Suppr超能文献

METTL14 通过调节长链非编码 RNA OIP5-AS1/miR-98/ADAMTS8 信号通路促进甲状腺乳头状癌的发生。

METTL14 promotes tumorigenesis by regulating lncRNA OIP5-AS1/miR-98/ADAMTS8 signaling in papillary thyroid cancer.

机构信息

Department of Nuclear Medicine, Shanghai Tenth People's Hospital, Tongji University, Shanghai, 200072, China.

Shanghai Center of Thyroid Diseases, Tongji University School of Medicine, Shanghai, 200072, China.

出版信息

Cell Death Dis. 2021 Jun 15;12(6):617. doi: 10.1038/s41419-021-03891-6.

Abstract

BACKGROUND

Papillary thyroid cancer (PTC) is the most common type of cancer of the endocrine system. Long noncoding RNAs (lncRNAs) are emerging as a novel class of gene expression regulators associated with tumorigenesis. Through preexisting databases available for differentially expressed lncRNAs in PTC, we uncovered that lncRNA OIP5-AS1 was significantly upregulated in PTC tissues. However, the function and the underlying mechanism of OIP5-AS1 in PTC are poorly understood.

METHODS

Expression of lncRNA OIP5-AS1 and miR-98 in PTC tissue and cells were measured by quantitative real-time PCR (qRT-PCR). And expression of METTL14 and ADAMTS8 in PTC tissue and cells were measured by qRT-PCR and western blot. The biological functions of METTL14, OIP5-AS1, and ADAMTS8 were examined using MTT, colony formation, transwell, and wound healing assays in PTC cells. The relationship between METTL14 and OIP5-AS1 were evaluated using RNA immunoprecipitation (RIP) and RNA pull down assay. And the relationship between miR-98 and ADAMTS8 were examined by luciferase reporter assay. For in vivo experiments, a xenograft model was used to investigate the effects of OIP5-AS1 and ADAMTS8 in PTC.

RESULTS

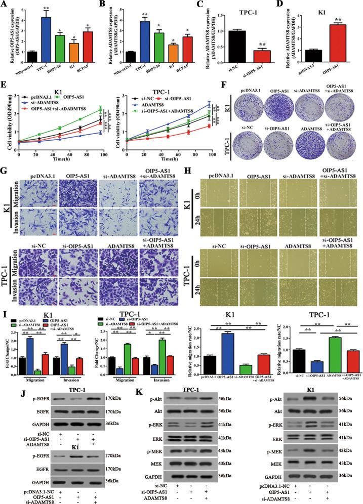
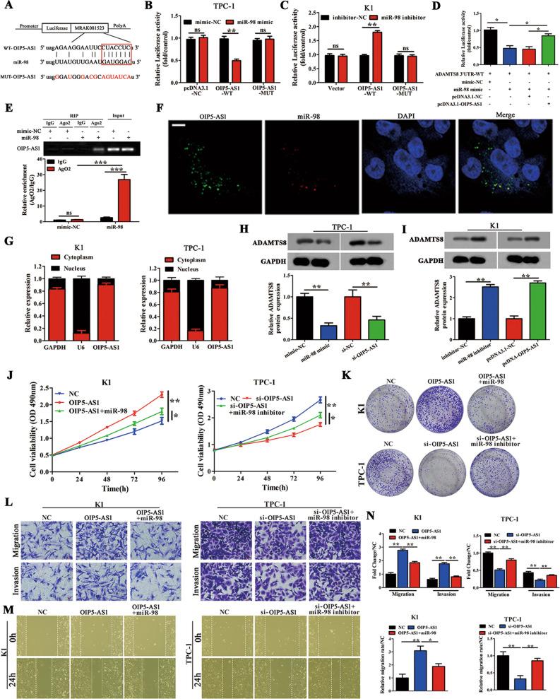
Functional validation revealed that OIP5-AS1 overexpression promotes PTC cell proliferation, migration/invasion in vitro and in vivo, while OIP5-AS1 knockdown shows an opposite effect. Mechanistically, OIP5-AS1 acts as a target of miR-98, which activates ADAMTS8. OIP5-AS1 promotes PTC cell progression through miR-98/ADAMTS8 and EGFR, MEK/ERK pathways. Furthermore, RIP and RNA pull down assays identified OIP5-AS1 as the downstream target of METTL14. Overexpression of METTL14 suppresses PTC cell proliferation and migration/invasion through inhibiting OIP5-AS1 expression and regulating EGFR, MEK/ERK pathways.

CONCLUSIONS

Collectively, our findings demonstrate that OIP5-AS1 is a METTL14-regulated lncRNA that plays an important role in PTC progression and offers new insights into the regulatory mechanisms underlying PTC development.

摘要

背景

甲状腺乳头状癌(PTC)是内分泌系统最常见的癌症类型。长链非编码 RNA(lncRNA)作为一种新的基因表达调控因子,与肿瘤发生有关。通过现有的数据库,我们发现 PTC 组织中 lncRNA OIP5-AS1 显著上调。然而,OIP5-AS1 在 PTC 中的功能和潜在机制尚不清楚。

方法

采用实时定量 PCR(qRT-PCR)检测 PTC 组织和细胞中 lncRNA OIP5-AS1 和 miR-98 的表达。采用 qRT-PCR 和 Western blot 检测 PTC 组织和细胞中 METTL14 和 ADAMTS8 的表达。采用 MTT、集落形成、Transwell 和划痕愈合实验检测 PTC 细胞中 METTL14、OIP5-AS1 和 ADAMTS8 的生物学功能。采用 RNA 免疫沉淀(RIP)和 RNA 下拉实验评估 METTL14 和 OIP5-AS1 的关系。采用荧光素酶报告基因实验检测 miR-98 和 ADAMTS8 的关系。进行体内实验,采用异种移植模型研究 OIP5-AS1 和 ADAMTS8 在 PTC 中的作用。

结果

功能验证显示,OIP5-AS1 过表达促进 PTC 细胞体外和体内的增殖、迁移/侵袭,而 OIP5-AS1 敲低则显示相反的效果。机制上,OIP5-AS1 作为 miR-98 的靶标,激活 ADAMTS8。OIP5-AS1 通过 miR-98/ADAMTS8 和 EGFR、MEK/ERK 通路促进 PTC 细胞进展。此外,RIP 和 RNA 下拉实验鉴定 OIP5-AS1 是 METTL14 的下游靶标。METTL14 过表达通过抑制 OIP5-AS1 表达和调节 EGFR、MEK/ERK 通路抑制 PTC 细胞增殖和迁移/侵袭。

结论

综上所述,我们的研究结果表明,OIP5-AS1 是一种受 METTL14 调控的 lncRNA,在 PTC 进展中发挥重要作用,为 PTC 发展的调控机制提供了新的见解。

https://cdn.ncbi.nlm.nih.gov/pmc/blobs/a7aa/8206147/946590a496fd/41419_2021_3891_Fig1_HTML.jpg

文献AI研究员

20分钟写一篇综述,助力文献阅读效率提升50倍。

立即体验

用中文搜PubMed

大模型驱动的PubMed中文搜索引擎

马上搜索

文档翻译

学术文献翻译模型,支持多种主流文档格式。

立即体验