Suppr超能文献

CD8 肿瘤浸润淋巴细胞和 PD-L1 表达的免疫分类对鼻窦鳞状细胞癌的预后和治疗意义。

Prognostic and Therapeutic Implications of Immune Classification by CD8 Tumor-Infiltrating Lymphocytes and PD-L1 Expression in Sinonasal Squamous Cell Carcinoma.

机构信息

Department Head and Neck Oncology, Instituto de Investigación Sanitaria del Principado de Asturias, 33011 Oviedo, Spain.

Department Otolaryngology, Hospital Universitario Central de Asturias, 33011 Oviedo, Spain.

出版信息

Int J Mol Sci. 2021 Jun 28;22(13):6926. doi: 10.3390/ijms22136926.

Abstract

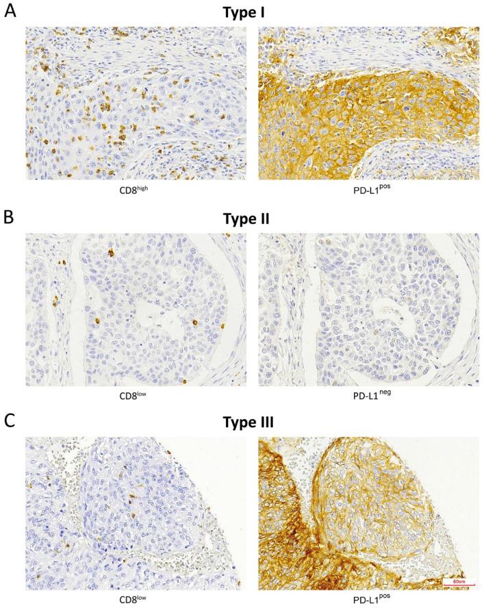
Sinonasal squamous cell carcinoma (SNSCC) is an aggressive tumor predominantly arising in the maxillary sinus and nasal cavities. Advances in imaging, surgical and radiotherapeutic techniques have reduced complications and morbidity; however, the prognosis generally remains poor, with an overall 5-year survival rate of 30-50%. As immunotherapy may be a new therapeutic option, we analyzed CD8 tumor-infiltrating lymphocytes (TILs) and the tumor microenvironment immune type (TMIT, combining CD8 TILs and PD-L1) in a series of 57 SNSCCs. Using immunohistochemistry, tissue samples of 57 SNSCCs were analyzed for expression of CD8 on TILs and of PD-L1 on tumor cells. The results were correlated to the clinical and survival data. In total, 88% (50/57) of the tumors had intratumoral CD8 TILs; 19% (11/57)-CD8 (>10%); and 39/57 (68%)-CD8 (1-10%). PD-L1 positivity (>5%) was observed in 46% (26/57) of the SNSCCs and significantly co-occurred with CD8 TILs ( = 0.000). Using univariate analysis, high intratumoral CD8 TILs and TMIT I (CD8/PD-L1) correlated with a worse survival rate. These results indicate that SNSCCs are immunogenic tumors, similar to head and neck squamous cell carcinomas. Nineteen percent of the cases were both CD8 and PD-L1 and this subgroup may benefit from therapy with immune checkpoint inhibitors.

摘要

鼻腔鼻窦鳞状细胞癌(SNSCC)是一种侵袭性肿瘤,主要发生在上颌窦和鼻腔。影像学、手术和放射治疗技术的进步降低了并发症和发病率;然而,总体预后仍然较差,5 年总生存率为 30-50%。由于免疫疗法可能是一种新的治疗选择,我们分析了一系列 57 例 SNSCC 中的 CD8 肿瘤浸润淋巴细胞(TIL)和肿瘤微环境免疫类型(TMIT,结合 CD8 TIL 和 PD-L1)。使用免疫组织化学方法,分析了 57 例 SNSCC 组织样本中 CD8 在 TIL 上和 PD-L1 在肿瘤细胞上的表达。结果与临床和生存数据相关。共有 88%(50/57)的肿瘤存在肿瘤内 CD8 TIL;19%(11/57)-CD8(>10%);39/57(68%)-CD8(1-10%)。在 46%(26/57)的 SNSCC 中观察到 PD-L1 阳性(>5%),与 CD8 TIL 显著相关(=0.000)。使用单因素分析,高肿瘤内 CD8 TIL 和 TMIT I(CD8/PD-L1)与生存率降低相关。这些结果表明 SNSCC 是免疫原性肿瘤,与头颈部鳞状细胞癌相似。19%的病例同时为 CD8 和 PD-L1,该亚组可能受益于免疫检查点抑制剂治疗。

https://cdn.ncbi.nlm.nih.gov/pmc/blobs/84c9/8268278/312a82c4fe42/ijms-22-06926-g001.jpg

文献AI研究员

20分钟写一篇综述,助力文献阅读效率提升50倍。

立即体验

用中文搜PubMed

大模型驱动的PubMed中文搜索引擎

马上搜索

文档翻译

学术文献翻译模型,支持多种主流文档格式。

立即体验