Suppr超能文献

瑞德西韦通过抑制NLRP3炎性小体的激活减轻急性肾损伤。

Remdesivir Alleviates Acute Kidney Injury by Inhibiting the Activation of NLRP3 Inflammasome.

作者信息

Yin Liang, Zhao Haoxin, Zhang Huiyu, Li Yi, Dong Yuhao, Ju Huijin, Kong Feng, Zhao Shengtian

机构信息

Department of Central Laboratory, Shandong Provincial Hospital Affiliated to Shandong First Medical University, Jinan, China.

Engineering Laboratory of Urinary Organ and Functional Reconstruction of Shandong Province, Shandong Provincial Hospital affiliated to Shandong First Medical University, Jinan, China.

出版信息

Front Immunol. 2021 May 21;12:652446. doi: 10.3389/fimmu.2021.652446. eCollection 2021.

Abstract

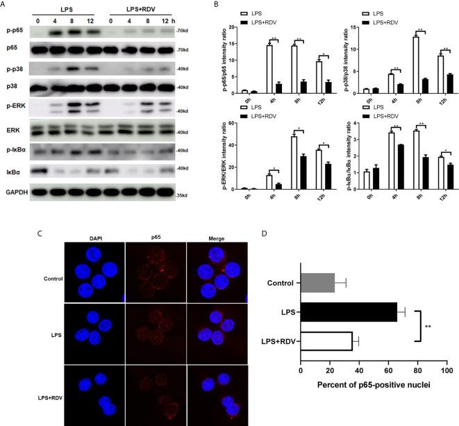
Acute kidney injury (AKI) is a frequent clinical complication in critically ill patients, and it rapidly develops into renal failure with high morbidity and mortality. However, other than dialysis, no effective therapeutic interventions can offer reliable treatment to limit renal injury and improve survival. Here, we firstly reported that remdesivir (RDV, GS-5734), a broad-spectrum antiviral nucleotide prodrug, alleviated AKI by specifically inhibiting NOD-, LRR-, and pyrin domain-containing protein 3 (NLRP3) inflammasome activation in macrophages. Mechanically, RDV effectively suppressed the activities of nuclear transcription factor (NF)-κB, mitogen-activated protein kinase (MAPK), which further led to the reduction of the inflammasome genes of NLRP3 transcription, limiting the activation of NLRP3 inflammasome and . RDV also inhibited other pro-inflammatory genes including tumor necrosis factor-α (TNF-α), interleukin-6 (IL-6), IL-12, IL-1β, and interferon-β (IFN-β), leading to the reduction of inflammatory factors release. Thus, RDV can ameliorate AKI modulating macrophage inflammasome activation and inflammatory immune responses and may have a therapeutic potential for patients with AKI in clinical application.

摘要

急性肾损伤(AKI)是危重症患者常见的临床并发症,且会迅速发展为肾衰竭,发病率和死亡率都很高。然而,除了透析之外,没有有效的治疗干预措施能够提供可靠的治疗以限制肾损伤并提高生存率。在此,我们首次报道了瑞德西韦(RDV,GS-5734),一种广谱抗病毒核苷酸前药,通过特异性抑制巨噬细胞中含核苷酸结合寡聚化结构域样受体蛋白3(NLRP3)炎性小体的激活来减轻急性肾损伤。从机制上讲,瑞德西韦有效抑制核转录因子(NF)-κB、丝裂原活化蛋白激酶(MAPK)的活性,这进一步导致NLRP3转录的炎性小体基因减少,限制了NLRP3炎性小体的激活。瑞德西韦还抑制其他促炎基因,包括肿瘤坏死因子-α(TNF-α)、白细胞介素-6(IL-6)、IL-12、IL-1β和干扰素-β(IFN-β),从而减少炎性因子的释放。因此,瑞德西韦可通过调节巨噬细胞炎性小体激活和炎性免疫反应来改善急性肾损伤,在临床应用中可能对急性肾损伤患者具有治疗潜力。

https://cdn.ncbi.nlm.nih.gov/pmc/blobs/d066/8176923/786af111eaae/fimmu-12-652446-g001.jpg

文献AI研究员

20分钟写一篇综述,助力文献阅读效率提升50倍。

立即体验

用中文搜PubMed

大模型驱动的PubMed中文搜索引擎

马上搜索

文档翻译

学术文献翻译模型,支持多种主流文档格式。

立即体验