Suppr超能文献

巴西巴伊亚州一家参考中心的克罗恩病患者食管、胃和十二指肠的内镜及组织病理学检查结果

Endoscopic and Histopathological Findings of the Esophagus, Stomach, and Duodenum in Patients with Crohn's Disease from a Reference Center in Bahia, Brazil.

作者信息

Pimentel Andrea Maia, Freitas Luiz Antônio Rodrigues de, Cruz Rita de Cássia Reis, Silva Isaac Neri de Novais, Andrade Laíla Damasceno, Marques Paola Nascimento, Braga Júlia Cordeiro, Fortes Flora Maria Lorenzo, Brito Katia Rejane Marques, Fontes Jaciane Araújo Mota, Almeida Neogélia Pereira, Surlo Valdiana Cristina, Rocha Raquel, Lyra André Castro, Santana Genoile Oliveira

机构信息

Medicine and Health Science Postgraduate Program, Federal University of Bahia, Salvador 40026-010, Brazil.

Pathology Laboratory, Gonçalo Moniz Institute Fiocruz Bahia, Salvador 40296-710, Brazil.

出版信息

Clin Pract. 2021 Jun 15;11(2):374-385. doi: 10.3390/clinpract11020052.

Abstract

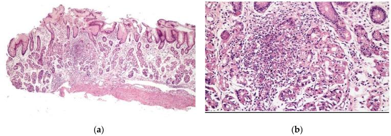
(1) The aim of the present study was to describe the endoscopic and histopathological findings in the esophagus, stomach, and duodenum in patients with Crohn's disease. (2) Methods: This was a cross-sectional study that included patients receiving treatment from the inflammatory bowel disease outpatient clinic. Esophagogastroduodenoscopies with biopsies of the stomach and proximal duodenum were performed. Presence of bacteria was assessed by Giemsa staining. (3) Results: We included 58 patients. Erosive esophagitis was identified in 25 patients (43.1%), gastritis was diagnosed in 32 patients (55.2%) and erosive duodenitis was found in eight (13.8%). The most frequent histopathological finding in the -positive group was increased inflammatory activity in the gastric body and antrum, with a predominance of mononuclear and polymorphonuclear cells. In turn, the most frequent finding in the -negative group was chronic inflammation with predominance of mononuclear cells. Focally enhanced gastritis was identified in four patients (6.9%), all of whom were negative for . Granulomas were not observed. infection was present in 19 patients (32.8%). (4) Conclusions: Nonspecific endoscopic and histological findings were frequent in patients with Crohn's disease. Focally enhanced gastritis was uncommon and observed only in negative patients. The time from the diagnosis, patient age, and therapy in use may have influenced the nondetection of epithelioid granuloma.

摘要

(1) 本研究的目的是描述克罗恩病患者食管、胃和十二指肠的内镜及组织病理学表现。(2) 方法:这是一项横断面研究,纳入了炎症性肠病门诊接受治疗的患者。进行了食管胃十二指肠镜检查,并对胃和十二指肠近端进行活检。通过吉姆萨染色评估细菌的存在情况。(3) 结果:我们纳入了58例患者。25例患者(43.1%)发现糜烂性食管炎,32例患者(55.2%)诊断为胃炎,8例患者(13.8%)发现糜烂性十二指肠炎。阳性组最常见的组织病理学表现是胃体和胃窦炎症活动增加,以单核细胞和多形核细胞为主。相反,阴性组最常见的表现是慢性炎症,以单核细胞为主。4例患者(6.9%)发现局灶性胃炎增强,所有这些患者均为阴性。未观察到肉芽肿。19例患者(32.8%)存在感染。(4) 结论:克罗恩病患者常见非特异性内镜和组织学表现。局灶性胃炎增强不常见,仅在阴性患者中观察到。诊断时间、患者年龄和所用治疗可能影响上皮样肉芽肿的未检出。

https://cdn.ncbi.nlm.nih.gov/pmc/blobs/1af6/8293082/c5d3a893bc63/clinpract-11-00052-g001.jpg

文献AI研究员

20分钟写一篇综述,助力文献阅读效率提升50倍。

立即体验

用中文搜PubMed

大模型驱动的PubMed中文搜索引擎

马上搜索

文档翻译

学术文献翻译模型,支持多种主流文档格式。

立即体验