Suppr超能文献

蛋白酶抑制剂可保护牛初乳或鸡卵生长因子免受胰腺酶在 AGS 细胞或结肠炎大鼠中的消化。

Protease Inhibitors Protect Bovine Colostrum or Chicken Egg Growth Factors from Pancreatic Enzyme Digestion in AGS Cells or Colitic Rats.

机构信息

Centre of Immunobiology, Blizard Institute, Barts and The London School of Medicine, Queen Mary, University of London, London, United Kingdom.

Research and Development, Pantheryx, Inc., Boulder, CO, USA.

出版信息

J Nutr. 2021 Oct 1;151(10):3036-3044. doi: 10.1093/jn/nxab197.

Abstract

BACKGROUND

Bovine colostrum (BC) and chicken egg contain proteins possessing growth factor activity. Epidermal growth factor (EGF) provides much of the pro-reparative activity within BC. Clinical use of orally administered peptide growth factors is hampered by digestion from pancreatic proteases.

OBJECTIVES

We examined whether adding a protease inhibitor [soybean trypsin inhibitor (SBTI) or ovomucoid] protected bioactivity of BC ± egg or EGF alone against pancreatic digestion using in vitro and in vivo models.

METHODS

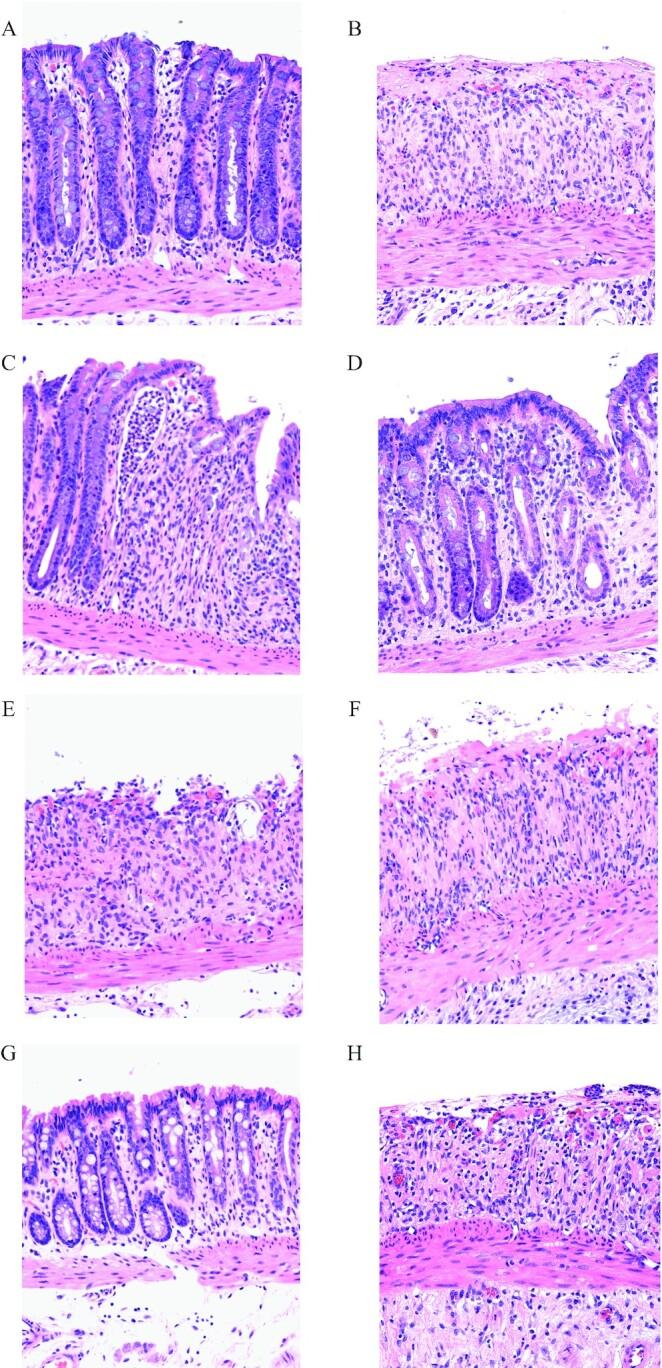
BC, egg, or EGF alone or in combination with trypsin inhibitors were tested for proliferative (Alamar blue) activity using human gastric adenocarcinoma (AGS) cells, prior to and after incubation with HCl/pepsin and trypsin/chymotrypsin. Data were analyzed using 2-factor ANOVA. Eight groups (n = 10) of adult female Sprague-Dawley rats (mean: 188.3 ± 0.8 g) received 20 mg/kg/d of BC + egg, 100 μg/d of EGF, 5 mg/d ovomucoid, or 10.8 mg/d SBTI, alone or in combination (in 1 mL 3% NaHCO3) by gavage for 9 d and dextran sodium sulfate (DSS; 5% in drinking water) for the final 7 d. Histology, microscopic damage score, and myeloperoxidase (MPO) were assessed and analyzed using 1-factor ANOVA.

RESULTS

Proliferative activities of BC, egg, or EGF were reduced 40-57% by HCl/pepsin exposure and further reduced 14-24% by chymotrypsin/trypsin. Co-addition of SBTI or ovomucoid truncated the decrease in proliferative bioactivity caused by chymotrypsin/trypsin by 54-100% (P < 0.01). In vivo study showed oral EGF alone or protease inhibitors given alone were ineffective in reducing DSS damage, whereas SBTI with EGF or ovomucoid with BC + egg improved protective effects on weight gain, disease activity score, colonic MPO, and histology damage by 3-4-fold (P < 0.01).

CONCLUSIONS

Studies using AGS, cells, and Sprague-Dawley rats showed the protease inhibitors ovomucoid and SBTI protected BC, egg, and EGF against loss of bioactivity due to pancreatic enzymes and, when given with NaHCO3, enhanced colonic protection against DSS damage.

摘要

背景

牛初乳(BC)和鸡蛋含有具有生长因子活性的蛋白质。表皮生长因子(EGF)提供了 BC 中大部分修复前活性。由于胰腺蛋白酶的消化作用,口服肽生长因子的临床应用受到阻碍。

目的

我们研究了添加蛋白酶抑制剂[大豆胰蛋白酶抑制剂(SBTI)或卵类黏蛋白]是否可以保护 BC±鸡蛋或 EGF 单独对抗胰腺消化的生物活性,使用体外和体内模型。

方法

使用盐酸/胃蛋白酶和胰蛋白酶/糜蛋白酶孵育前后,用人类胃腺癌(AGS)细胞检测单独或与蛋白酶抑制剂一起的 BC、鸡蛋或 EGF 的增殖(Alamar blue)活性。使用双因素方差分析分析数据。8 组(n=10)成年雌性 Sprague-Dawley 大鼠(平均:188.3±0.8 g)接受 20mg/kg/d 的 BC+鸡蛋、100μg/d 的 EGF、5mg/d 的卵类黏蛋白或 10.8mg/d 的 SBTI,单独或组合(在 1ml3%碳酸氢钠中)通过灌胃 9 天,并用葡聚糖硫酸钠(DSS;5%在饮用水中)处理最后 7 天。使用单因素方差分析评估组织学、显微镜损伤评分和髓过氧化物酶(MPO)。

结果

HCl/胃蛋白酶暴露使 BC、鸡蛋或 EGF 的增殖活性降低 40-57%,胰蛋白酶/糜蛋白酶进一步降低 14-24%。SBTI 或卵类黏蛋白的共同添加将胰蛋白酶/糜蛋白酶引起的增殖生物活性降低了 54-100%(P<0.01)。体内研究表明,单独口服 EGF 或蛋白酶抑制剂单独使用均不能减轻 DSS 损伤,而 SBTI 与 EGF 或卵类黏蛋白与 BC+鸡蛋联合使用可将体重增加、疾病活动评分、结肠 MPO 和组织学损伤的保护作用提高 3-4 倍(P<0.01)。

结论

使用 AGS 细胞和 Sprague-Dawley 大鼠进行的研究表明,蛋白酶抑制剂卵类黏蛋白和 SBTI 可保护 BC、鸡蛋和 EGF 免受胰腺酶引起的生物活性丧失,并与碳酸氢钠一起使用时可增强结肠对 DSS 损伤的保护作用。

https://cdn.ncbi.nlm.nih.gov/pmc/blobs/2559/8485905/b52b3cf2f7cd/nxab197fig1.jpg

文献AI研究员

20分钟写一篇综述,助力文献阅读效率提升50倍。

立即体验

用中文搜PubMed

大模型驱动的PubMed中文搜索引擎

马上搜索

文档翻译

学术文献翻译模型,支持多种主流文档格式。

立即体验