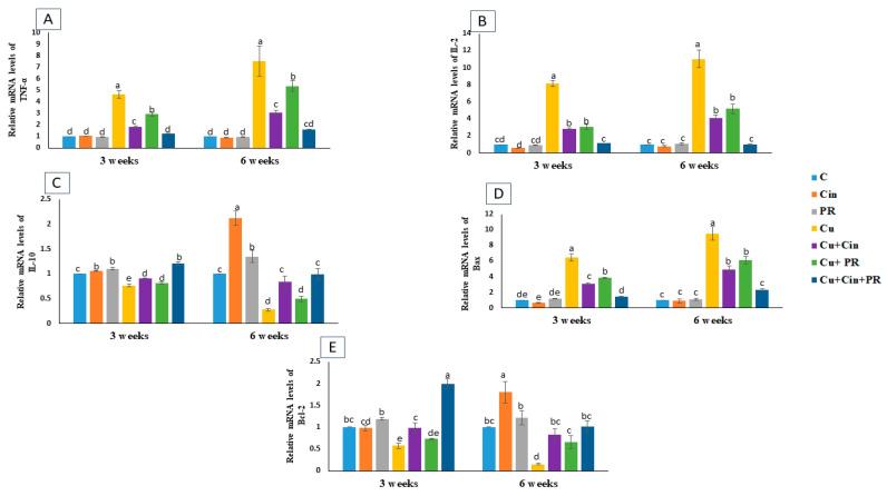
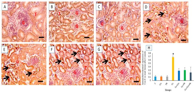
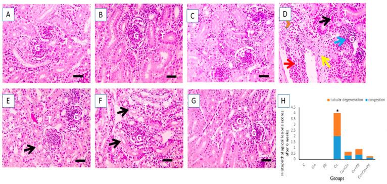
The present study aimed to assess the potential protective effects of cinnamon (Cinnamomum zeylanicum, Cin) and probiotic against CuSO-induced nephrotoxicity in broiler chickens. One-day-old Cobb chicks were assigned into seven groups (15 birds/group): control group, fed basal diet; Cin group, fed the basal diet mixed with Cin (200 mg/kg); PR group, receiving PR (1 g/4 L water); Cu group, fed the basal diets mixed with CuSO (300 mg/kg); Cu + Cin group; Cu + PR group; and Cu + Cin + PR group. All treatments were given daily for 6 weeks. Treatment of Cu-intoxicated chickens with Cin and/or PR reduced ( < 0.05) Cu contents in renal tissues and serum levels of urea, creatinine, and uric acid compared to the Cu group. Moreover, Cin and PR treatment decreased lipid peroxidation and increased antioxidant enzyme activities in chickens' kidney. Additionally, significant reduction ( < 0.05) in the mRNA expression of tumor necrosis factor alpha (TNF-α), interleukin (IL-2) and Bax, and in cyclooxygenase (COX-II) enzyme expression, and significant elevation ( < 0.05) in mRNA expression of IL-10 and Bcl-2 were observed in kidneys of Cu + Cin, Cu + PR, and Cu + Cin + PR groups compared to Cu group. Conclusively, Cin and/or PR afford considerable renal protection against Cu-induced nephrotoxicity in chickens.

摘要

本研究旨在评估肉桂(锡兰肉桂,Cin)和益生菌对硫酸铜诱导的肉鸡肾毒性的潜在保护作用。将1日龄的科宝肉鸡分为7组(每组15只):对照组,饲喂基础日粮;肉桂组,饲喂添加肉桂(200毫克/千克)的基础日粮;益生菌组,饮用含益生菌的水(1克/4升水);硫酸铜组,饲喂添加硫酸铜(300毫克/千克)的基础日粮;硫酸铜+肉桂组;硫酸铜+益生菌组;硫酸铜+肉桂+益生菌组。所有处理每天进行,持续6周。与硫酸铜组相比,用肉桂和/或益生菌处理硫酸铜中毒的鸡,可降低(P<0.05)肾组织中的铜含量以及血清尿素、肌酐和尿酸水平。此外,肉桂和益生菌处理可降低鸡肾中的脂质过氧化水平,并提高抗氧化酶活性。此外,与硫酸铜组相比,在硫酸铜+肉桂组、硫酸铜+益生菌组和硫酸铜+肉桂+益生菌组的鸡肾中,肿瘤坏死因子α(TNF-α)、白细胞介素(IL-2)和Bax的mRNA表达以及环氧合酶(COX-II)的酶表达显著降低(P<0.05),而IL-10和Bcl-2的mRNA表达显著升高(P<0.05)。总之,肉桂和/或益生菌对鸡硫酸铜诱导的肾毒性具有显著的肾脏保护作用。

https://cdn.ncbi.nlm.nih.gov/pmc/blobs/21f9/8228193/d284847e9066/animals-11-01609-g001.jpg

文献AI研究员

20分钟写一篇综述,助力文献阅读效率提升50倍。

立即体验

用中文搜PubMed

大模型驱动的PubMed中文搜索引擎

马上搜索

文档翻译

学术文献翻译模型,支持多种主流文档格式。

立即体验