Suppr超能文献

阿联酋阿布扎比地区2019冠状病毒病的胸部CT表现及特征:单机构研究

Chest CT performance and features of COVID-19 in the region of Abu Dhabi, UAE: a single institute study.

作者信息

Saeed Ghufran Aref, Helali Abeer Ahmed Al, Shah Asad, Almazrouei Safaa, Ahmed Luai A

机构信息

General Radiology, Sheikh Khalifa Medical City, Abu Dhabi, UAE.

Institute of Public Health, College of Medicine & Health Sciences, UAE University, Al Ain, UAE.

出版信息

Chin J Acad Radiol. 2021;4(4):248-256. doi: 10.1007/s42058-021-00075-1. Epub 2021 Jun 17.

Abstract

OBJECTIVE

We aim to investigate high-resolution CT features of COVID-19 infection in Abu Dhabi, UAE, and to compare the diagnostic performance of CT scan with RT-PCR test.

METHODS

Data of consecutive patients who were suspected to have COVID-19 infection and presented to our hospital were collected from March 2, 2020, until April 12, 2020. All patients underwent RT-PCR test; out of which 53.8% had chest CT scan done. Using RT-PCR as a standard reference, the sensitivity and specificity of the CT scan were calculated. We also analyzed the most common imaging findings in patients with positive RT-PCR results.

RESULTS

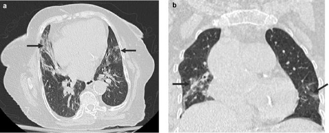
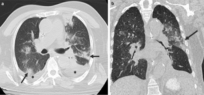
The typical HRCT findings were seen in 50 scans (65.8%) out of total positive ones; 44 (77.2%) with positive RT-PCR results and 6 (31.6%) with negative results. The peripheral disease distribution was seen in 86%, multilobe involvement in 70%, bilateral in 82%, and posterior in 82% of the 50 scans. The ground glass opacities were seen in 50/74 (89.3%) of the positive RT-PCR group. The recognized GGO patterns in these scans were: rounded 50%, linear 38%, and crazy-paving 24%. Using RT-PCR as a standard of reference, chest HRCT scan revealed a sensitivity of 68.8% and specificity of 70%.

CONCLUSION

The commonest HRCT findings in patients with COVID-19 pneumonia were peripheral, posterior, bilateral, multilobe rounded ground-glass opacities. The performance of HRCT scan can vary depending on multiple factors.

摘要

目的

我们旨在研究阿拉伯联合酋长国阿布扎比新冠肺炎感染的高分辨率CT特征,并比较CT扫描与RT-PCR检测的诊断性能。

方法

收集2020年3月2日至2020年4月12日期间我院疑似新冠肺炎感染的连续患者的数据。所有患者均接受了RT-PCR检测;其中53.8%的患者进行了胸部CT扫描。以RT-PCR作为标准参考,计算CT扫描的敏感性和特异性。我们还分析了RT-PCR结果呈阳性的患者中最常见的影像学表现。

结果

在所有阳性扫描中,50次扫描(65.8%)出现典型的HRCT表现;RT-PCR结果阳性的有44次(77.2%),阴性的有6次(31.6%)。在50次扫描中,86%的病例出现外周病变分布,70%出现多叶受累,82%为双侧受累,82%为后部受累。在RT-PCR阳性组的74例中,50例(89.3%)出现磨玻璃影。这些扫描中公认的磨玻璃影模式为:圆形占50%,线性占38%,铺路石样占24%。以RT-PCR作为参考标准,胸部HRCT扫描的敏感性为68.8%,特异性为70%。

结论

新冠肺炎肺炎患者最常见的HRCT表现为外周、后部、双侧、多叶圆形磨玻璃影。HRCT扫描的性能可能因多种因素而异。

https://cdn.ncbi.nlm.nih.gov/pmc/blobs/8c52/8211305/f507caae52eb/42058_2021_75_Fig1_HTML.jpg

文献AI研究员

20分钟写一篇综述,助力文献阅读效率提升50倍。

立即体验

用中文搜PubMed

大模型驱动的PubMed中文搜索引擎

马上搜索

文档翻译

学术文献翻译模型,支持多种主流文档格式。

立即体验