Suppr超能文献

Rrp1转位酶和泛素连接酶活性限制了裂殖酵母中Rad51对基因组的破坏作用。

Rrp1 translocase and ubiquitin ligase activities restrict the genome destabilising effects of Rad51 in fission yeast.

作者信息

Muraszko Jakub, Kramarz Karol, Argunhan Bilge, Ito Kentaro, Baranowska Gabriela, Kurokawa Yumiko, Murayama Yasuto, Tsubouchi Hideo, Lambert Sarah, Iwasaki Hiroshi, Dziadkowiec Dorota

机构信息

Faculty of Biotechnology, University of Wrocław, Poland.

Institut Curie, Université PSL, CNRS UMR3348, 91400 Orsay, France.

出版信息

Nucleic Acids Res. 2021 Jul 9;49(12):6832-6848. doi: 10.1093/nar/gkab511.

Abstract

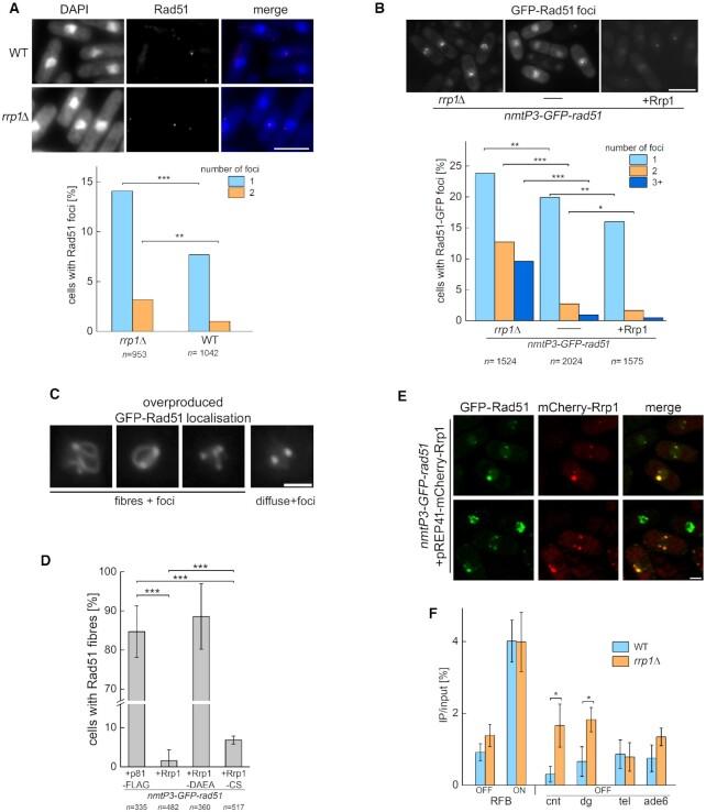
Rad51 is the key protein in homologous recombination that plays important roles during DNA replication and repair. Auxiliary factors regulate Rad51 activity to facilitate productive recombination, and prevent inappropriate, untimely or excessive events, which could lead to genome instability. Previous genetic analyses identified a function for Rrp1 (a member of the Rad5/16-like group of SWI2/SNF2 translocases) in modulating Rad51 function, shared with the Rad51 mediator Swi5-Sfr1 and the Srs2 anti-recombinase. Here, we show that Rrp1 overproduction alleviates the toxicity associated with excessive Rad51 levels in a manner dependent on Rrp1 ATPase domain. Purified Rrp1 binds to DNA and has a DNA-dependent ATPase activity. Importantly, Rrp1 directly interacts with Rad51 and removes it from double-stranded DNA, confirming that Rrp1 is a translocase capable of modulating Rad51 function. Rrp1 affects Rad51 binding at centromeres. Additionally, we demonstrate in vivo and in vitro that Rrp1 possesses E3 ubiquitin ligase activity with Rad51 as a substrate, suggesting that Rrp1 regulates Rad51 in a multi-tiered fashion.

摘要

Rad51是同源重组中的关键蛋白,在DNA复制和修复过程中发挥重要作用。辅助因子调节Rad51活性,以促进有效的重组,并防止可能导致基因组不稳定的不适当、不及时或过度的事件。先前的遗传学分析确定了Rrp1(SWI2/SNF2转位酶的Rad5/16样组的成员)在调节Rad51功能方面的作用,这与Rad51介质Swi5-Sfr1和Srs2抗重组酶相同。在这里,我们表明Rrp1的过量表达以依赖于Rrp1 ATP酶结构域的方式减轻了与过量Rad51水平相关的毒性。纯化的Rrp1与DNA结合并具有依赖于DNA的ATP酶活性。重要的是,Rrp1直接与Rad51相互作用并将其从双链DNA中去除,证实Rrp1是一种能够调节Rad51功能的转位酶。Rrp1影响着丝粒处的Rad51结合。此外,我们在体内和体外证明Rrp1以Rad51为底物具有E3泛素连接酶活性,这表明Rrp1以多层次方式调节Rad51。

https://cdn.ncbi.nlm.nih.gov/pmc/blobs/1b27/8266636/b2493d2dc8bd/gkab511gra1.jpg

文献AI研究员

20分钟写一篇综述,助力文献阅读效率提升50倍。

立即体验

用中文搜PubMed

大模型驱动的PubMed中文搜索引擎

马上搜索

文档翻译

学术文献翻译模型,支持多种主流文档格式。

立即体验